相关产品推荐更多 >
万千商家帮你免费找货
0 人在求购买到急需产品
- 详细信息
- 文献和实验
- 技术资料
- 抗体名:
B7-H6 antibody抗体
- 抗体英文名:
B7-H6 antibody
- 靶点:
B7-H6
- 浓度:
- 100 μg (in 200 μl): 0.5 mg/ml- 200 μg (in 400 μl): 0.5 mg/ml
- 应用范围:
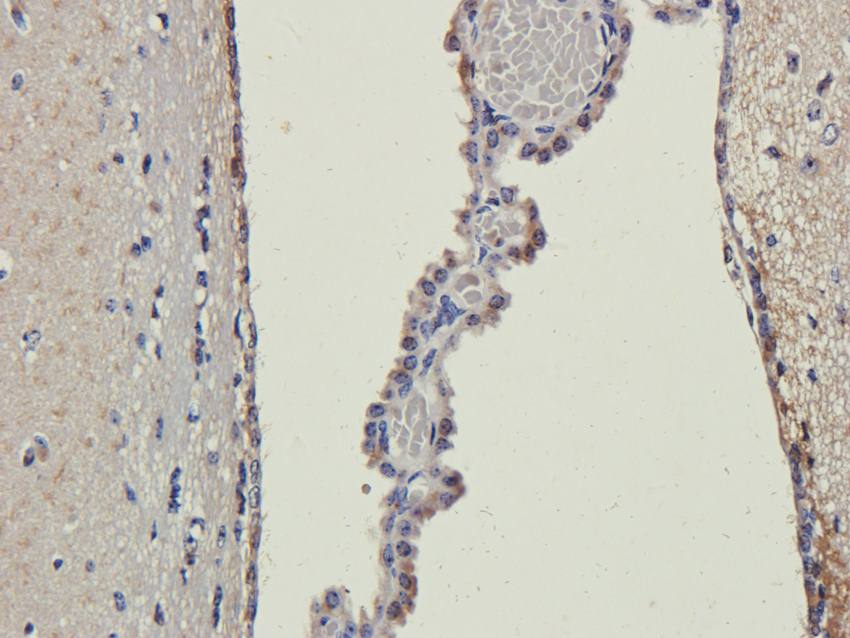
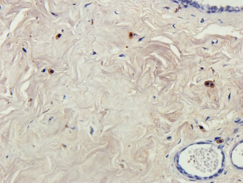
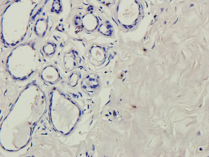
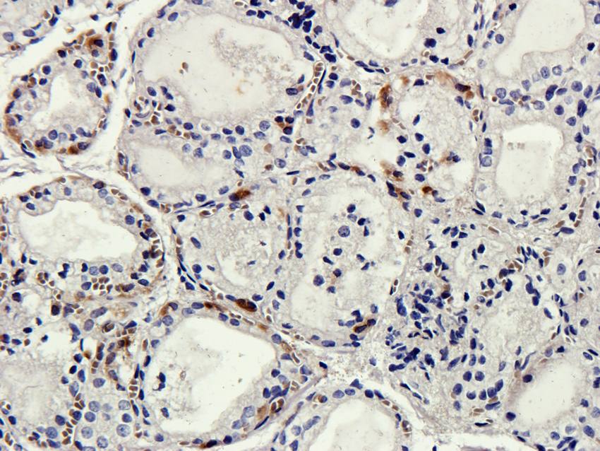
IHC-P, WB
- 宿主:
Rabbit
- 适应物种:
Guinea pig, Human, Mouse, Rat
- 保质期:
6-12个月
- 抗原来源:
详询
- 目录编号:
orb382134
- 级别:
科研级
- 库存:
88
- 供应商:
biorbyt
- 标记物:
Unconjugated
- 克隆性:
Polyclonal
- 形态:
10 mM PBS, 0.02% sodium azide
- 亚型:
IgG
- 免疫原:
KLH conjugated synthetic peptide derived from human B7-H6. Please contact us for the exact immunogen sequence. The peptide is available as orb13013.
- 规格:
100 ug
免疫原:KLH conjugated synthetic peptide derived from human B7-H6. Please contact us for the exact 免疫原 sequence. The peptide is available as orb13013.
