相关产品推荐更多 >
万千商家帮你免费找货
0 人在求购买到急需产品
- 详细信息
- 技术资料
- 抗体名:
Phospho-NFKB1 (Ser373) Rabbit Polyclonal Antibody抗体
- 抗体英文名:
Phospho-NFKB1 (Ser373) Rabbit Polyclonal Antibody
- 靶点:
NFKB1
- 浓度:
1mg/ml
- 应用范围:
FC, IF, IHC-Fr, IHC-P
- 宿主:
Rabbit
- 适应物种:
Human, Mouse, Rat
- 保质期:
6-12个月
- 抗原来源:
详询
- 目录编号:
orb312392
- 级别:
科研级
- 库存:
88
- 供应商:
biorbyt
- 标记物:
Unconjugated
- 克隆性:
Polyclonal
- 形态:
Liquid
- 亚型:
IgG
- 免疫原:
KLH conjugated Synthesised phosphopeptide derived from human NF KappaB p105 around the phosphorylation site of Ser373 SD(p-S)FG
- 规格:
50 ul
产品描述:Phospho-NFKB1 (Ser373) Rabbit Polyclonal Antibody
别名:NFKB1_HUMAN; Nuclear factor NF-kappa-B p105 subunit; DNA-binding factor KBF1; EBP-1; Nuclear factor of kappa light polypeptide gene enhancer in B-cells 1; Nuclear factor NF-kappa-B p50 subunit; NFkB p105/p50; NFkB p105/p50; nuclear factor kappa B subunit 1; NF-kB; CVID12; NF-kB1; NFKB-p50; NFkappaB; NF-kappaB; NFKB-p105; NF-kappa-B1; NF-kappabeta;
免疫原:KLH conjugated Synthesised phosphopeptide derived from human NF KappaB p105 around the phosphorylation site of Ser373 SD(p-S)FG
预测反应性:Bovine, Equine, Porcine, Sheep
分子量:48/105 kDa
应用稀释比例:IHC-P=1:100-500, IHC-F=1:100-500, IF=1:100-500, Flow-Cyt=1μg/Test
防腐剂:0.01M TBS (pH7.4) with 1% rAlbumin, 0.02% Proclin300 and 50% Glycerol.
纯化:Affinity purified by Protein A
保存说明:Maintain refrigerated at 2-8°C for up to 2 weeks. For long term storage store at -20°C in small aliquots to prevent freeze-thaw cycles.
UniProt ID:P19838
Note:For research use only.





别名:NFKB1_HUMAN; Nuclear factor NF-kappa-B p105 subunit; DNA-binding factor KBF1; EBP-1; Nuclear factor of kappa light polypeptide gene enhancer in B-cells 1; Nuclear factor NF-kappa-B p50 subunit; NFkB p105/p50; NFkB p105/p50; nuclear factor kappa B subunit 1; NF-kB; CVID12; NF-kB1; NFKB-p50; NFkappaB; NF-kappaB; NFKB-p105; NF-kappa-B1; NF-kappabeta;
免疫原:KLH conjugated Synthesised phosphopeptide derived from human NF KappaB p105 around the phosphorylation site of Ser373 SD(p-S)FG
预测反应性:Bovine, Equine, Porcine, Sheep
分子量:48/105 kDa
应用稀释比例:IHC-P=1:100-500, IHC-F=1:100-500, IF=1:100-500, Flow-Cyt=1μg/Test
防腐剂:0.01M TBS (pH7.4) with 1% rAlbumin, 0.02% Proclin300 and 50% Glycerol.
纯化:Affinity purified by Protein A
保存说明:Maintain refrigerated at 2-8°C for up to 2 weeks. For long term storage store at -20°C in small aliquots to prevent freeze-thaw cycles.
UniProt ID:P19838
Note:For research use only.

Blank control (blue line): A549 (fixed with 70% ethanol (Overnight at 4°C) and then permeabilized with 90% ice-cold methanol for 30 min on ice). Primary Antibody (green line): Rabbit Anti-Phospho-NFKB1 (Ser373) antibody (orb312392), dilution: 1 µg/10^6 cells, Isotype Control Antibody (orange line): Rabbit IgG. Secondary Antibody (white blue line): Goat anti-rabbit IgG-FITC, dilution: 1 µg/Test.

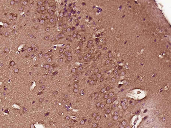
Fixative-fixed, paraffin embedded (Mouse brain), Antigen retrieval by boiling in sodium citrate buffer (pH6.0) for 15 min, Block endogenous peroxidase by 3% hydrogen peroxide for 20 minutes, Blocking buffer (normal goat serum) at 37°C for 30 min, Antibody incubation with (Phospho-NFKB1 (Ser373)) Polyclonal Antibody, Unconjugated (orb312392) at 1:500 overnight at 4°C, followed by a conjugated secondary for 20 minutes and DAB staining.

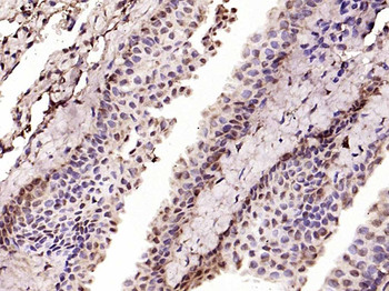
Fixative-fixed, paraffin embedded (Rat bladder), Antigen retrieval by boiling in sodium citrate buffer (pH6.0) for 15 min, Block endogenous peroxidase by 3% hydrogen peroxide for 20 minutes, Blocking buffer (normal goat serum) at 37°C for 30 min, Antibody incubation with (Phospho-NFKB1 (Ser373)) Polyclonal Antibody, Unconjugated (orb312392) at 1:200 overnight at 4°C, followed by operating according to SP Kit (Rabbit) instructionsand DAB staining.

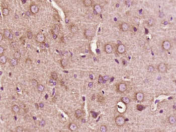
Fixative-fixed, paraffin embedded (Rat brain), Antigen retrieval by boiling in sodium citrate buffer (pH6.0) for 15 min, Block endogenous peroxidase by 3% hydrogen peroxide for 20 minutes, Blocking buffer (normal goat serum) at 37°C for 30 min, Antibody incubation with (Phospho-NFKB1 (Ser373)) Polyclonal Antibody, Unconjugated (orb312392) at 1:500 overnight at 4°C, followed by a conjugated secondary for 20 minutes and DAB staining.

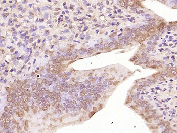
Fixative-fixed, paraffin embedded (rat uterus), Antigen retrieval by boiling in sodium citrate buffer (pH6.0) for 15 min, Block endogenous peroxidase by 3% hydrogen peroxide for 20 minutes, Blocking buffer (normal goat serum) at 37°C for 30 min, Antibody incubation with (Phospho-NFKB1 (Ser373)) Polyclonal Antibody, Unconjugated (orb312392) at 1:200 overnight at 4°C, followed by operating according to SP Kit (Rabbit) instructionsand DAB staining.
风险提示:丁香通仅作为第三方平台,为商家信息发布提供平台空间。用户咨询产品时请注意保护个人信息及财产安全,合理判断,谨慎选购商品,商家和用户对交易行为负责。对于医疗器械类产品,请先查证核实企业经营资质和医疗器械产品注册证情况。
技术资料暂无技术资料 索取技术资料
Phospho-NFKB1 (Ser373) Rabbit Polyclonal Antibody抗体,orb312392,biorbyt
¥3120










