相关产品推荐更多 >
万千商家帮你免费找货
0 人在求购买到急需产品
- 详细信息
- 文献和实验
- 技术资料
- 免疫原:
A synthetic acetylated peptide corresponding to residues surrounding K27 of human Histone H3.
- 形态:
liquid
- 保存条件:
Store at -20˚C
- 克隆性:
Polyclonal
- 适应物种:
Human;Mouse;Rat
- 保质期:
12 months
- 抗原来源:
Rabbit
- 供应商:
南京赛戈巍生物科技有限公司
- 宿主:
Rabbit
- 应用范围:
WB,IHC,IF
- 靶点:
Uniprot:Q16695
- 抗体英文名:
Histone H3K27AC antibody
- 规格:
50ul/100ul
配方:Supplied at 1.0mg/mL in phosphate buffered saline (without Mg2+ and Ca2+), pH 7.4, 150mM NaCl, 0.02% sodium azide and 50% glycerol.
应用详情:Western blotting: 1:500 - 1:2000
图片:

Immunofluorescence analysis of C6 cells treated by TSA (upper left) and untreated C6 cells (upper right) using Acetyl-Histone H3-K27 Rabbit pAb (red, A17559) at dilution of 1:100. Blue: DAPI for nuclear staining.
,

Immunofluorescence analysis of NIH-3T3 cells treated by TSA (upper left) and untreated NIH-3T3 cells(upper right) using Acetyl-Histone H3-K27 Rabbit pAb (red, A17559) at dilution of 1:100. Blue: DAPI for nuclear staining.
,

Immunofluorescence analysis of U-2 OS cells treated by TSA (upper left) and untreated U-2 OS cells (upper right) using Acetyl-Histone H3-K27 Rabbit pAb (red, A17559) at dilution of 1:100. Blue: DAPI for nuclear staining.
,

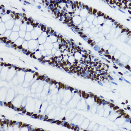
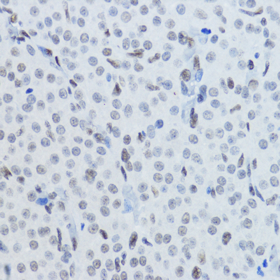
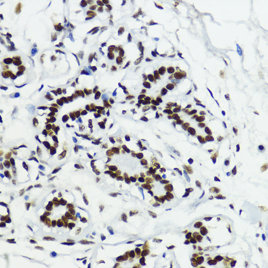
Immunohistochemistry of paraffin-embedded human mammary cancer using Acetyl-Histone H3-K27 antibody at dilution of 1:200 (40x lens).
,

Immunohistochemistry of paraffin-embedded human colon using Acetyl-Histone H3-K27 antibody at dilution of 1:200 (40x lens).
,

Immunohistochemistry of paraffin-embedded rat ovary using Acetyl-Histone H3-K27 antibody at dilution of 1:200 (40x lens).
,

Immunohistochemistry of paraffin-embedded mouse brain using Acetyl-Histone H3-K27 antibody at dilution of 1:200 (40x lens).
,

Immunohistochemistry of paraffin-embedded human breast using Acetyl-Histone H3-K27 antibody at dilution of 1:200 (40x lens).
,

Immunohistochemistry of paraffin-embedded human colon using Acetyl-Histone H3-K27 antibody at dilution of 1:200 (40x lens).
,

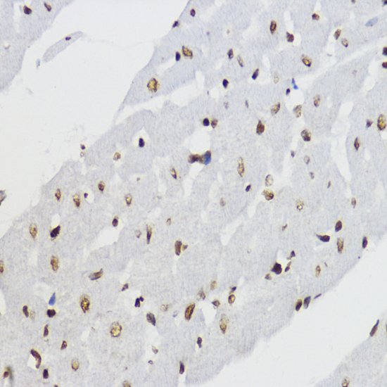
Immunohistochemistry of paraffin-embedded rat heart using Acetyl-Histone H3-K27 antibody at dilution of 1:200 (40x lens).
,

Immunohistochemistry of paraffin-embedded mouse heart using Acetyl-Histone H3-K27 antibody at dilution of 1:200 (40x lens).
,

Immunohistochemistry of paraffin-embedded mouse brain using Acetyl-Histone H3-K27 antibody at dilution of 1:200 (40x lens).
,

Immunofluorescence analysis of C6 cells using Acetyl-Histone H3-K27 antibody at dilution of 1:100.C6 cells were treated by TSA (1 uM) at 37?? for 18 hours. Blue: DAPI for nuclear staining.
,

Western blot analysis of extracts of various cell lines, using Acetyl-Histone H3-K27 antibody at 1:1000 dilution.
风险提示:丁香通仅作为第三方平台,为商家信息发布提供平台空间。用户咨询产品时请注意保护个人信息及财产安全,合理判断,谨慎选购商品,商家和用户对交易行为负责。对于医疗器械类产品,请先查证核实企业经营资质和医疗器械产品注册证情况。
文献和实验upon the dual pulldown to incorporate a third pulldown which is an iteration of the ChIP and is a pulldown for H3K27me3+ (Figure 1b). The third assay described here is the biotin-RNA pulldown of a low-copy RNA that spans the siRNA targeted promoter region
Identifying Differential Histone Modification Sites from ChIPseq Data
a hidden Markov model (HMM) to infer the states of histone modification changes at each genomic location. We evaluated the performance of ChIPDiff by comparing the H3K27me3 modification sites between mouse embryonic stem cell (ESC) and neural progenitor
ChIP数据分析:ChIP结果图来PK,谁才是发文的香饽饽?
不同温度条件对组蛋白H3K36me3修饰的整体丰度产生影响。 (Histone H3 lysine 36 methylation affects temperature-induced alternative splicing and flowering in plants) 不同类型(T、M、N、P)样本的H3K27ac修饰分布差异,M组在整体及多个基因的H3K27ac修饰均高于T组。(图片来源:Enhancer Reprogramming Promotes
技术资料暂无技术资料 索取技术资料





![OSBPL8 Conjugated Antibody[C30194]](https://img1.dxycdn.com/p/s14/2025/0923/305/2150219664296040791.jpg!wh200)
![KIFC1 Rabbit Polyclonal Antibody[54754]](https://img1.dxycdn.com/p/s14/2025/0922/498/0460884283108299691.jpg!wh200)
![HES5 Antibody[37617]](https://img1.dxycdn.com/p/s14/2025/0922/359/6146153295428599691.jpg!wh200)
![Connective tissue growth factor Polyclonal Antibody[42506]](https://img1.dxycdn.com/p/s14/2025/0922/568/0046652811090600791.jpg!wh200)

