相关产品推荐更多 >
万千商家帮你免费找货
0 人在求购买到急需产品
- 详细信息
- 文献和实验
- 技术资料
- 抗体名:
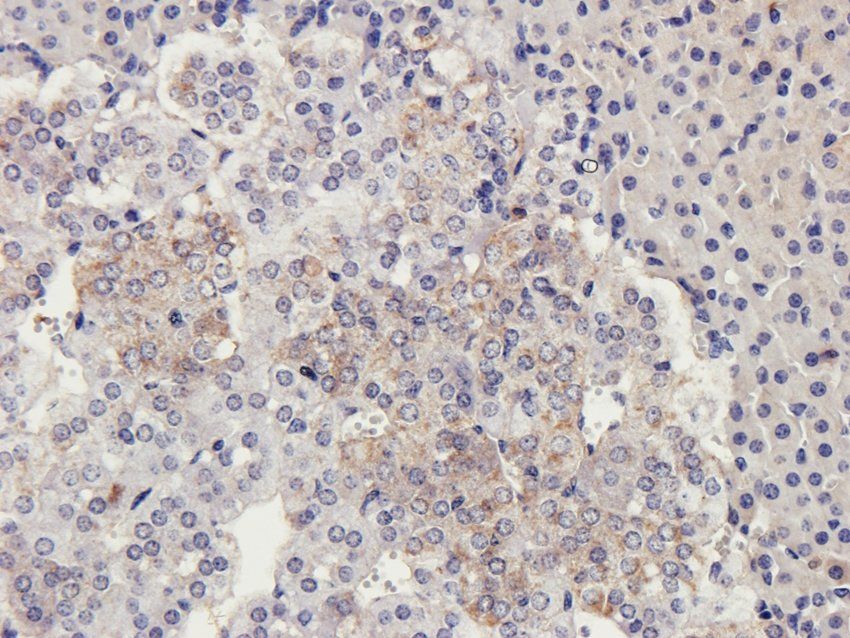
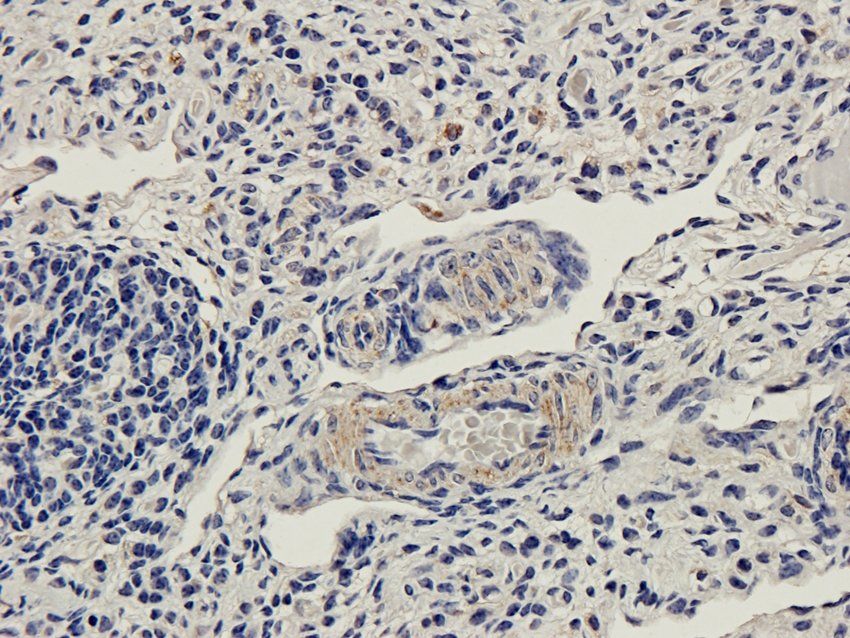
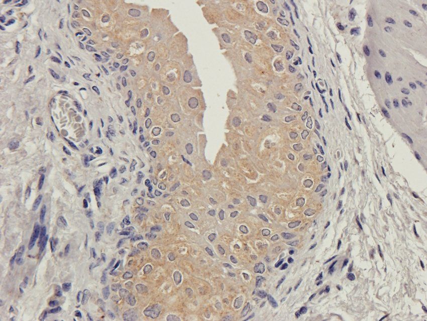
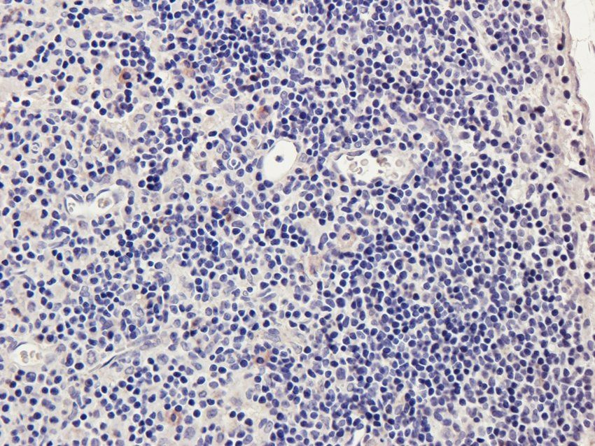
CD169 Sialoadhesin antibody抗体
- 抗体英文名:
CD169 Sialoadhesin antibody
- 靶点:
CD169 Sialoadhesin. This antibpdy has specificity with CD169 Sialoadhesin.
- 浓度:
- 100 μg (in 200 μl): 0.5 mg/ml- 200 μg (in 400 μl): 0.5 mg/ml
- 应用范围:
ICC, IF, IHC-P, WB
- 宿主:
Rabbit
- 适应物种:
Guinea pig, Human, Mouse, Rat
- 保质期:
6-12个月
- 抗原来源:
详询
- 目录编号:
orb385451
- 级别:
科研级
- 库存:
88
- 供应商:
biorbyt
- 标记物:
Unconjugated
- 克隆性:
Polyclonal
- 形态:
10 mM PBS, 0.02% sodium azide
- 亚型:
IgG
- 免疫原:
KLH conjugated synthetic peptide derived from human CD169 Sialoadhesin. Please contact us for the exact immunogen sequence. The peptide is available as orb13102.
- 规格:
100 ug
免疫原:KLH conjugated synthetic peptide derived from human CD169 Sialoadhesin. Please contact us for the exact 免疫原 sequence. The peptide is available as orb13102.
