相关产品推荐更多 >
万千商家帮你免费找货
0 人在求购买到急需产品
- 详细信息
- 文献和实验
- 技术资料
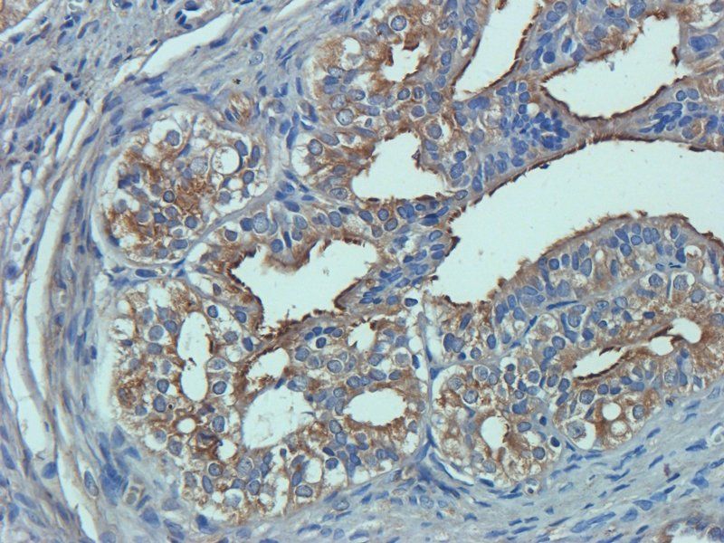
- 抗体名:
CD34 antibody抗体
- 抗体英文名:
CD34 antibody
- 靶点:
CD34
- 浓度:
- 100 μg (in 200 μl): 0.5 mg/ml- 200 μg (in 400 μl): 0.5 mg/ml
- 应用范围:
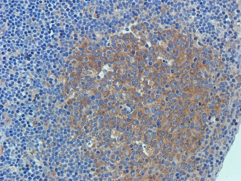
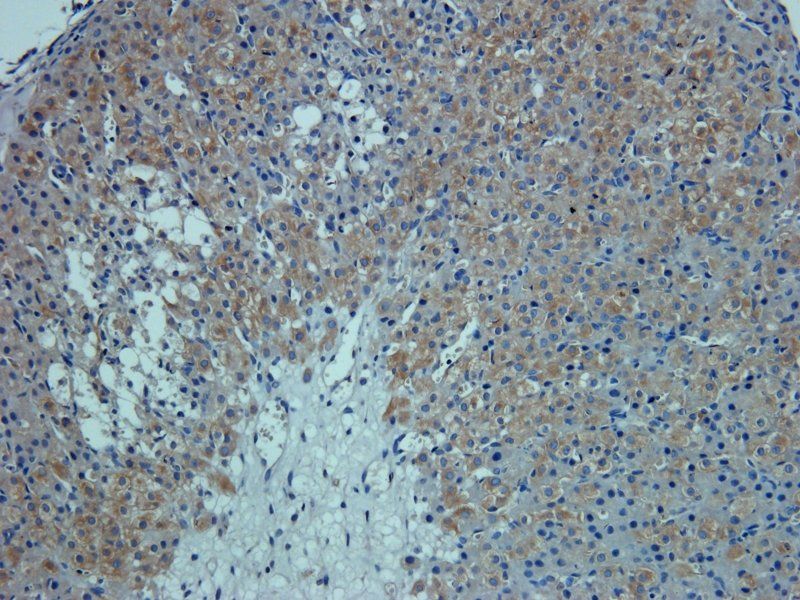
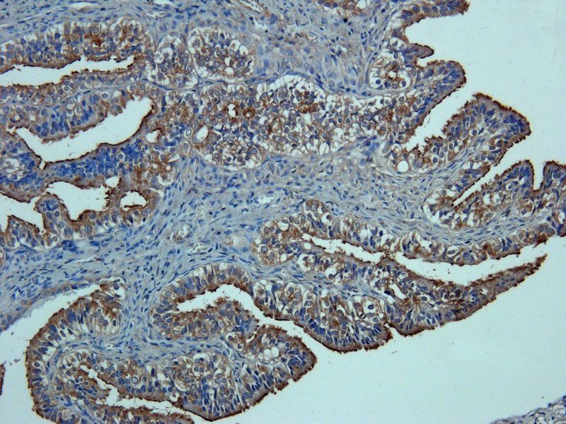
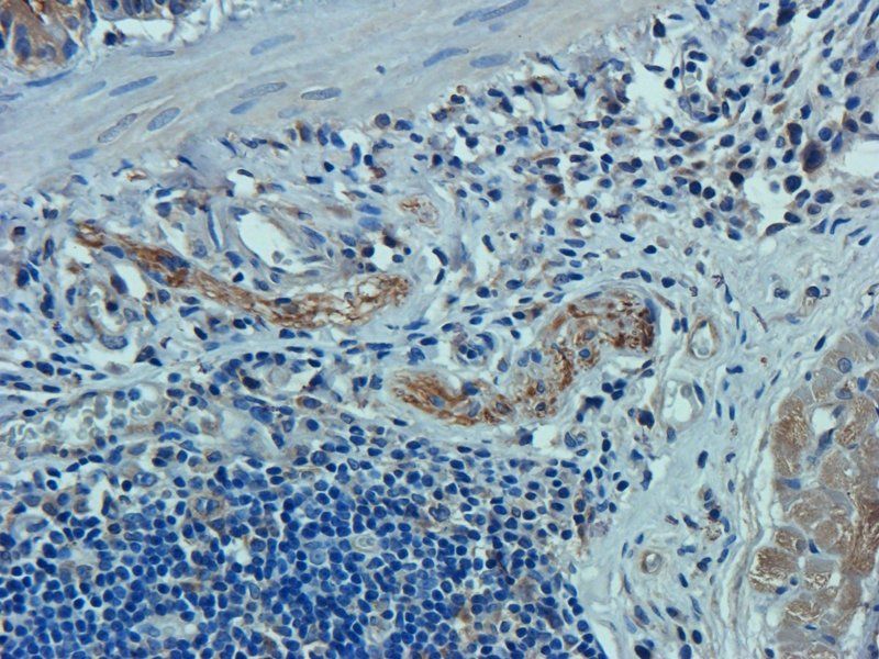
IHC-P, WB
- 宿主:
Rabbit
- 适应物种:
Human, Mouse, Rat
- 保质期:
6-12个月
- 抗原来源:
详询
- 目录编号:
orb348961
- 级别:
科研级
- 库存:
88
- 供应商:
biorbyt
- 标记物:
Unconjugated
- 克隆性:
Polyclonal
- 形态:
10 mM PBS, 0.02% sodium azide
- 亚型:
IgG
- 免疫原:
KLH conjugated synthetic peptide derived from human CD34. Please contact us for the exact immunogen sequence. The peptide is available as orb374968.
- 规格:
100 ug
别名:anti-CD34 antibody, anti-CD34 antigen antibody, anti-CD34 molecule antibody, anti-CD34_HUMAN antibody, anti-Cluster designation 34 antibody, anti-Hematopoietic progenitor cell antigen CD34 antibody, anti-HPCA1 antibody, anti-Mucosialin antibody, anti-OTTHUMP00000034733 antibody, anti-OTTHUMP00000034734 antibody
免疫原:KLH conjugated synthetic peptide derived from human CD34. Please contact us for the exact 免疫原 sequence. The peptide is available as orb374968.
