相关产品推荐更多 >
万千商家帮你免费找货
0 人在求购买到急需产品
- 详细信息
- 技术资料
- 免疫原:
Fusion protein corresponding to residues near the C terminal of human ring finger protein 20, E3 ubiquitin protein ligase
- 形态:
liquid
- 保存条件:
Store at -20˚C
- 克隆性:
Polyclonal
- 适应物种:
Human
- 保质期:
12 months
- 抗原来源:
Rabbit
- 供应商:
南京赛戈巍生物科技有限公司
- 宿主:
Rabbit
- 应用范围:
WB IHC
- 靶点:
Uniprot:Q5VTR2
- 抗体英文名:
RNF20 Antibody
- 规格:
50ul/100ul
配方:Rabbit IgG in pH7.4 PBS, 0.05% NaN3, 40% Glycerol.
应用详情:Western blotting: 1:500-1:2000
Immunohistochemistry:1:10-1:50
图片:
![RNF20 Antibody[40080]](https://img1.dxycdn.com/p/s14/2025/0922/840/4870195201871600791.jpg)
Gel: 6%SDS-PAGE
Lysates (from left to right): Hela, Jurkat, 231, A375, A172 and Lovo cell
Amount of lysate: 40ug per lane
Primary antibody: 1/300 dilution
Secondary antibody dilution: 1/8000
Exposure time: 5 seconds
,
![RNF20 Antibody[40080]](https://img1.dxycdn.com/p/s14/2025/0922/504/4074208550871600791.jpg)
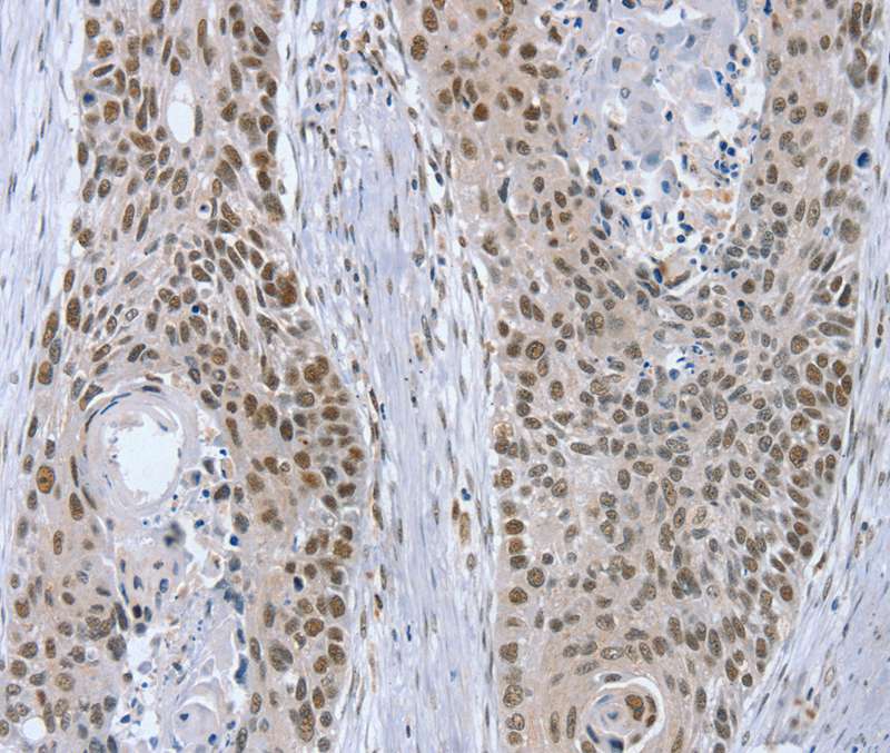
Immunohistochemical analysis of paraffin-embedded Human esophagus cancer tissue using #40080 at dilution 1/20.
,
![RNF20 Antibody[40080]](https://img1.dxycdn.com/p/s14/2025/0922/702/0276809470871600791.jpg)
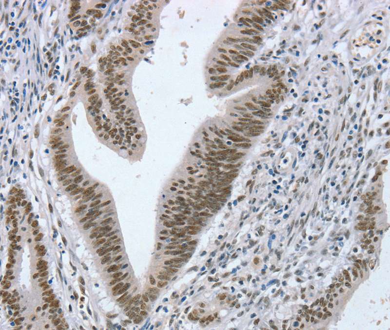
Immunohistochemical analysis of paraffin-embedded Human colon cancer tissue using #40080 at dilution 1/20.
风险提示:丁香通仅作为第三方平台,为商家信息发布提供平台空间。用户咨询产品时请注意保护个人信息及财产安全,合理判断,谨慎选购商品,商家和用户对交易行为负责。对于医疗器械类产品,请先查证核实企业经营资质和医疗器械产品注册证情况。
技术资料暂无技术资料 索取技术资料


![RNF20 Antibody[40080]](https://img1.dxycdn.com/p/s14/2025/0922/568/0046652811090600791.jpg)


![Doublecortin Polyclonal Antibody[40851]](https://img1.dxycdn.com/p/s14/2025/0922/568/0046652811090600791.jpg!wh200)

![S100A6 Antibody[37888]](https://img1.dxycdn.com/p/s14/2025/0922/359/6146153295428599691.jpg!wh200)
![CD98 Conjugated Antibody[C56431]](https://img1.dxycdn.com/p/s14/2025/0922/632/2321321568067599691.jpg!wh200)
![ADAR Conjugated Antibody[C49758]](https://img1.dxycdn.com/p/s14/2025/0923/305/2150219664296040791.jpg!wh200)