分子量:183 kDa
应用稀释比例:IHC-P: 1:100-500, IF/ICC: 1:100-500, WB: 1:200-1000
纯度:Polyclonal antibodies are purified by peptide affinity chromatography
保存说明:Maintain refrigerated at 2-8°C for up to 2 weeks. For long term storage store at -20°C in small aliquots to prevent freeze-thaw cycles.
NCBI:075556, 023068
Entrez:6614
UniProt ID:Q9BZZ2, Q62230
Note:For research use only.








风险提示:丁香通仅作为第三方平台,为商家信息发布提供平台空间。用户咨询产品时请注意保护个人信息及财产安全,合理判断,谨慎选购商品,商家和用户对交易行为负责。对于医疗器械类产品,请先查证核实企业经营资质和医疗器械产品注册证情况。
文献和实验CD33 分子 CD33 常用单克隆抗体或代号: MY9,H153,L4F3 主要表达细胞: My,BM [M] 分子质量(kDa)和结构: gp67(IgSF) 功 能: 参与造血 CD33 Myeloid cell antigen (also CD13); a sialoadhesin that may mediate cell-to-cell adhesion, acts
感染的红细胞,可与内皮细胞的CD36结合] serendip|夜乐甜蛋白 serglycan|丝甘(蛋白)聚糖[其中含有大量Ser-Gly重复序列] sericin|丝胶蛋白 seroconversion|血清转变,阳转 seroprevalence|血清阳性率 serotonin|5-羟色胺,血清紧张素 serotype|血清型 serovar|血清变型
技术资料暂无技术资料 索取技术资料











