相关产品推荐更多 >
万千商家帮你免费找货
0 人在求购买到急需产品
- 详细信息
- 文献和实验
- 技术资料
- 抗体名:
IL4 antibody抗体
- 抗体英文名:
IL4 antibody
- 靶点:
IL4
- 浓度:
- 100 μg (in 200 μl): 0.5 mg/ml- 200 μg (in 400 μl): 0.5 mg/ml
- 应用范围:
ELISA, IHC-P
- 宿主:
Rabbit
- 适应物种:
Human, Mouse, Rat
- 保质期:
6-12个月
- 抗原来源:
详询
- 目录编号:
orb318727
- 级别:
科研级
- 库存:
88
- 供应商:
biorbyt
- 标记物:
Unconjugated
- 克隆性:
Polyclonal
- 形态:
10 mM PBS, 0.02% sodium azide
- 亚型:
IgG
- 免疫原:
KLH conjugated synthetic peptide derived from human IL4. Please contact us for the exact immunogen sequence. The peptide is available as orb374924.
- 规格:
100 ug
产品描述:IL4 antibody
别名:anti B cell growth factor 1 antibody, anti B cell IgG differentiation factor antibody, anti B Cell Stimulatory Factor 1 antibody, anti B-cell stimulatory factor 1 antibody, anti BCGF 1 antibody, anti BCGF1 antibody, anti Binetrakin antibody, anti BSF 1 antibody, anti BSF-1 antibody, anti BSF1 antibody, anti IGG1 induction factor antibody, anti IL 4 antibody, anti IL-4 antibody, anti IL4 antibody, anti Interleukin 4 antibody, anti Interleukin 4 variant 2 antibody, anti Interleukin 4, isoform 1 antibody, anti Interleukin-4 antibody, anti Interleukin4 antibody, anti Lymphocyte stimulatory factor 1 antibody, anti Macrophage fusion factor antibody, anti Mast cell growth factor 2 antibody, anti Pitrakinra antibody
免疫原:KLH conjugated synthetic peptide derived from human IL4. Please contact us for the exact 免疫原 sequence. The peptide is available as orb374924.
分子量:17 kDa
应用稀释比例:IHC-P: 1:100-800
纯度:Polyclonal antibodies are purified by peptide affinity chromatography
保存说明:Maintain refrigerated at 2-8°C for up to 2 weeks. For long term storage store at -20°C in small aliquots to prevent freeze-thaw cycles.
Pubmed:39481380
NCBI:11, 172374, 758962, 21
Entrez:3565
UniProt ID:P20096, P05112, P07750
Note:For research use only.



别名:anti B cell growth factor 1 antibody, anti B cell IgG differentiation factor antibody, anti B Cell Stimulatory Factor 1 antibody, anti B-cell stimulatory factor 1 antibody, anti BCGF 1 antibody, anti BCGF1 antibody, anti Binetrakin antibody, anti BSF 1 antibody, anti BSF-1 antibody, anti BSF1 antibody, anti IGG1 induction factor antibody, anti IL 4 antibody, anti IL-4 antibody, anti IL4 antibody, anti Interleukin 4 antibody, anti Interleukin 4 variant 2 antibody, anti Interleukin 4, isoform 1 antibody, anti Interleukin-4 antibody, anti Interleukin4 antibody, anti Lymphocyte stimulatory factor 1 antibody, anti Macrophage fusion factor antibody, anti Mast cell growth factor 2 antibody, anti Pitrakinra antibody
免疫原:KLH conjugated synthetic peptide derived from human IL4. Please contact us for the exact 免疫原 sequence. The peptide is available as orb374924.
分子量:17 kDa
应用稀释比例:IHC-P: 1:100-800
纯度:Polyclonal antibodies are purified by peptide affinity chromatography
保存说明:Maintain refrigerated at 2-8°C for up to 2 weeks. For long term storage store at -20°C in small aliquots to prevent freeze-thaw cycles.
Pubmed:39481380
NCBI:11, 172374, 758962, 21
Entrez:3565
UniProt ID:P20096, P05112, P07750
Note:For research use only.

IHC-P image of rat thymus tissue using anti-IL4 (2.5 ug/ml)

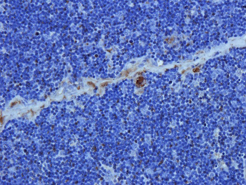
Immunohistochemical staining of mouse lymph node tissue using anti-IL4 (2.5 ug/ml)

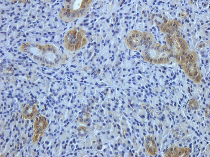
Immunohistochemical staining of paraffin embedded human endometrial cancer tissue using IL4 antibody (2.5 ug/ml)
风险提示:丁香通仅作为第三方平台,为商家信息发布提供平台空间。用户咨询产品时请注意保护个人信息及财产安全,合理判断,谨慎选购商品,商家和用户对交易行为负责。对于医疗器械类产品,请先查证核实企业经营资质和医疗器械产品注册证情况。
文献和实验该产品被引用文献
Gurkan Mollaoglu 1, Alexander Tepper 2, Chiara Falcomatà 2, Hunter T Potak 2, Luisanna Pia 2, Angelo Amabile 2, Jaime Mateus-Tique 2, Noam Rabinovich 3, Matthew D Park 4, Nelson M LaMarche 4, Rachel Brody 5, Lindsay Browning 6, Jia-Ren Lin 7, Dmitriy Zamarin 8, Peter K Sorger 7, Sandro Santagata 9, Miriam Merad 4, Alessia Baccarini 10, Brian D Brown Ovarian cancer-derived IL-4 promotes immunotherapy resistance Cell, (2024)
技术资料暂无技术资料 索取技术资料
文献支持
IL4 antibody抗体,orb318727,biorbyt
¥3640










