相关产品推荐更多 >
万千商家帮你免费找货
0 人在求购买到急需产品
- 详细信息
- 文献和实验
- 技术资料
- 抗体名:
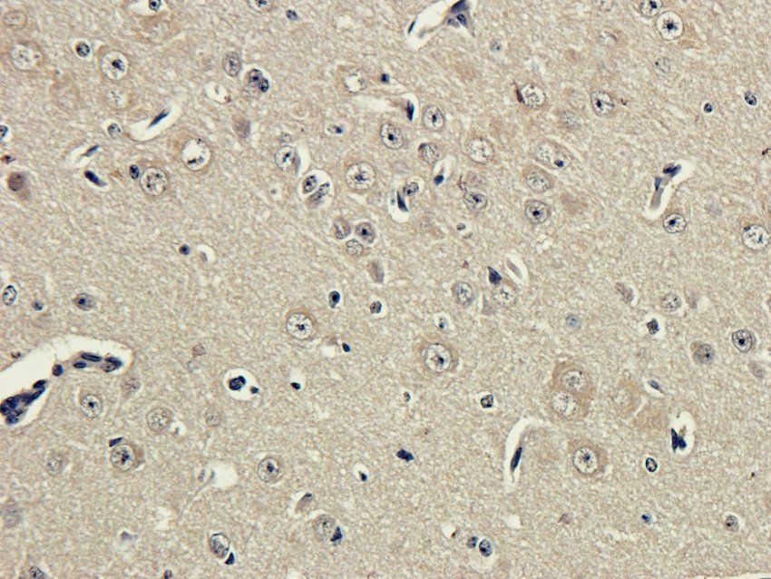
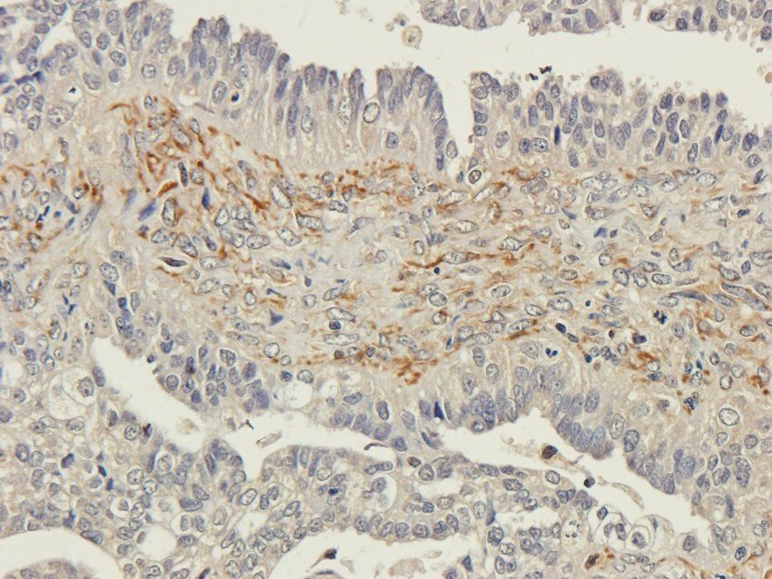
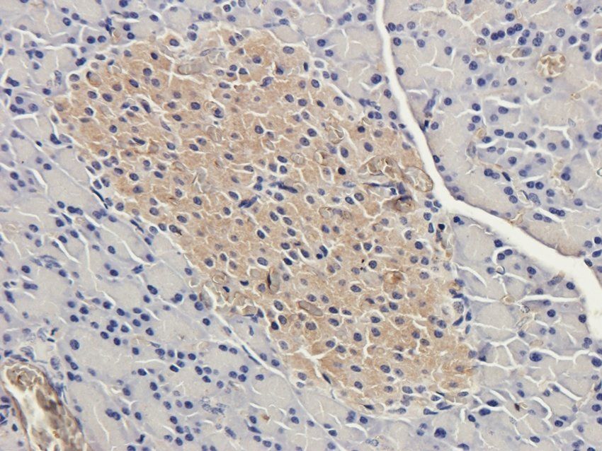
FAAH antibody抗体
- 抗体英文名:
FAAH antibody
- 靶点:
FAAH. This antibpdy has specificity with FAAH.
- 浓度:
- 100 μg (in 200 μl): 0.5 mg/ml- 200 μg (in 400 μl): 0.5 mg/ml
- 应用范围:
ICC, IF, IHC-P, WB
- 宿主:
Rabbit
- 适应物种:
Guinea pig, Human, Mouse, Rat
- 保质期:
6-12个月
- 抗原来源:
详询
- 目录编号:
orb385462
- 级别:
科研级
- 库存:
88
- 供应商:
biorbyt
- 标记物:
Unconjugated
- 克隆性:
Polyclonal
- 形态:
10 mM PBS, 0.02% sodium azide
- 亚型:
IgG
- 免疫原:
KLH conjugated synthetic peptide derived from human FAAH. Please contact us for the exact immunogen sequence. The peptide is available as orb13160.
- 规格:
100 ug
免疫原:KLH conjugated synthetic peptide derived from human FAAH. Please contact us for the exact 免疫原 sequence. The peptide is available as orb13160.
分子量:63 kDa
应用稀释比例:IHC-P: 1:100-500, IF/ICC: 1:100-500, WB: 1:200-1500
纯度:Polyclonal antibodies are purified by peptide affinity chromatography
保存说明:Maintain refrigerated at 2-8°C for up to 2 weeks. For long term storage store at -20°C in small aliquots to prevent freeze-thaw cycles.
NCBI:001441, 001432
Entrez:2166
UniProt ID:O00519, O08914, P97612
Note:For research use only.






风险提示:丁香通仅作为第三方平台,为商家信息发布提供平台空间。用户咨询产品时请注意保护个人信息及财产安全,合理判断,谨慎选购商品,商家和用户对交易行为负责。对于医疗器械类产品,请先查证核实企业经营资质和医疗器械产品注册证情况。
文献和实验A Scintillation Proximity Assay for Fatty Acid Amide Hydrolase Compatible with Inhibitor Screening
that bind to human fatty acid amide hydrolase (FAAH). This SPA assay utilizes the specific binding of [3 H]-R (+)-methanandamide (3 H-MAEA), a competitive nonhydrolyzed FAAH inhibitor, to FAAH expressing microsomes and evaluates its displacement by FAAH
Analysis of Fatty Acid Amide Hydrolase Activity in Plants
acid by a membrane enzyme known as the fatty acid amide hydrolase (FAAH). Thus, FAAH represents an important target to better understand the function of these lipid mediators in numerous cellular processes. FAAH has been extensively characterized
技术资料暂无技术资料 索取技术资料










