相关产品推荐更多 >
万千商家帮你免费找货
0 人在求购买到急需产品
- 详细信息
- 技术资料
- 抗体名:
MIP3 beta antibody抗体
- 抗体英文名:
MIP3 beta antibody
- 靶点:
MIP3 beta
- 浓度:
- 100 μg (in 200 μl): 0.5 mg/ml- 200 μg (in 400 μl): 0.5 mg/ml
- 应用范围:
ELISA, ICC, IF, IHC-P
- 宿主:
Rabbit
- 适应物种:
Human, Mouse, Rat
- 保质期:
6-12个月
- 抗原来源:
详询
- 目录编号:
orb256345
- 级别:
科研级
- 库存:
88
- 供应商:
biorbyt
- 标记物:
Unconjugated
- 克隆性:
Polyclonal
- 形态:
10 mM PBS, 0.02% sodium azide
- 亚型:
IgG
- 免疫原:
KLH conjugated synthetic peptide derived from human MIP3 beta. Please contact us for the exact immunogen sequence. The peptide is available as orb374878.
- 规格:
100 ug
产品描述:MIP3 beta antibody
别名:anti Beta chemokine exodus 3 antibody, anti C C motif chemokine 19 antibody, anti CCL19 antibody, anti CK beta 11 antibody, anti CKb11 antibody, anti EBI1 ligand chemokine antibody, anti ELC antibody, anti MIP 3 beta antibody, anti MIP 3b antibody, anti MIP3B antibody, anti MIP-3-beta antibody, anti SCYA19 antibody, anti Small inducible cytokine A19 antibody, anti MIP-3-beta antibody, anti MIP3beta antibody
免疫原:KLH conjugated synthetic peptide derived from human MIP3 beta. Please contact us for the exact 免疫原 sequence. The peptide is available as orb374878.
分子量:9.2 kDa
应用稀释比例:IF/ICC: 1:200, IHC-P: 1:200
纯度:Polyclonal antibodies are purified by peptide affinity chromatography
保存说明:Maintain refrigerated at 2-8°C for up to 2 weeks. For long term storage store at -20°C in small aliquots to prevent freeze-thaw cycles.
NCBI:005055, 005064
Entrez:6363
UniProt ID:Q99731, D3ZI84, O70460
Note:For research use only.








别名:anti Beta chemokine exodus 3 antibody, anti C C motif chemokine 19 antibody, anti CCL19 antibody, anti CK beta 11 antibody, anti CKb11 antibody, anti EBI1 ligand chemokine antibody, anti ELC antibody, anti MIP 3 beta antibody, anti MIP 3b antibody, anti MIP3B antibody, anti MIP-3-beta antibody, anti SCYA19 antibody, anti Small inducible cytokine A19 antibody, anti MIP-3-beta antibody, anti MIP3beta antibody
免疫原:KLH conjugated synthetic peptide derived from human MIP3 beta. Please contact us for the exact 免疫原 sequence. The peptide is available as orb374878.
分子量:9.2 kDa
应用稀释比例:IF/ICC: 1:200, IHC-P: 1:200
纯度:Polyclonal antibodies are purified by peptide affinity chromatography
保存说明:Maintain refrigerated at 2-8°C for up to 2 weeks. For long term storage store at -20°C in small aliquots to prevent freeze-thaw cycles.
NCBI:005055, 005064
Entrez:6363
UniProt ID:Q99731, D3ZI84, O70460
Note:For research use only.

IHC-P staining of mouse lymph node tissue using anti-MIP3 beta (2.5 ug/ml)

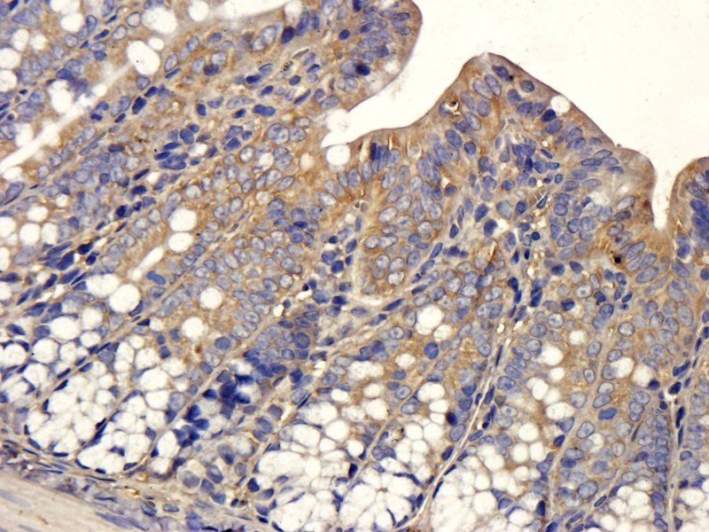
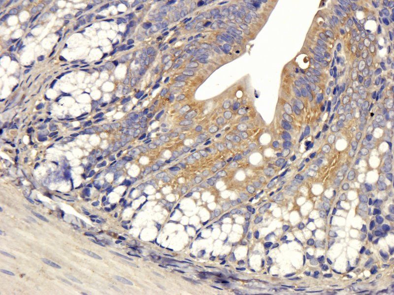
Immunohistochemical staining of rat colon tissue using MIP3 beta antibody (2.5 ug/ml)

