相关产品推荐更多 >
万千商家帮你免费找货
0 人在求购买到急需产品
- 详细信息
- 文献和实验
- 技术资料
- 保存条件:
Aliquot and store at -20 °C, avoid repeated freeze/thaw cycles.
- 保质期:
6个月
- 英文名:
Streptavidin protein (HRP)
- 库存:
100
- 供应商:
Biorbyt
- 规格:
100ug
Streptavidin protein conjugated to HRP.
产品名:Streptavidin protein (HRP)
货号:orb86224
Description
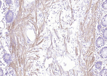
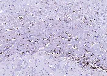
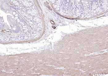
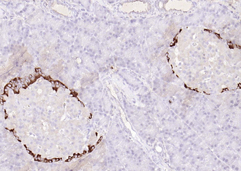
Images & Validation
| Application Notes |
|
|---|
| Tag | Tag free |
|---|---|
| Protein Sequence | 1-183/183 |
| Purification | AC |
| Purity | >90% as determined by SDS-PAGE |
| Endotoxins | Not analyzed |
| Storage | Shipped at 4°C. Store at -20 °C for one year. Avoid repeated freeze/thaw cycles. |
|---|---|
| Concentration | 1mg/ml |
| Disclaimer | For research use only |
风险提示:丁香通仅作为第三方平台,为商家信息发布提供平台空间。用户咨询产品时请注意保护个人信息及财产安全,合理判断,谨慎选购商品,商家和用户对交易行为负责。对于医疗器械类产品,请先查证核实企业经营资质和医疗器械产品注册证情况。
文献和实验HS Raoof, SMA Hassan, SH Ibrahim Role of Quercus Infectoria Galls Extract in Colitis-Induced Colorectal Cancer by AOM-DSS in Albino Rats pvj.com.pk, (2025)
Analysis of Protein-DNA Binding by Streptavidin-Agarose Pulldown
expressions are regulated. Commonly used techniques to determine DNA-protein binding such as the electrophoretic mobility shift assay (EMSA) have limited value for analyzing simultaneously a large number of proteins in the complex
Colloidal Gold/Streptavidin Methods
. This nonspecific binding has been attributed both to its high isoelectric point (PI = 10) and to the fact that the protein is glycosylated (3 , 4 ). Because of the problem of nonspecific binding of avidin, streptavidin has largely replaced avidin
Preparation of Colloidal Gold Particles and Conjugation to Protein A, IgG, F(ab)2, and Streptavidin
Colloidal gold probes, including protein A-, IgG-F(ab’ )2 -, and streptavidin-labeled gold particles, are useful tools for localization of antigens in cells and tissues by immunoelectron microscopy (IEM). This chapter describes different
技术资料暂无技术资料 索取技术资料















