相关产品推荐更多 >
万千商家帮你免费找货
0 人在求购买到急需产品
- 详细信息
- 文献和实验
- 技术资料
- 抗体名:
CD24 antibody抗体
- 抗体英文名:
CD24 antibody
- 靶点:
CD24. Recognizes endogenous levels of CD24 protein
- 浓度:
- 100 μg (in 200 μl): 0.5 mg/ml- 200 μg (in 400 μl): 0.5 mg/ml
- 应用范围:
IHC-P
- 宿主:
Rabbit
- 适应物种:
Human, Mouse, Rat
- 保质期:
6-12个月
- 抗原来源:
详询
- 目录编号:
orb319443
- 级别:
科研级
- 库存:
88
- 供应商:
biorbyt
- 标记物:
Unconjugated
- 克隆性:
Polyclonal
- 形态:
10 mM PBS, 0.02% sodium azide
- 亚型:
IgG
- 免疫原:
KLH conjugated synthetic peptide derived from human CD24. Please contact us for the exact immunogen sequence. The peptide is available as orb374929.
- 规格:
100 ug
免疫原:KLH conjugated synthetic peptide derived from human CD24. Please contact us for the exact 免疫原 sequence. The peptide is available as orb374929.
分子量:11 kDa
应用稀释比例:IHC-P: 1:100-500 (based on 0.5 mg/ml)
纯度:Polyclonal antibodies are purified by peptide affinity chromatography
保存说明:Maintain refrigerated at 2-8°C for up to 2 weeks. For long term storage store at -20°C in small aliquots to prevent freeze-thaw cycles.
Entrez:100133941
UniProt ID:P25063
Note:For research use only.



风险提示:丁香通仅作为第三方平台,为商家信息发布提供平台空间。用户咨询产品时请注意保护个人信息及财产安全,合理判断,谨慎选购商品,商家和用户对交易行为负责。对于医疗器械类产品,请先查证核实企业经营资质和医疗器械产品注册证情况。
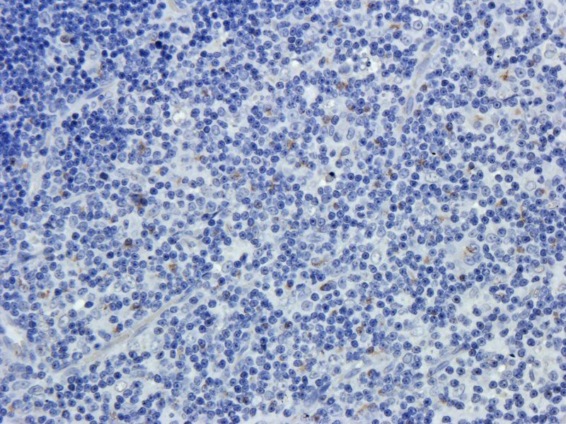
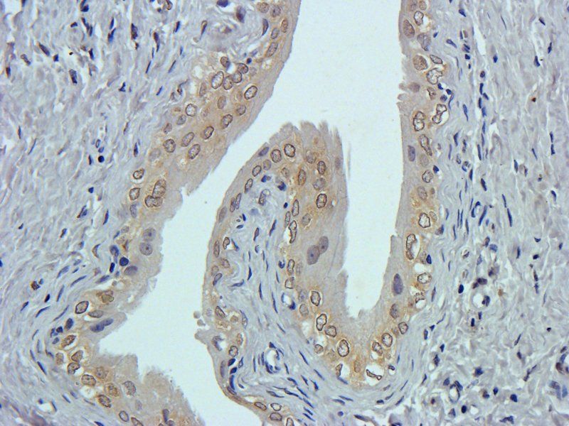
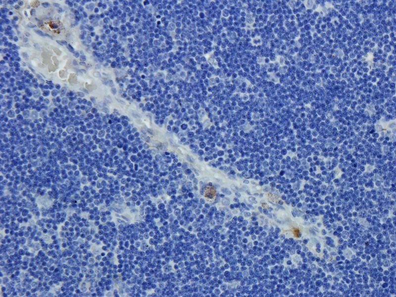
文献和实验CD24 分子 CD24 常用单克隆抗体或代号: BA- 1,ALB9 主要表达细胞: B,G [B] 分子质量(kDa)和结构: gp35- 45(GPI连接) 功 能: B细胞增殖和分化,结合CD62P,共刺激分子 CD24 Promotes antigen dependent proliferation of B cells; prevents differentiation
三句话读懂一篇 CNS:昼夜颠倒的睡眠,容易加速肥胖;为什么思考会让人感到疲惫?
potential of exhausted T cells。 该研究确定了肿瘤浸润 T 细胞进展到最终衰竭的表观遗传学景观,阐明了 Tox 与表观遗传景观和转录组的关系,发现肿瘤微环境中受损的共刺激信号和缺氧状态有助于改变基因调控! 图 7:来源 Science Immunology 8. Cell Metabolism:揭示天然免疫检查点 CD24-Siglec 通路的作用机制 肥胖、糖尿病、心血管疾病和非酒精性脂肪肝等代谢性疾病带来了严重的公共健康危机。 2022 年 8 月 2 日,马里
Identification of Human Pancreatic Cancer Stem Cells
, prostate, ovarian, melanoma, colon, and breast cancers. We have recently reported the identification of a subpopulation of pancreatic cancer cells that express the cell surface markers CD44+CD24+ESA+ (0.2–0.8% of all human pancreatic cancer cells
技术资料暂无技术资料 索取技术资料









