相关产品推荐更多 >
万千商家帮你免费找货
0 人在求购买到急需产品
- 详细信息
- 技术资料
- 抗体名:
Desmoglein-3 (Squamous Cell Marker) Antibody抗体
- 抗体英文名:
Desmoglein-3 (Squamous Cell Marker) Antibody
- 靶点:
DSG3
- 应用范围:
IHC, WB
- 宿主:
Mouse
- 适应物种:
Human
- 保质期:
6-12个月
- 抗原来源:
详询
- 目录编号:
orb388051
- 级别:
科研级
- 库存:
88
- 供应商:
biorbyt
- 标记物:
Unconjugated
- 克隆性:
Monoclonal
- 保存条件:
参考说明书
- 形态:
200ug/ml of Ab produced in HEK293 cell mammalian-based expression system. Prepared in 10mM PBS with 0.05% rAlbumin & 0.05% azide. Also available WITHOUT rAlbumin & azide at 1.0mg/ml.
- 亚型:
IgG1
- 免疫原:
Recombinant human DSG3 extracellular protein fragment
- 规格:
20 ug
产品描述:Mouse monoclonal antibody to DSG3
别名:130kDa pemphigus vulgaris antigen (PVA); Balding (Bal); Cadherin family member 6 (CDHF6); Desmoglein-3 (DSG3)
免疫原:Recombinant human DSG3 extracellular protein fragment
克隆性:DSG3/1535
分子量:130kDa
应用稀释比例:FACS: 0.5-1 μg/million cells, IF/ICC: 1-2 μg/ml, WB: 0.5-1.0 μg/ml, IHC-P: 1-2 μg/ml
应用注释:Desmoglein-3 (Squamous Cell Marker)
保存说明:Maintain refrigerated at 2-8°C for up to 2 weeks. For long term storage store at -20°C in small aliquots to prevent freeze-thaw cycles.
UniProt ID:P32926
Note:For research use only.


别名:130kDa pemphigus vulgaris antigen (PVA); Balding (Bal); Cadherin family member 6 (CDHF6); Desmoglein-3 (DSG3)
免疫原:Recombinant human DSG3 extracellular protein fragment
克隆性:DSG3/1535
分子量:130kDa
应用稀释比例:FACS: 0.5-1 μg/million cells, IF/ICC: 1-2 μg/ml, WB: 0.5-1.0 μg/ml, IHC-P: 1-2 μg/ml
应用注释:Desmoglein-3 (Squamous Cell Marker)
保存说明:Maintain refrigerated at 2-8°C for up to 2 weeks. For long term storage store at -20°C in small aliquots to prevent freeze-thaw cycles.
UniProt ID:P32926
Note:For research use only.

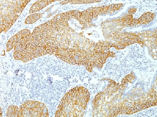
Immunohistochemical staining of human Lung Squamous cell Carcinoma tissue using DSG3 antibody

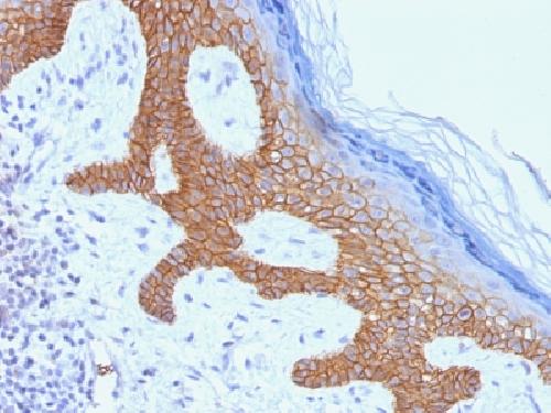
Immunohistochemical staining of human Skin tissue using DSG3 antibody
风险提示:丁香通仅作为第三方平台,为商家信息发布提供平台空间。用户咨询产品时请注意保护个人信息及财产安全,合理判断,谨慎选购商品,商家和用户对交易行为负责。对于医疗器械类产品,请先查证核实企业经营资质和医疗器械产品注册证情况。
技术资料暂无技术资料 索取技术资料
Desmoglein-3 (Squamous Cell Marker) Antibody抗体,orb388051,biorbyt
¥4420










