相关产品推荐更多 >
万千商家帮你免费找货
0 人在求购买到急需产品
- 详细信息
- 文献和实验
- 技术资料
- 抗体名:
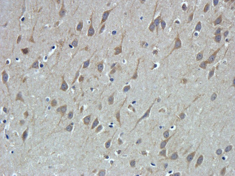
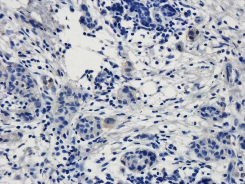
TRPV1 antibody抗体
- 抗体英文名:
TRPV1 antibody
- 靶点:
TRPV1
- 浓度:
- 100 μg (in 200 μl): 0.5 mg/ml- 200 μg (in 400 μl): 0.5 mg/ml
- 应用范围:
ELISA, ICC, IF, IHC-P, WB
- 宿主:
Rabbit
- 适应物种:
Human, Mouse, Rat
- 保质期:
6-12个月
- 抗原来源:
详询
- 目录编号:
orb251483
- 级别:
科研级
- 库存:
88
- 供应商:
biorbyt
- 标记物:
Unconjugated
- 克隆性:
Polyclonal
- 形态:
10 mM PBS, 0.02% sodium azide
- 亚型:
IgG
- 免疫原:
KLH conjugated synthetic peptide derived from human TRPV1. Please contact us for the exact immunogen sequence. The peptide is available as orb374867.
- 规格:
100 ug
别名:anti TRPV1 antibody,anti VRL1 antibody
免疫原:KLH conjugated synthetic peptide derived from human TRPV1. Please contact us for the exact 免疫原 sequence. The peptide is available as orb374867.
分子量:86 kDa
应用稀释比例:WB: 1:200, IHC-P: 1:100
纯度:Polyclonal antibodies are purified by peptide affinity chromatography
保存说明:Maintain refrigerated at 2-8°C for up to 2 weeks. For long term storage store at -20°C in small aliquots to prevent freeze-thaw cycles.
NCBI:542435, 061197
Entrez:51393
UniProt ID:Q8NER1, O35433, Q704Y3
Note:For research use only.




风险提示:丁香通仅作为第三方平台,为商家信息发布提供平台空间。用户咨询产品时请注意保护个人信息及财产安全,合理判断,谨慎选购商品,商家和用户对交易行为负责。对于医疗器械类产品,请先查证核实企业经营资质和医疗器械产品注册证情况。
文献和实验The transient receptor potential V1, or TRPV1, channel has a complex polymodal activation profile that integrates information from membrane potential changes, heat, and protons in addition to channel gating following ligand binding. TRPV1
【思路解读】诺奖结果公布了,如何利用这个热点?8 篇高分文章,给你思路!
10 月 4 日,2021 年诺贝尔生理学或医学奖授予 David Julius 和 Ardem Patapoutian,以表彰他们在人体痛温觉和机械压力刺激等基础研究方面的开拓性贡献。 获得诺奖的主要研究内容包括 TRPV1、TRPM8 和 PIEZO1、PIEZO2,解释了 TRP 影响人体感受冷热温度觉(包括疼痛觉)以及 PIEZO 影响人体压力感觉的神经传导。 图片来源:诺奖官网 基础 or 临床,都可以利用诺奖成果 今年的诺奖侧重于阐述 TRP 和 PIEZO 的生理功能。 根据近
人为什么会打喷嚏?刘琴课题组 Cell 发文揭露喷嚏反射神经机制
素的感知需要通过 Trpv1 离子通道,作者首先探索了鼻腔粘膜中表达 Trpv1 的神经元。结果显示,小鼠鼻部的神经纤维主要由表达 Trpv1 的神经元构成,而这种神经元大多为小直径神经元。 为了验证表达 Trpv1 的小直径神经元与喷嚏反射之间的联系,研究团队使用树脂毒素(RTX)阻断了 Trpv1 神经元的传导。结果显示,接受 RTX 处理过的小鼠,其在接受刺激后的喷嚏反射次数出现了显著的降低。这些数据都表明了 Trpv1 神经元在喷嚏反射中扮演了关键性的角色。 图片来源:Cell 在确定
技术资料暂无技术资料 索取技术资料










