相关产品推荐更多 >
万千商家帮你免费找货
0 人在求购买到急需产品
- 详细信息
- 技术资料
- 免疫原:
Recombinant Human ENO2
- 形态:
liquid
- 保存条件:
Store at -20˚C
- 克隆性:
Monoclonal
- 适应物种:
Human
- 保质期:
12 months
- 抗原来源:
Mouse
- 供应商:
南京赛戈巍生物科技有限公司
- 宿主:
Mouse
- 应用范围:
WB IHC
- 靶点:
Uniprot:P09104
- 抗体英文名:
ENO2/NSE Monoclonal Antibody
- 规格:
50ul/100ul
计算分子量:48kd
配方:Preservative: 0.03% Proclin 300 Constituents: 50% Glycerol, 0.01M PBS, PH 7.4
应用详情:Western blotting: 1:500 - 1:1000
Immunohistochemistry: 1:20 - 1:200
图片:

All Lanes Mouse anti-human ENO2 monoclonal antibody at 1ug/ml Lane 1 Hela cell lysate Lane 2 Recombinant Human Gamma-enolase(ENO2) at 10ug Lane 3 U251 cell lysate Secondary Goat polyclonal to Mouse IgG at 1/3000 dilution Predicted band size : 48 kDa Observed band size: 48kDa Additional bands at : 100kDa. We are unsure as to the identity of this extra band.
,

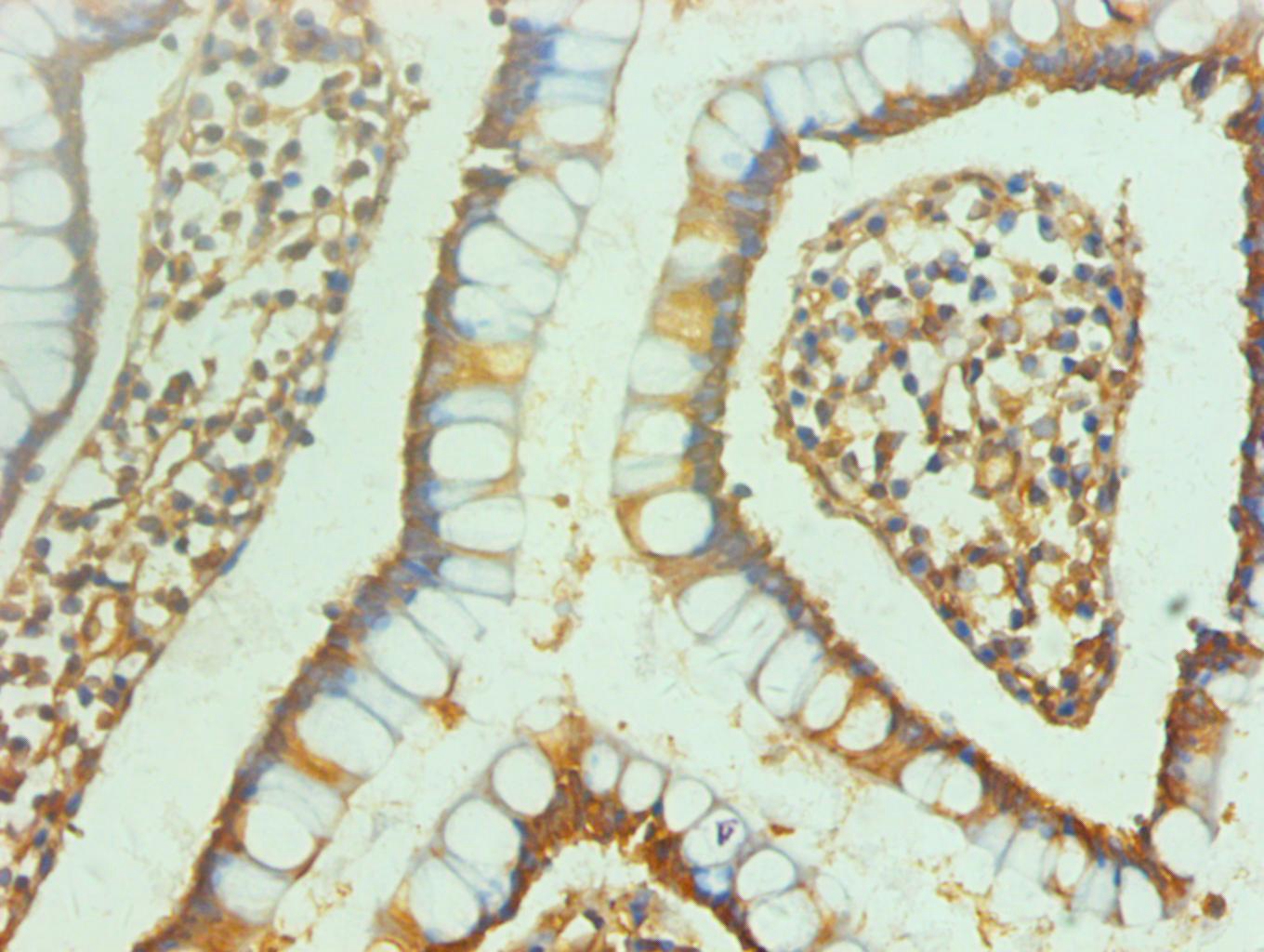
Immunohistochemical analysis of paraffin-embedded human small intestine using #42020 at dilution of 1:200.
,

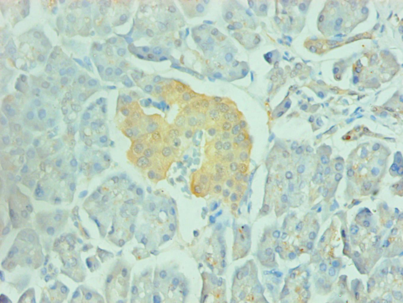
Immunohistochemical analysis of paraffin-embedded human pancreas using #42020 at dilution of 1:200.
风险提示:丁香通仅作为第三方平台,为商家信息发布提供平台空间。用户咨询产品时请注意保护个人信息及财产安全,合理判断,谨慎选购商品,商家和用户对交易行为负责。对于医疗器械类产品,请先查证核实企业经营资质和医疗器械产品注册证情况。
技术资料暂无技术资料 索取技术资料


![ENO2/NSE Monoclonal Antibody[42020]](https://img1.dxycdn.com/p/s14/2025/0922/568/0046652811090600791.jpg)


![APP Mouse mAb[63083]](https://img1.dxycdn.com/p/s14/2025/0922/632/2321321568067599691.jpg!wh200)
![NCAPD3 Conjugated Antibody[C36306]](https://img1.dxycdn.com/p/s14/2025/0923/278/4431488150116040791.jpg!wh200)
![HOXB7 Antibody[43688]](https://img1.dxycdn.com/p/s14/2025/0922/568/0046652811090600791.jpg!wh200)
![MRPS9 Antibody[34312]](https://img1.dxycdn.com/p/s14/2025/0922/359/6146153295428599691.jpg!wh200)
