相关产品推荐更多 >
万千商家帮你免费找货
0 人在求购买到急需产品
- 详细信息
- 文献和实验
- 技术资料
- 抗体名:
MCP3 antibody抗体
- 抗体英文名:
MCP3 antibody
- 靶点:
MCP3
- 浓度:
- 100 μg (in 200 μl): 0.5 mg/ml- 200 μg (in 400 μl): 0.5 mg/ml
- 应用范围:
ELISA, ICC, IF, IHC-P
- 宿主:
Rabbit
- 适应物种:
Human, Mouse, Porcine, Rat
- 保质期:
6-12个月
- 抗原来源:
详询
- 目录编号:
orb256344
- 级别:
科研级
- 库存:
88
- 供应商:
biorbyt
- 标记物:
Unconjugated
- 克隆性:
Polyclonal
- 形态:
10 mM PBS, 0.02% sodium azide
- 亚型:
IgG
- 免疫原:
KLH conjugated synthetic peptide derived from human MCP3. Please contact us for the exact immunogen sequence. The peptide is available as orb374877.
- 规格:
100 ug
产品描述:MCP3 antibody
别名:anti C-C motif chemokine 7 antibody, anti CCL7 antibody, anti Chemokine CC Motif Ligand 7 antibody, anti FIC antibody, anti MARC antibody, anti MCP-3 antibody, anti MCP3 antibody, anti Monocyte chemotactic protein 3 antibody, anti NC28 antibody, anti SCYA6 antibody, anti SCYA7 antibody, anti Small inducible cytokine A7 antibody, anti CCL 7 antibody, anti CCL-7 antibody, anti MCP 3 antibody
免疫原:KLH conjugated synthetic peptide derived from human MCP3. Please contact us for the exact 免疫原 sequence. The peptide is available as orb374877.
分子量:11 kDa
应用稀释比例:IF/ICC: 1:200, IHC-P: 1:200-500
纯度:Polyclonal antibodies are purified by peptide affinity chromatography
保存说明:Maintain refrigerated at 2-8°C for up to 2 weeks. For long term storage store at -20°C in small aliquots to prevent freeze-thaw cycles.
Pubmed:38443336
NCBI:11, 013654, 038682, 31
Entrez:20306
UniProt ID:P80098, Q9QXY8, Q03366
Note:For research use only.





别名:anti C-C motif chemokine 7 antibody, anti CCL7 antibody, anti Chemokine CC Motif Ligand 7 antibody, anti FIC antibody, anti MARC antibody, anti MCP-3 antibody, anti MCP3 antibody, anti Monocyte chemotactic protein 3 antibody, anti NC28 antibody, anti SCYA6 antibody, anti SCYA7 antibody, anti Small inducible cytokine A7 antibody, anti CCL 7 antibody, anti CCL-7 antibody, anti MCP 3 antibody
免疫原:KLH conjugated synthetic peptide derived from human MCP3. Please contact us for the exact 免疫原 sequence. The peptide is available as orb374877.
分子量:11 kDa
应用稀释比例:IF/ICC: 1:200, IHC-P: 1:200-500
纯度:Polyclonal antibodies are purified by peptide affinity chromatography
保存说明:Maintain refrigerated at 2-8°C for up to 2 weeks. For long term storage store at -20°C in small aliquots to prevent freeze-thaw cycles.
Pubmed:38443336
NCBI:11, 013654, 038682, 31
Entrez:20306
UniProt ID:P80098, Q9QXY8, Q03366
Note:For research use only.

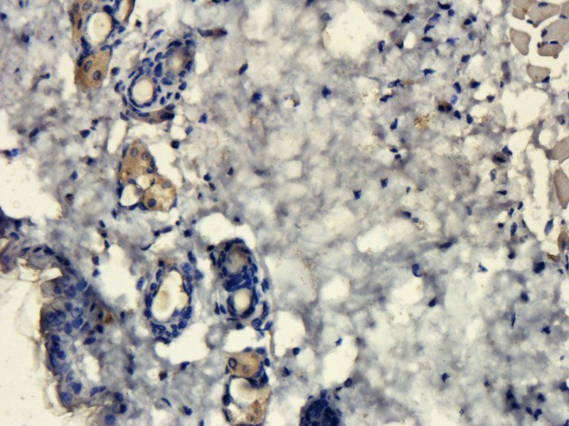
Immunohistochemical staining of paraffin embedded mouse skin tissue using anti-MCP3 (2.5 ug/ml)

Immunofluorescence analysis of mouse skin tissue using MCP3 antibody (2.5 ug/ml)

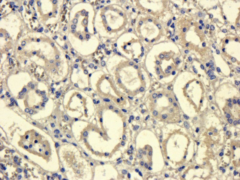
IHC-P staining of pig kidney tissue using MCP3 antibody (2 ug/ml)

IHC-P image of mouse skin tissue using anti-MCP3 (2 ug/ml)

IF image of mouse skin tissue using anti-MCP3 (2.5 ug/ml)
风险提示:丁香通仅作为第三方平台,为商家信息发布提供平台空间。用户咨询产品时请注意保护个人信息及财产安全,合理判断,谨慎选购商品,商家和用户对交易行为负责。对于医疗器械类产品,请先查证核实企业经营资质和医疗器械产品注册证情况。
文献和实验该产品被引用文献
Fatima Khan 1, Yiyun Lin 2 3, Heba Ali 1, Lizhi Pang 1, Madeline Dunterman 1, Wen-Hao Hsu 3 4, Katie Frenis 5 6, R Grant Rowe 5 6 7, Derek A Wainwright 1, Kathleen McCortney 1, Leah K Billingham 1, Jason Miska 1, Craig Horbinski 1 8, Maciej S Lesniak 1, Peiwen Chen Lactate dehydrogenase A regulates tumor-macrophage symbiosis to promote glioblastoma progression Nat Commun
., 15, 1987 (2024), Peiwen Chen,Fatima Khan1Yiyu Lin,Heba Ali,Lizhi Pang,Madeline Dunterman,Wen-Hao Hsu,Katie Frenis,R. Grant Rowe LDHA-regulated tumor-macrophage symbiosis promotes glioblastoma progression Research Square, (2023)
技术资料暂无技术资料 索取技术资料
文献支持
MCP3 antibody抗体,orb256344,biorbyt
¥3640











