相关产品推荐更多 >
万千商家帮你免费找货
0 人在求购买到急需产品
- 详细信息
- 文献和实验
- 技术资料
- 免疫原:
Recombinant fusion protein containing a sequence corresponding to amino acids 20-160 of human COMP (NP_000086.2).
- 亚型:
IgG
- 形态:
Liquid
- 保存条件:
Store as concentrated solution. Centrifuge briefly prior to opening vial. For short-term storage (1-2 weeks), store at 4ºC. For long-term storage, aliquot and store at -20ºC or below. Avoid multiple freeze-thaw cycles.
- 克隆性:
Polyclonal
- 标记物:
Unconjugated
- 适应物种:
Human, Mouse
- 保质期:
12 months from the shipping date of the product.
- 抗原来源:
Human
- 目录编号:
GTX33106
- 级别:
Primary Antibodies
- 库存:
Available
- 供应商:
GeneTex
- 宿主:
Rabbit
- 应用范围:
WB, ICC/IF
- 浓度:
Batch dependent (Please refer to the vial label for the specific concentration.)
- 靶点:
COMP
- 抗体英文名:
COMP antibody
- 抗体名:
COMP 抗体
- 规格:
100 μl
ICC/IF analysis of U2OS cells using GTX33106 COMP antibody.
Blue : DAPI
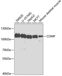
WB analysis of various sample lysates using GTX33106 COMP antibody. The signal was developed with ECL plus-Enhanced.
Dilution : 1:1000
Loading : 25μg per lane
风险提示:丁香通仅作为第三方平台,为商家信息发布提供平台空间。用户咨询产品时请注意保护个人信息及财产安全,合理判断,谨慎选购商品,商家和用户对交易行为负责。对于医疗器械类产品,请先查证核实企业经营资质和医疗器械产品注册证情况。
文献和实验血清中人类软骨寡聚蛋白(COMP)检测及临床意义:背景介绍:COMP最早被认为具有软骨特异性,表达于软骨细胞周围的基质中,但近年研究表明,COMP在所有关节结构中均有表达,包括韧带、半月板、肌腱、滑膜。此外,视网膜和血管平滑肌细胞内也能表达COMP,COMP主要由软骨细胞和滑膜细胞分泌。 软骨寡聚基质蛋白是近10余年来新发现的软骨代谢标志物,能反应关节滑膜炎的活动性及骨与软骨破坏的一种较为敏感的血清学标记物。COMP也可以作为反映类风湿关节炎RA疾病急性活动程度与软骨破坏的血清学指标。 临床
Generation of Antibody Molecules Through Antibody Engineering
been overcome to a large extent using genetic-engineering techniques to produce chimeric mouse/human and completely human antibodies. Such an approach is particularly suitable because of the domain structure of the antibody molecule ( 2 ), where functional
The importance of antibody molecules was first recognized in the 1890s, when it was shown that immunity to tetanus and diphtheria was caused by antibodies against the bacterial exotoxins (1 ). Around the same time, it was shown that antisera
技术资料暂无技术资料 索取技术资料







![SIRP alpha antibody [ED9] (PE)](https://img1.dxycdn.com/2022/0329/357/1353009224346020453-14.jpg!wh200)