分子量:41 kDa
应用稀释比例:IHC-P: 1:100-800, WB: 1:100-2000
纯度:Polyclonal antibodies are purified by peptide affinity chromatography
保存说明:Maintain refrigerated at 2-8°C for up to 2 weeks. For long term storage store at -20°C in small aliquots to prevent freeze-thaw cycles.
Pubmed:35188421
NCBI:001025109, 001020280
Entrez:947
UniProt ID:Q64314, B1PLB1, P28906
Note:For research use only.








风险提示:丁香通仅作为第三方平台,为商家信息发布提供平台空间。用户咨询产品时请注意保护个人信息及财产安全,合理判断,谨慎选购商品,商家和用户对交易行为负责。对于医疗器械类产品,请先查证核实企业经营资质和医疗器械产品注册证情况。
文献和实验CD34 分子 CD34 常用单克隆抗体或代号: MY10,ICH3 主要表达细胞: BM,En [M] 分子质量(kDa)和结构: gp115(与Ig- SFC2组一定相似性) 功 能: 调控早期造血,为CD62L的配体,外周淋巴结地址素,外周淋巴结粘附 CD34 Cell-cell adhesion molecule and cell surface glycoprotein
兔CD34分子(CD34) 酶联免疫 分析 试剂 盒使用说明书 本试剂仅供研究使用 目的:本试剂盒用于测定兔子细胞裂解液或其它相关生物液体中CD34 的含量。 实验原理 : 本试剂盒应用双抗体夹心法测定 标本 中 兔CD34 分子 (CD34) 水平。用纯化的 兔CD34 分子 (CD34) 抗体包被微孔板,制成固相抗体,往包被单抗的微孔中依次加入 CD34分子 (CD34) ,再与 HRP 标记的 CD34分子
Transmigration of Human CD34+ Cells
to understand the mechanisms responsible for their homing and/or mobilization. In this chapter, we will describe the methodology utilized in our laboratory to evaluate migration of human CD34+ cells that contain HSC.
技术资料暂无技术资料 索取技术资料











