相关产品推荐更多 >
万千商家帮你免费找货
0 人在求购买到急需产品
- 详细信息
- 技术资料
- 免疫原:
Synthesized peptide derived from human Claudin-4 around the non-phosphorylation site of Y208.
- 形态:
liquid
- 保存条件:
Store at -20˚C
- 克隆性:
Polyclonal
- 适应物种:
Human;Mouse;Rat
- 保质期:
12 months
- 抗原来源:
Rabbit
- 供应商:
南京赛戈巍生物科技有限公司
- 宿主:
Rabbit
- 应用范围:
WB IHC ELISA
- 靶点:
Uniprot:O14493
- 抗体英文名:
Claudin-4 Polyclonal Antibody
- 规格:
50ul/100ul
配方:Liquid in PBS containing 50% glycerol, 0.5% BSA and 0.02% sodium azide.
应用详情:
Western Blot: 1/500 - 1/2000.
Immunohistochemistry: 1/100 - 1/300.
ELISA: 1/5000.
Not yet tested in other applications.
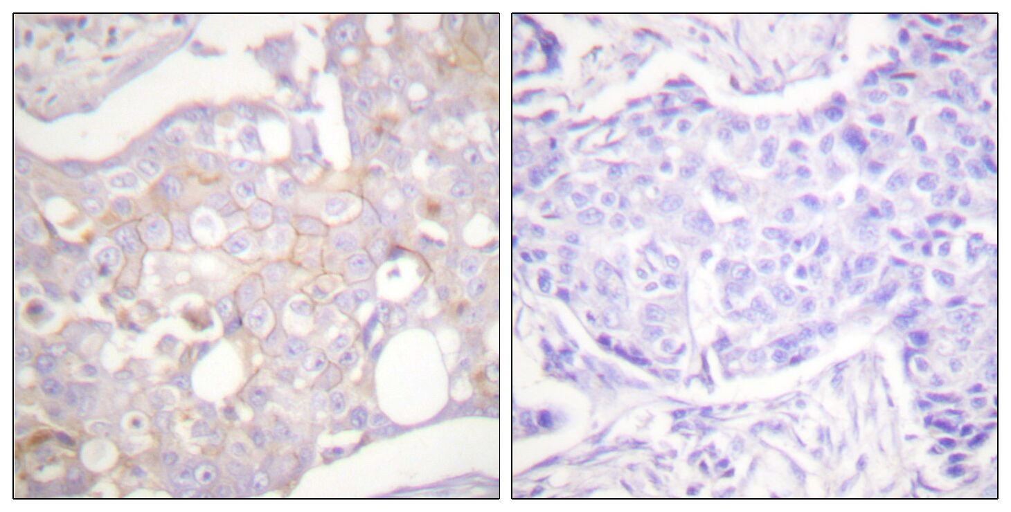
图片:

Western Blot analysis of mouse-BRAIN cells using Claudin-4 Polyclonal Antibody
,

Human,Mouse,Rat
,

Immunohistochemistry analysis of paraffin-embedded human breast carcinoma tissue, using Claudin 4 Antibody. The picture on the right is blocked with the synthesized peptide.
风险提示:丁香通仅作为第三方平台,为商家信息发布提供平台空间。用户咨询产品时请注意保护个人信息及财产安全,合理判断,谨慎选购商品,商家和用户对交易行为负责。对于医疗器械类产品,请先查证核实企业经营资质和医疗器械产品注册证情况。
技术资料暂无技术资料 索取技术资料


![Claudin-4 Polyclonal Antibody[40752]](https://img1.dxycdn.com/p/s14/2025/0922/568/0046652811090600791.jpg)


![CD59 glycoprotein Polyclonal Antibody[42110]](https://img1.dxycdn.com/p/s14/2025/0922/568/0046652811090600791.jpg!wh200)
![LRRC7 Conjugated Antibody[C27905]](https://img1.dxycdn.com/p/s14/2025/0923/305/2150219664296040791.jpg!wh200)
![P16 (Mouse and Human) Mouse mAb[64037]](https://img1.dxycdn.com/p/s14/2025/0922/632/2321321568067599691.jpg!wh200)
![MCT4/SLC16A3 Polyclonal Antibody Biotin Conjugated[C91810Bio]](https://img1.dxycdn.com/p/s14/2025/0922/498/0460884283108299691.jpg!wh200)
