相关产品推荐更多 >
万千商家帮你免费找货
0 人在求购买到急需产品
- 详细信息
- 文献和实验
- 技术资料
- 抗体名:
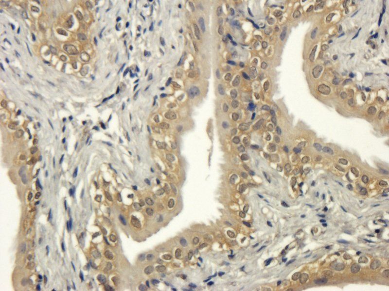
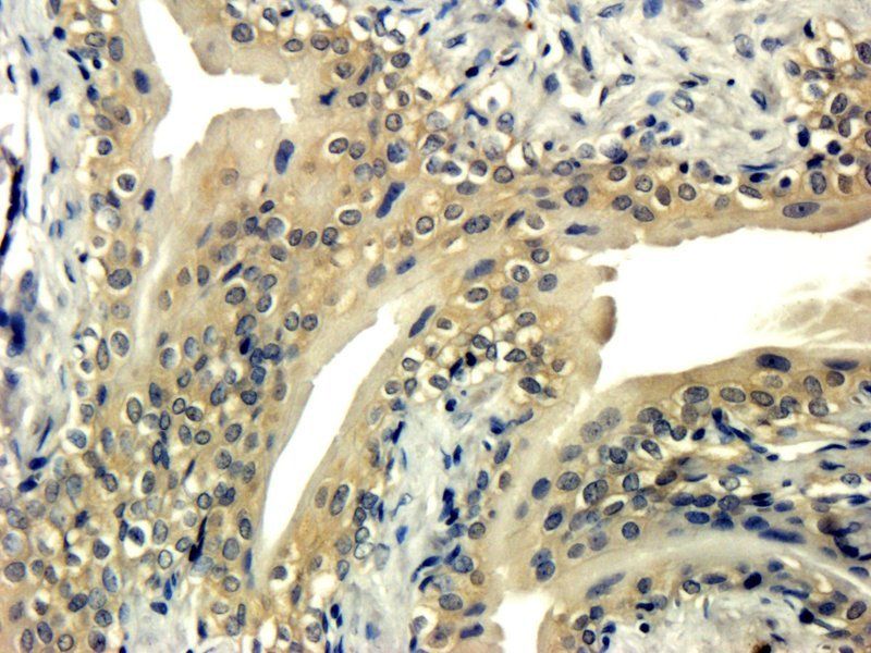
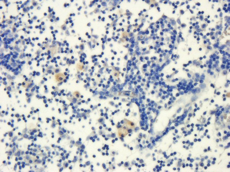
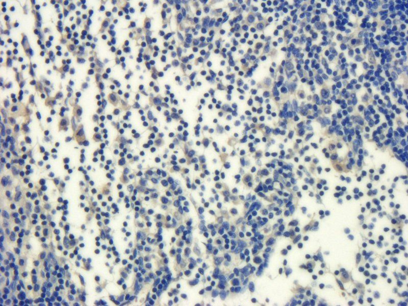
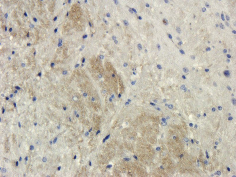
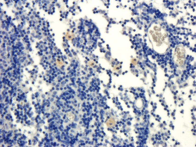
IL1 alpha antibody抗体
- 抗体英文名:
IL1 alpha antibody
- 靶点:
IL1 alpha. The antibody detects endogenous levels of IL1 alpha
- 浓度:
- 100 μg (in 200 μl): 0.5 mg/ml- 200 μg (in 400 μl): 0.5 mg/ml
- 应用范围:
ELISA, ICC, IF, IHC-P, WB
- 宿主:
Rabbit
- 适应物种:
Human, Mouse, Rat
- 保质期:
6-12个月
- 抗原来源:
详询
- 目录编号:
orb308737
- 级别:
科研级
- 库存:
88
- 供应商:
biorbyt
- 标记物:
Unconjugated
- 克隆性:
Polyclonal
- 形态:
Liquid: 10 mM PBS, pH 7.4 with 10 mg/ml rAlbumin, 0.03% Proclin 300 and 25% glycerol
- 亚型:
IgG
- 免疫原:
KLH conjugated synthetic peptide derived from human IL1 alpha. Please contact us for the exact immunogen sequence. The peptide is available as orb374891.
- 规格:
100 ug
别名:anti Hematopoietin 1 antibody, anti Hematopoietin-1 antibody, anti IL 1 alpha antibody, anti IL 1 antibody, anti IL 1A antibody, anti IL-1 alpha antibody, anti Il-1a antibody, anti IL1 ALPHA antibody, anti IL1 antibody, anti IL1A antibody, anti IL1A_HUMAN antibody, anti IL1F1 antibody, anti ilia antibody, anti Interleukin 1 alpha antibody, anti Interleukin 1 alpha precursor antibody, anti Interleukin-1 alpha antibody, anti Interleukin1 alpha antibody, anti Preinterleukin 1 alpha antibody, anti Pro interleukin 1 alpha antibody
免疫原:KLH conjugated synthetic peptide derived from human IL1 alpha. Please contact us for the exact 免疫原 sequence. The peptide is available as orb374891.
分子量:17 kDa
应用稀释比例:IHC-P: 1:100-500
纯度:Polyclonal antibodies are purified by peptide affinity chromatography
保存说明:Maintain refrigerated at 2-8°C for up to 2 weeks. For long term storage store at -20°C in small aliquots to prevent freeze-thaw cycles.
Pubmed:34449702, 31443525, 36837507, 33919374, 34943184, 34682191
NCBI:000575, 000566
Entrez:3552
UniProt ID:P01582, P01583, P16598
Note:For research use only.







风险提示:丁香通仅作为第三方平台,为商家信息发布提供平台空间。用户咨询产品时请注意保护个人信息及财产安全,合理判断,谨慎选购商品,商家和用户对交易行为负责。对于医疗器械类产品,请先查证核实企业经营资质和医疗器械产品注册证情况。
文献和实验【整理】蛋白版06年9月份无人应助帖,请广大战友积极应助,加分从优!
=17&age=0 【求助】抗体如何转运? http://www.dxy.cn/bbs/post/view?bid=65&id=7035211&sty=1&tpg=16&age=0 【求助】酶固定化方法中CLEA和CLEC的区别? http://www.dxy.cn/bbs/post/view?bid=65&id=7032897&sty=1&tpg=16&age=0 【求助】如何判断表达的蛋白是否形成包涵体 http://www.dxy.cn/bbs/post/view
技术资料暂无技术资料 索取技术资料










