相关产品推荐更多 >

RPS6KA1 Antibody (Cy5.5) 抗体,orb1576629,Biorbyt
¥4796
UQCRQ Antibody - middle region : FITC 抗体,orb2089410,Biorbyt
¥8216
MHC class I Antibody (Cy7) 抗体,orb1598049,Biorbyt
¥4796
Functional Neutrophils (mouse) Antibody, mAb (blocking) (preservative free) 抗体,orb1788502,Biorbyt
¥7202
HTRA2 Antibody (BF555) 抗体,orb1577866,Biorbyt
¥4796
万千商家帮你免费找货
0 人在求购买到急需产品
- 详细信息
- 技术资料
- 抗体名:
Phospho-P53 (Ser37) Rabbit Polyclonal Antibody抗体
- 抗体英文名:
Phospho-P53 (Ser37) Rabbit Polyclonal Antibody
- 靶点:
TP53
- 浓度:
1mg/ml
- 应用范围:
FC, IF, IHC-Fr, IHC-P, WB
- 宿主:
Rabbit
- 适应物种:
Human
- 保质期:
6-12个月
- 抗原来源:
详询
- 目录编号:
orb6597
- 级别:
科研级
- 库存:
88
- 供应商:
biorbyt
- 标记物:
Unconjugated
- 克隆性:
Polyclonal
- 形态:
Liquid
- 亚型:
IgG
- 免疫原:
KLH conjugated Synthesised phosphopeptide derived from human P53 around the phosphorylation site of Ser37 LP(p-S)QA
- 规格:
50 ul
产品描述:Phospho-P53 (Ser37) Rabbit Polyclonal Antibody
别名:p53(phospho-Ser37); P53(phospho S37); P53(phospho Ser37); p-P53(Ser37); p-P53(S37); P53_HUMAN; Cellular tumor antigen p53; TP53; Antigen NY-CO-13;Phosphoprotein p53; Tumor suppressor p53; tumor protein p53; BCC7; LFS1; BMFS5; TRP53; P 53; P-53; wt-p53; Widespread p53; Wtp53; Wt p53;
免疫原:KLH conjugated Synthesised phosphopeptide derived from human P53 around the phosphorylation site of Ser37 LP(p-S)QA
分子量:43 kDa
应用稀释比例:WB=1:500-2000, IHC-P=1:100-500, IHC-F=1:100-500, IF=1:100-500, Flow-Cyt=1μg /test
防腐剂:0.01M TBS (pH7.4) with 1% rAlbumin, 0.02% Proclin300 and 50% Glycerol.
纯化:Affinity purified by Protein A
保存说明:Maintain refrigerated at 2-8°C for up to 2 weeks. For long term storage store at -20°C in small aliquots to prevent freeze-thaw cycles.
UniProt ID:P04637
Note:For research use only.



别名:p53(phospho-Ser37); P53(phospho S37); P53(phospho Ser37); p-P53(Ser37); p-P53(S37); P53_HUMAN; Cellular tumor antigen p53; TP53; Antigen NY-CO-13;Phosphoprotein p53; Tumor suppressor p53; tumor protein p53; BCC7; LFS1; BMFS5; TRP53; P 53; P-53; wt-p53; Widespread p53; Wtp53; Wt p53;
免疫原:KLH conjugated Synthesised phosphopeptide derived from human P53 around the phosphorylation site of Ser37 LP(p-S)QA
分子量:43 kDa
应用稀释比例:WB=1:500-2000, IHC-P=1:100-500, IHC-F=1:100-500, IF=1:100-500, Flow-Cyt=1μg /test
防腐剂:0.01M TBS (pH7.4) with 1% rAlbumin, 0.02% Proclin300 and 50% Glycerol.
纯化:Affinity purified by Protein A
保存说明:Maintain refrigerated at 2-8°C for up to 2 weeks. For long term storage store at -20°C in small aliquots to prevent freeze-thaw cycles.
UniProt ID:P04637
Note:For research use only.

Blank control (blue line): Hela (fixed with 70% ethanol (Overnight at 4°C) and then permeabilized with 90% ice-cold methanol for 30 min on ice). Primary Antibody (green line): Rabbit Anti-phospho-P53 (Ser37) antibody (orb6597), dilution: 1 µg/10^6 cells, Isotype Control Antibody (orange line): Rabbit IgG. Secondary Antibody (white blue line): Goat anti-rabbit IgG-FITC, dilution: 1 µg/Test.

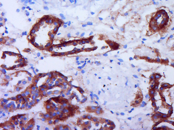
Fixative-fixed, paraffin embedded (Human kidney), Antigen retrieval by boiling in sodium citrate buffer (pH6.0) for 15 min, Block endogenous peroxidase by 3% hydrogen peroxide for 20 minutes, Blocking buffer (normal goat serum) at 37°C for 30 min, Antibody incubation with (p-P53 (Ser37)) Polyclonal Antibody, Unconjugated (orb6597) at 1:400 overnight at 4°C, followed by operating according to SP Kit (Rabbit) instructions and DAB staining.

Sample: Lane 1: A431 (Human) Cell Lysate at 30 ug, Lane 2: A549 (Human) Cell Lysate at 30 ug, Lane 3: MCF-7 (Human) Cell Lysate at 30 ug, Lane 4: MOLT-4 (Human) Cell Lysate at 30 ug, Primary: Anti-phospho-P53 (Ser37) (orb6597) at 1/1000 dilution, Secondary: IRDye800CW Goat Anti-Rabbit IgG at 1/20000 dilution, Predicted band size: 53 kD, Observed band size: 58 kD.
风险提示:丁香通仅作为第三方平台,为商家信息发布提供平台空间。用户咨询产品时请注意保护个人信息及财产安全,合理判断,谨慎选购商品,商家和用户对交易行为负责。对于医疗器械类产品,请先查证核实企业经营资质和医疗器械产品注册证情况。
技术资料暂无技术资料 索取技术资料
Phospho-P53 (Ser37) Rabbit Polyclonal Antibody抗体,orb6597,biorbyt
¥3120





