相关产品推荐更多 >
万千商家帮你免费找货
0 人在求购买到急需产品
- 详细信息
- 技术资料
- 免疫原:
Synthesized peptide derived from the C-terminal region of human MMP-2.
- 形态:
liquid
- 保存条件:
Store at -20˚C
- 克隆性:
Polyclonal
- 适应物种:
Human;Mouse;Rat;Monkey
- 保质期:
12 months
- 抗原来源:
Rabbit
- 供应商:
南京赛戈巍生物科技有限公司
- 宿主:
Rabbit
- 应用范围:
WB IHC IF ELISA
- 靶点:
Uniprot:P08253
- 抗体英文名:
MMP-2 Polyclonal Antibody
- 规格:
50ul/100ul
别名:MMP2; CLG4A; 72 kDa type IV collagenase; 72 kDa gelatinase; Gelatinase A; Matrix metalloproteinase-2; MMP-2; TBE-1
配方:Liquid in PBS containing 50% glycerol, 0.5% BSA and 0.02% sodium azide.
应用详情:Western Blot: 1/500 - 1/2000.
Immunohistochemistry: 1/100 - 1/300.
Immunofluorescence: 1/200 - 1/1000.
ELISA: 1/20000.
Not yet tested in other applications.
图片:
配方:Liquid in PBS containing 50% glycerol, 0.5% BSA and 0.02% sodium azide.
应用详情:Western Blot: 1/500 - 1/2000.
Immunohistochemistry: 1/100 - 1/300.
Immunofluorescence: 1/200 - 1/1000.
ELISA: 1/20000.
Not yet tested in other applications.
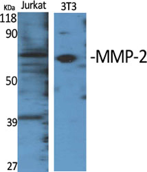
图片:

Western Blot analysis of HT29 cells using MMP-2 Polyclonal Antibody
,

Western Blot analysis of Jurkat NIH-3T3 cells using MMP-2 Polyclonal Antibody
风险提示:丁香通仅作为第三方平台,为商家信息发布提供平台空间。用户咨询产品时请注意保护个人信息及财产安全,合理判断,谨慎选购商品,商家和用户对交易行为负责。对于医疗器械类产品,请先查证核实企业经营资质和医疗器械产品注册证情况。
技术资料暂无技术资料 索取技术资料
MMP-2 Polyclonal Antibody[41156]
询价


![MMP-2 Polyclonal Antibody[41156]](https://img1.dxycdn.com/p/s14/2025/0922/568/0046652811090600791.jpg)


![CD335 Mouse mAb[63358]](https://img1.dxycdn.com/p/s14/2025/0922/632/2321321568067599691.jpg!wh200)
![ELAC2 Antibody[36441]](https://img1.dxycdn.com/p/s14/2025/0922/359/6146153295428599691.jpg!wh200)
![VASH2 Antibody[42828]](https://img1.dxycdn.com/p/s14/2025/0922/568/0046652811090600791.jpg!wh200)
![FPR1 Conjugated Antibody[C43271]](https://img1.dxycdn.com/p/s14/2025/0923/278/4431488150116040791.jpg!wh200)
