相关产品推荐更多 >
万千商家帮你免费找货
0 人在求购买到急需产品
- 详细信息
- 技术资料
- 抗体名:
CTSS antibody抗体
- 抗体英文名:
CTSS antibody
- 靶点:
CTSS
- 浓度:
- 100 μg (in 200 μl): 0.5 mg/ml- 200 μg (in 400 μl): 0.5 mg/ml
- 应用范围:
IHC-P, WB
- 宿主:
Rabbit
- 适应物种:
Human, Mouse, Rat
- 保质期:
6-12个月
- 抗原来源:
详询
- 目录编号:
orb389329
- 级别:
科研级
- 库存:
88
- 供应商:
biorbyt
- 标记物:
Unconjugated
- 克隆性:
Polyclonal
- 形态:
10 mM PBS, 0.02% sodium azide
- 亚型:
IgG
- 免疫原:
KLH conjugated synthetic peptide derived from human CTSS. Please contact us for the exact immunogen sequence. The peptide is available as orb13860.
- 规格:
100 ug
产品描述:CTSS antibody
免疫原:KLH conjugated synthetic peptide derived from human CTSS. Please contact us for the exact 免疫原 sequence. The peptide is available as orb13860.
分子量:37 kDa
应用稀释比例:WB: 1:1001500, IHC-P: 1:100-500
纯度:Polyclonal antibodies are purified by peptide affinity chromatography
保存说明:Maintain refrigerated at 2-8°C for up to 2 weeks. For long term storage store at -20°C in small aliquots to prevent freeze-thaw cycles.
NCBI:001186668
UniProt ID:P25774, Q02765, O70370
Note:For research use only.




免疫原:KLH conjugated synthetic peptide derived from human CTSS. Please contact us for the exact 免疫原 sequence. The peptide is available as orb13860.
分子量:37 kDa
应用稀释比例:WB: 1:1001500, IHC-P: 1:100-500
纯度:Polyclonal antibodies are purified by peptide affinity chromatography
保存说明:Maintain refrigerated at 2-8°C for up to 2 weeks. For long term storage store at -20°C in small aliquots to prevent freeze-thaw cycles.
NCBI:001186668
UniProt ID:P25774, Q02765, O70370
Note:For research use only.

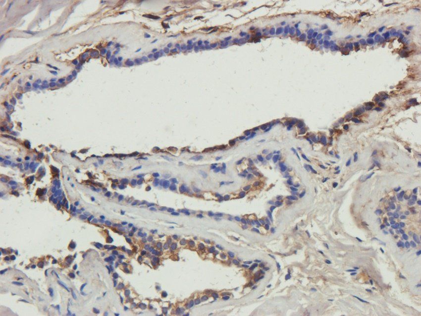
Immunohistochemical staining of paraffin embedded human breast cancer tissue using anti-CTSS (2.5 ug/ml)

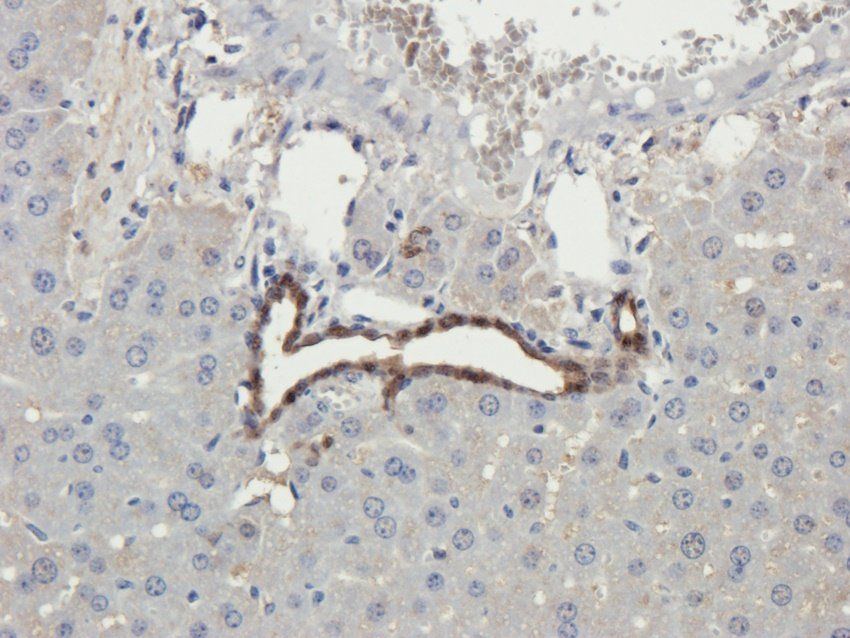
Immunohistochemical staining of paraffin embedded mouse liver tissue using CTSS antibody (2.5 ug/ml)

Western blot analysis of rat heart (lane 1), mouse stomach (lane 2), rat liver (lane 3), mouse lung (lane 4), hela cells (lane 5); human breast cancer (lane 6) using anti-CTSS (1 ug/ml)

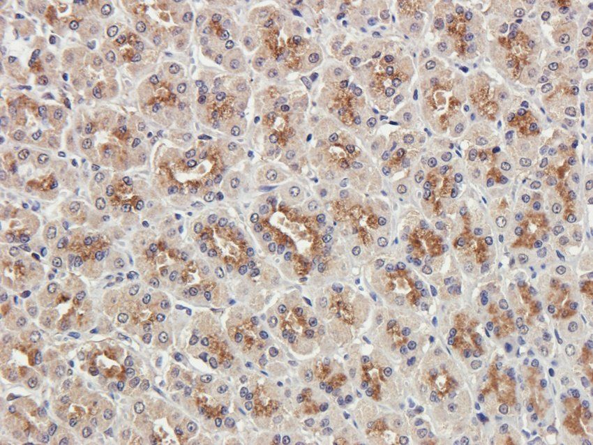
IHC-P staining of rat stomach tissue using CTSS antibody (2.5 ug/ml)
风险提示:丁香通仅作为第三方平台,为商家信息发布提供平台空间。用户咨询产品时请注意保护个人信息及财产安全,合理判断,谨慎选购商品,商家和用户对交易行为负责。对于医疗器械类产品,请先查证核实企业经营资质和医疗器械产品注册证情况。
技术资料暂无技术资料 索取技术资料
CTSS antibody抗体,orb389329,biorbyt
¥3640











