相关产品推荐更多 >
万千商家帮你免费找货
0 人在求购买到急需产品
- 详细信息
- 技术资料
- 免疫原:
Synthesized peptide derived from the C-terminal region of human Ki-67.
- 形态:
liquid
- 保存条件:
Store at -20˚C
- 克隆性:
Polyclonal
- 适应物种:
Human;Mouse;Rat
- 保质期:
12 months
- 抗原来源:
Rabbit
- 供应商:
南京赛戈巍生物科技有限公司
- 宿主:
Rabbit
- 应用范围:
WB IHC IF ELISA
- 靶点:
Uniprot:P46013
- 抗体英文名:
Ki-67 Polyclonal Antibody
- 规格:
50ul/100ul
别名:MKI67; Antigen KI-67
配方:Liquid in PBS containing 50% glycerol, 0.5% BSA and 0.02% sodium azide.
应用详情:
图片:
配方:Liquid in PBS containing 50% glycerol, 0.5% BSA and 0.02% sodium azide.
应用详情:
Western Blot: 1:500-2000
Immunohistochemistry: 1/100 - 1/300
Immunofluorescence: 1/200 - 1/1000
ELISA: 1/20000
图片:

Western Blot analysis of HELA 293T cells using Ki-67 Polyclonal Antibody
,

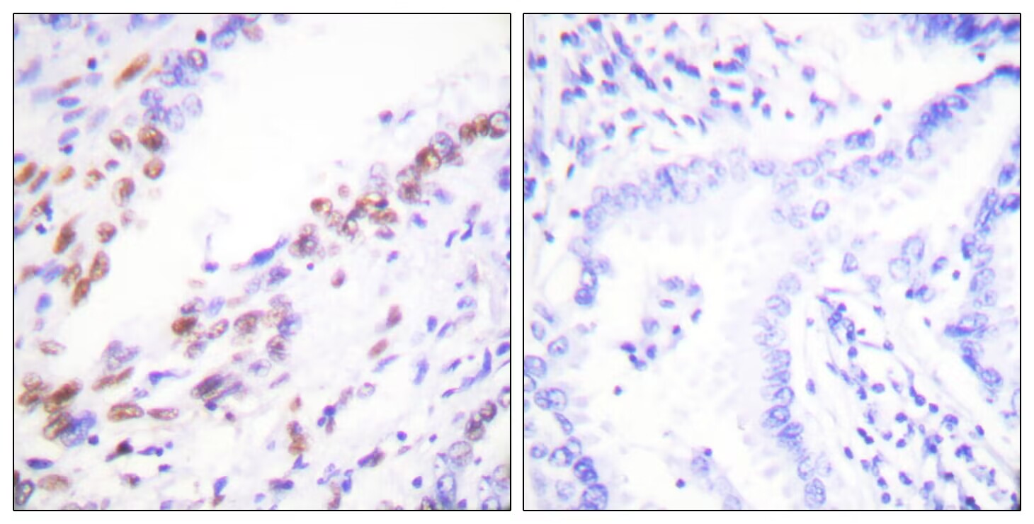
Immunohistochemistry analysis of paraffin-embedded human lung carcinoma tissue, using Ki67 Antibody. The picture on the right is blocked with the synthesized peptide.
风险提示:丁香通仅作为第三方平台,为商家信息发布提供平台空间。用户咨询产品时请注意保护个人信息及财产安全,合理判断,谨慎选购商品,商家和用户对交易行为负责。对于医疗器械类产品,请先查证核实企业经营资质和医疗器械产品注册证情况。
技术资料暂无技术资料 索取技术资料
Ki-67 Polyclonal Antibody[41092]
询价


![Ki-67 Polyclonal Antibody[41092]](https://img1.dxycdn.com/p/s14/2025/0922/568/0046652811090600791.jpg)


![Pseudomonas Conjugated Antibody[C92913B]](https://img1.dxycdn.com/p/s14/2025/0922/632/2321321568067599691.jpg!wh200)
![BCOR Conjugated Antibody[C34170]](https://img1.dxycdn.com/p/s14/2025/0923/278/4431488150116040791.jpg!wh200)
![HOXA3 Antibody[43684]](https://img1.dxycdn.com/p/s14/2025/0922/568/0046652811090600791.jpg!wh200)
![ADCY5 Antibody[34161]](https://img1.dxycdn.com/p/s14/2025/0922/359/6146153295428599691.jpg!wh200)