IF analysis of mouse skin tissue using anti-MIP3 beta (2.5 ug/ml)

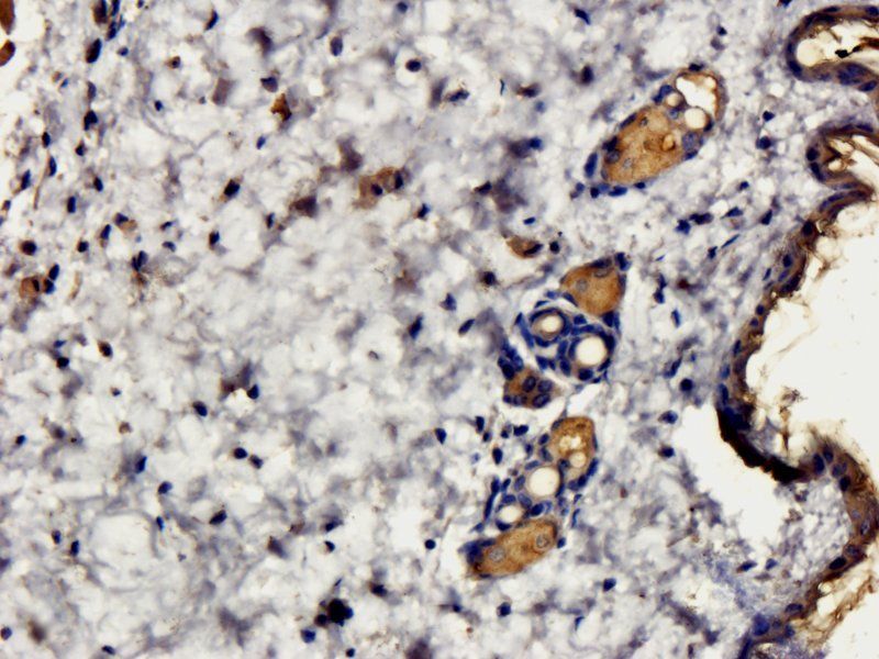
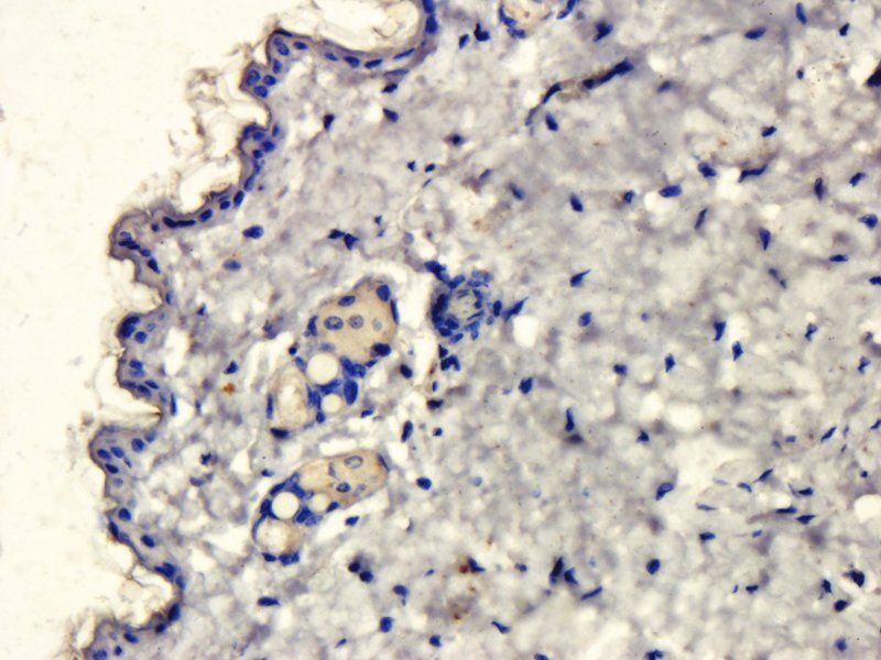
IHC-P image of rat skin tissue using anti-MIP3 beta (2.5 ug/ml)

Immunohistochemical staining of rat colon tissue using anti-MIP3 beta (2.5 ug/ml)

Immunofluorescence image of mouse skin tissue using anti-MIP3 beta (2.5 ug/ml)

IHC-P image of mouse skin tissue using anti-MIP3 beta (2.5 ug/ml)

Immunohistochemical staining of paraffin embedded mouse skin tissue using MIP3 beta antibody (2.5 ug/ml)
风险提示:丁香通仅作为第三方平台,为商家信息发布提供平台空间。用户咨询产品时请注意保护个人信息及财产安全,合理判断,谨慎选购商品,商家和用户对交易行为负责。对于医疗器械类产品,请先查证核实企业经营资质和医疗器械产品注册证情况。
技术资料暂无技术资料 索取技术资料
MIP3 beta antibody抗体,orb256345,biorbyt
¥3640











