相关产品推荐更多 >
万千商家帮你免费找货
0 人在求购买到急需产品
- 详细信息
- 文献和实验
- 技术资料
- 免疫原:
Recombinant human Gastric intrinsic factor protein£¨19-417aa£©
- 形态:
liquid
- 保存条件:
Store at -20˚C
- 克隆性:
Polyclonal
- 适应物种:
Human
- 保质期:
12 months
- 抗原来源:
Rabbit
- 供应商:
南京赛戈巍生物科技有限公司
- 宿主:
Rabbit
- 应用范围:
IHC
- 靶点:
Uniprot:P27352
- 抗体英文名:
Gastric intrinsic factor Polyclonal Antibody
- 规格:
50ul/100ul
配方:Preservative: 0.03% Proclin 300 Constituents: 50% Glycerol, 0.01M PBS, PH 7.4
应用详情:
Immunohistochemistry: 1:20 - 1:200
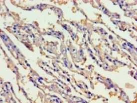
图片:

Immunohistochemical analysis of paraffin-embedded human lung tissue using #42180 at dilution of 1:100.
风险提示:丁香通仅作为第三方平台,为商家信息发布提供平台空间。用户咨询产品时请注意保护个人信息及财产安全,合理判断,谨慎选购商品,商家和用户对交易行为负责。对于医疗器械类产品,请先查证核实企业经营资质和医疗器械产品注册证情况。
文献和实验Evaluation of the Cardiac Isoform of 2-Macroglobulin as a Factor Inducing Cardiac Hypertrophy
of cardiac hypertrophy. It was accompanied by enlargement of cardiac myocytes and induction of -myosin heavy chain (MHC) and MLC-2 gene expression. Multiple injections of 182-kDa protein-specific polyclonal antibody into the circulation of aorta-constricted
Generation of Poly(ADP-ribosyl)ation Deficient Mutants of the Transcription Factor, CTCF
of the PARylation mark. The latter was achieved by ectopic expression of mutated proteins in cells, followed by immunoprecipitation with the polyclonal anti-PAR antibody and Western analysis with a protein-specific antibody. The PARylation-deficient CTCF mutant
祝贺〖雅裕睿安〗成为Signalway Antibody(SAB)独家
货号T501,产品描述:HA-Tag Rabbit Polyclonal Antibody;规格 50 ul / 100 ul; 货号T503,产品描述:Anti-DYKDDDDK Polyclonal Antibody;规格 50 ul / 100 ul; 货号T504,产品描述:Myc-Tag Mouse Monoclonal Antibody;规格 50 ul / 100 ul; 货号
技术资料暂无技术资料 索取技术资料





![DOXA1 rabbit pAb[49242]](https://img1.dxycdn.com/p/s14/2025/0922/632/2321321568067599691.jpg!wh200)
![Protein C Polyclonal Conjugated Antibody[C41629]](https://img1.dxycdn.com/p/s14/2025/0923/278/4431488150116040791.jpg!wh200)
![HOPX Polyclonal Antibody[29328]](https://img1.dxycdn.com/p/s14/2025/0923/305/2150219664296040791.jpg!wh200)

