相关产品推荐更多 >
万千商家帮你免费找货
0 人在求购买到急需产品
- 详细信息
- 文献和实验
- 技术资料
- 免疫原:
Recombinant fusion protein containing a sequence corresponding to amino acids 69-268 of human CAPNS1 (NP_001740.1).
- 亚型:
IgG
- 形态:
Liquid
- 保存条件:
Store as concentrated solution. Centrifuge briefly prior to opening vial. For short-term storage (1-2 weeks), store at 4ºC. For long-term storage, aliquot and store at -20ºC or below. Avoid multiple freeze-thaw cycles.
- 克隆性:
Polyclonal
- 标记物:
Unconjugated
- 适应物种:
Human, Mouse, Rat
- 保质期:
12 months from the shipping date of the product.
- 抗原来源:
Human
- 目录编号:
GTX33058
- 级别:
Primary Antibodies
- 库存:
Available
- 供应商:
GeneTex
- 宿主:
Rabbit
- 应用范围:
WB, IHC-P
- 浓度:
Batch dependent (Please refer to the vial label for the specific concentration.)
- 靶点:
Calpain S1
- 抗体英文名:
Calpain S1 antibody
- 抗体名:
Calpain S1 抗体
- 规格:
100 μl
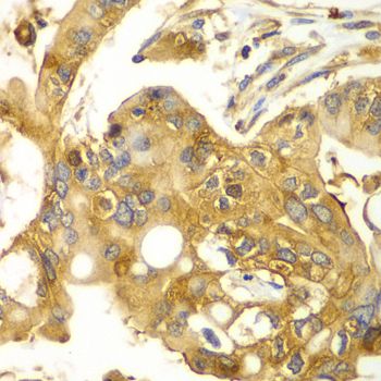
IHC-P analysis of human liver cancer tissue using GTX33058 Calpain S1 antibody.
Dilution : 1:100
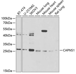
WB analysis of various sample lysates using GTX33058 Calpain S1 antibody.
Dilution : 1:1000
Loading : 25μg per lane
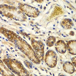
IHC-P analysis of human colon tissue using GTX33058 Calpain S1 antibody.
Dilution : 1:100
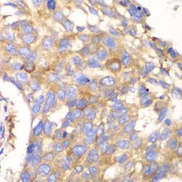
IHC-P analysis of human esophageal cancer tissue using GTX33058 Calpain S1 antibody.
Dilution : 1:100
风险提示:丁香通仅作为第三方平台,为商家信息发布提供平台空间。用户咨询产品时请注意保护个人信息及财产安全,合理判断,谨慎选购商品,商家和用户对交易行为负责。对于医疗器械类产品,请先查证核实企业经营资质和医疗器械产品注册证情况。
文献和实验祝贺〖雅裕睿安〗成为Signalway Antibody(SAB)独家
祝贺〖上海雅裕 〗成为 Signalway Antibody 品牌 (SAB) 的独家总代理。 促销【 ABCD 】细则如下: 【 A 】 买两支 SAB 抗体免费获得 8G 优盘 活动时间:即日起,至 2011 年
diseases, fibrosis, and certain pathologies associated with impaired angiogenesis such as, age-related macular degeneration (AMD). Antibody-based techniques to identify and localize S1P and SphK-1 within cells and tissue specimens represent powerful tools
全球首次!分离的新冠病毒中和抗体,还可同时抗 SARS 病毒
的特效药。对于此次的 COVID- 19 而言,目前也缺乏治疗该疾病的疫苗和靶向疗法。2020 年 3 月 11 日,来自荷兰乌得勒支大学的 Berend-Jan Bosch 教授团队在预印本杂志 bioRxiv 发表了题为《A human monoclonal antibody blocking SARS-CoV- 2 infection》的研究论文。该研究报告了一种能够同时中和 SARS-CoV- 2 和 SARS-CoV 的全人源单克隆抗体。研究人员称这种交叉中和抗体能够靶向这些病毒的共同
技术资料暂无技术资料 索取技术资料









![Importin 13 antibody [N1N2], N-term](https://img1.dxycdn.com/2022/0328/874/9918054212601300453-14.jpg!wh200)

