相关产品推荐更多 >
万千商家帮你免费找货
0 人在求购买到急需产品
- 详细信息
- 文献和实验
- 技术资料
- 免疫原:
Recombinant fusion protein of human NPY (NP_000896.1).
- 形态:
liquid
- 保存条件:
Store at -20˚C
- 克隆性:
Polyclonal
- 适应物种:
Human;Mouse;Rat
- 保质期:
12 months
- 抗原来源:
Rabbit
- 供应商:
南京赛戈巍生物科技有限公司
- 宿主:
Rabbit
- 应用范围:
WB,IHC,IF
- 靶点:
Uniprot:P01303
- 抗体英文名:
NPY antibody
- 规格:
50ul/100ul
配方:PBS with 0.02% sodium azide,50% glycerol,pH7.3.
应用详情:WB 1:500 - 1:2000
IHC 1:50 - 1:200
IF 1:50 - 1:200
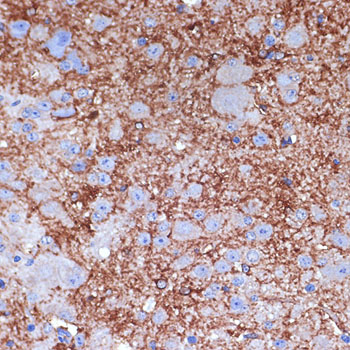
图片:

Western blot analysis of extracts of SH-SY5Y cells, using NPY antibody.
,

Immunohistochemistry of paraffin-embedded mouse spinal cord using NPY Rabbit pAb.
,

Immunofluorescence analysis of SH-SY5Y cells using NPY Rabbit pAb.
风险提示:丁香通仅作为第三方平台,为商家信息发布提供平台空间。用户咨询产品时请注意保护个人信息及财产安全,合理判断,谨慎选购商品,商家和用户对交易行为负责。对于医疗器械类产品,请先查证核实企业经营资质和医疗器械产品注册证情况。
文献和实验NPY Antisense Oligodeoxynucleotides to Study the Actions of NPY
Antisense oligodeoxynucleotides (ODN) that disrupt gene function, leading eventually to a reduction in levels of the encoded protein, are powerful molecular tools for studying the functions of neuropeptides and their receptors
Characterization of Neuropeptide Y (NPY) Receptors
Abstract Table of Contents Materials Figures Literature Cited Abstract Neuropeptide Y (NPY
Combining Non-Isotopic Localization of NPY mRNA with Immunocytochemistry
. This combination of techniques is particularly powerful for a system like neuropeptide Y (NPY). NPY has a broad distribution in the mammalian central nervous system (CNS) and probably has multiple functions. One way to understand
技术资料暂无技术资料 索取技术资料





![NUDT22 Antibody[42945]](https://img1.dxycdn.com/p/s14/2025/0922/568/0046652811090600791.jpg!wh200)
![Nectin 2 Rabbit mAb[52817]](https://img1.dxycdn.com/p/s14/2025/0922/498/0460884283108299691.jpg!wh200)
![ATMIN Conjugated Antibody[C47728]](https://img1.dxycdn.com/p/s14/2025/0923/305/2150219664296040791.jpg!wh200)

