相关产品推荐更多 >
万千商家帮你免费找货
0 人在求购买到急需产品
- 详细信息
- 技术资料
- 免疫原:
Recombinant human Galectin-3 protein
- 形态:
liquid
- 保存条件:
Store at -20˚C
- 克隆性:
Polyclonal
- 适应物种:
Human
- 保质期:
12 months
- 抗原来源:
Rabbit
- 供应商:
南京赛戈巍生物科技有限公司
- 宿主:
Rabbit
- 应用范围:
WB IHC
- 靶点:
Uniprot:P17931
- 抗体英文名:
Galectin-3 Polyclonal Antibody
- 规格:
50ul/100ul
别名:35 kDa lectin, Carbohydrate-binding protein 35, Galactose-specific lectin 3, Galactoside-binding protein, IgE-binding protein, L-31, Laminin-binding protein, Lectin L-29, Mac-2 antigen, LGALS3 , MAC2
计算分子量:26kd
配方:Preservative: 0.03% Proclin 300 Constituents: 50% Glycerol, 0.01M PBS, PH 7.4
应用详情:Western blotting: 1:500 - 1:1000
Immunohistochemistry: 1:20 - 1:200
图片:
计算分子量:26kd
配方:Preservative: 0.03% Proclin 300 Constituents: 50% Glycerol, 0.01M PBS, PH 7.4
应用详情:Western blotting: 1:500 - 1:1000
Immunohistochemistry: 1:20 - 1:200
图片:

All lanes:Galectin-3 antibody at 2ug/ml Lane 1:Hela whole cell lysate Lane 2:MCF-7 whole cell lysate secondary Goat polyclonal to rabbit at 1/10000 dilution predicted band size :26kDa observed band size :26kDa
,

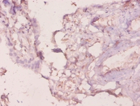
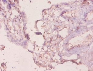
Immunohistochemical analysis of paraffin-embedded human kidneyusing #42237 at dilution of 1:20.
,

Immunohistochemical analysis of paraffin-embedded human placenta using #42237 at dilution of 1:20.
风险提示:丁香通仅作为第三方平台,为商家信息发布提供平台空间。用户咨询产品时请注意保护个人信息及财产安全,合理判断,谨慎选购商品,商家和用户对交易行为负责。对于医疗器械类产品,请先查证核实企业经营资质和医疗器械产品注册证情况。
技术资料暂无技术资料 索取技术资料
Galectin-3 Polyclonal Antibody[42237]
询价


![Galectin-3 Polyclonal Antibody[42237]](https://img1.dxycdn.com/p/s14/2025/0922/568/0046652811090600791.jpg)


![CEACAM8 Rabbit Polyclonal Antibody[55428]](https://img1.dxycdn.com/p/s14/2025/0922/498/0460884283108299691.jpg!wh200)
![SLC39A9 Antibody[37942]](https://img1.dxycdn.com/p/s14/2025/0922/359/6146153295428599691.jpg!wh200)
![GSK3β Mouse Monoclonal Antibody(4D2)[44162]](https://img1.dxycdn.com/p/s14/2025/0922/568/0046652811090600791.jpg!wh200)
![TNNI3 Conjugated Antibody[C35662]](https://img1.dxycdn.com/p/s14/2025/0923/278/4431488150116040791.jpg!wh200)