分子量:51 kDa
应用稀释比例:IHC-P: 1:50-300, WB: 1:200-1000
纯度:Polyclonal antibodies are purified by peptide affinity chromatography
保存说明:Maintain refrigerated at 2-8°C for up to 2 weeks. For long term storage store at -20°C in small aliquots to prevent freeze-thaw cycles.
NCBI:001202439, 001189368
Entrez:374383
UniProt ID:Q68D85
Note:For research use only.







风险提示:丁香通仅作为第三方平台,为商家信息发布提供平台空间。用户咨询产品时请注意保护个人信息及财产安全,合理判断,谨慎选购商品,商家和用户对交易行为负责。对于医疗器械类产品,请先查证核实企业经营资质和医疗器械产品注册证情况。
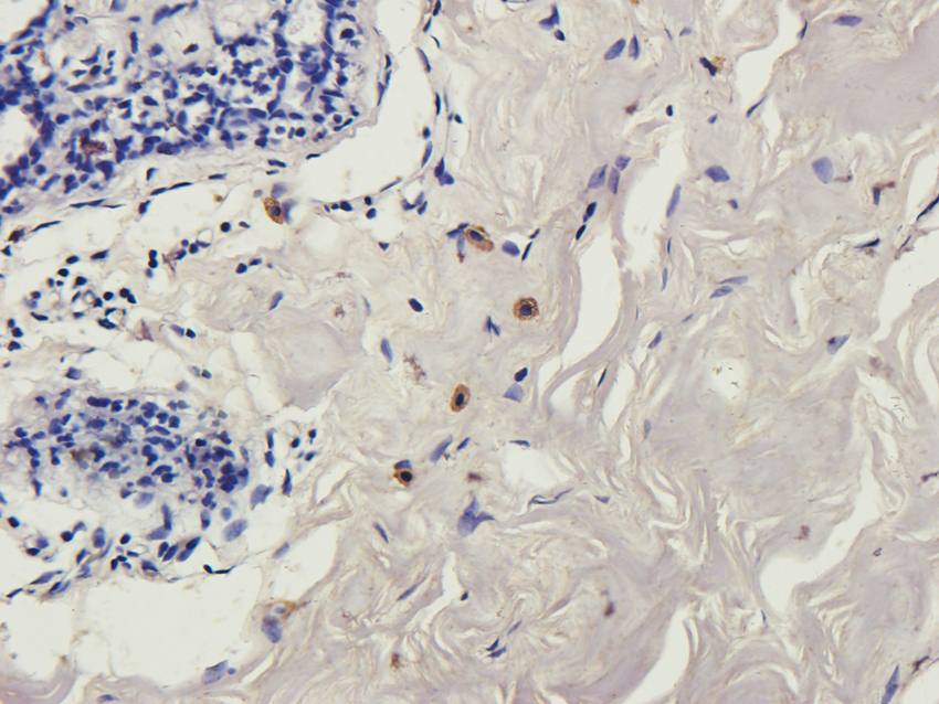
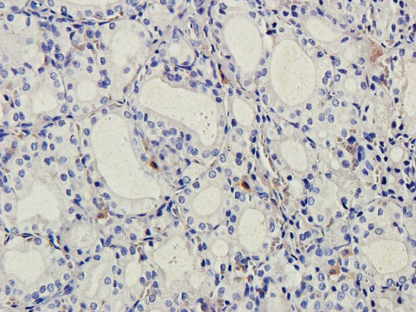
文献和实验)中γδT细胞的30%。Vδ1T细胞在维持屏障组织完整性和建立抗病毒免疫中起着至关重要的作用。研究表明,Vδ1细胞参与几种疾病,如疟疾,人类免疫缺陷病毒(HIV),巨细胞病毒(CMV),炎症性肠病和克罗恩病通过其细胞毒性和分泌细胞因子发挥作用。值得注意的是,活化的Vδ1T细胞通过NKp30识别B7-H6.B7-H6是仅在肿瘤细胞上表达的B7家族成员,并参与抗肿瘤作用。 Vδ2 T细胞主要分布在血液和淋巴系统中,是健康人类中发现的主要亚群。它占外周血γδT细胞群的50%-90%。Vδ2T细胞分为
技术资料暂无技术资料 索取技术资料










