相关产品推荐更多 >
万千商家帮你免费找货
0 人在求购买到急需产品
- 详细信息
- 询价记录
- 文献和实验
- 技术资料
- 抗体名:
GPR159 Antibody抗体
- 抗体英文名:
GPR159 Antibody
- 应用范围:
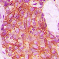
IF, WB
- 宿主:
Rabbit
- 适应物种:
Canine, Human, Mouse, Rat
- 保质期:
6-12个月
- 抗原来源:
详询
- 目录编号:
orb215235
- 级别:
科研级
- 库存:
88
- 供应商:
biorbyt
- 标记物:
Unconjugated
- 克隆性:
Polyclonal
- 形态:
Liquid in 0.42% Potassium phosphate, 0.87% Sodium chloride, pH 7.3, 30% glycerol, and 0.01% sodium azide.
- 免疫原:
KLH-conjugated synthetic peptide encompassing a sequence within the C-term region of human GPR159. The exact sequence is proprietary.
- 规格:
30 ul
别名:CMKOR1; CXCR7; GPR159; RDC1; Atypical chemokine receptor 3; C-X-C chemokine receptor type 7; CXC-R7; CXCR-7; Chemokine orphan receptor 1; G-protein coupled receptor 159; G-protein coupled receptor RDC1 homolog; RDC-1
免疫原:KLH-conjugated synthetic peptide encompassing a sequence within the C-term region of human GPR159. The exact sequence is proprietary.
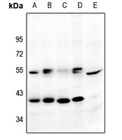
应用稀释比例:WB: 1-500-1-1000, IHC-P: 1-100-1-200
纯化:The antibody was purified by immunogen affinity chromatography.
保存说明:Maintain refrigerated at 2-8°C for up to 2 weeks. For long term storage store at -20°C in small aliquots to prevent freeze-thaw cycles.
Entrez:57007, 84348, 12778
UniProt ID:O89039, P56485, P25106
Note:For research use only.



风险提示:丁香通仅作为第三方平台,为商家信息发布提供平台空间。用户咨询产品时请注意保护个人信息及财产安全,合理判断,谨慎选购商品,商家和用户对交易行为负责。对于医疗器械类产品,请先查证核实企业经营资质和医疗器械产品注册证情况。
- 作者
- 内容
- 询问日期
文献和实验NSMB:徐华强 / 谢欣 / 蒋轶发现孤儿受体 GPR119 内源性配体的分子机制
糖尿病、脂肪肝和肥胖症等代谢性疾病已经成为影响人类健康的一大「杀手」,研究显示一些孤儿受体可能成为治疗这些疾病的重要靶点。 GPR119 又被称为葡萄糖依赖的促胰岛素受体(Glucose-dependent insulinotropic receptor),是 G 蛋白偶联受体(GPCR)超家族中的一种孤儿受体。由于其在糖代谢调控中的作用,GPR119 被认为是一种治疗糖尿病、脂肪肝和肥胖症等代谢性疾病的潜在药物靶点。GPR119 主要分布在胰岛 β 细胞和胃肠道 L 细胞,调节葡萄糖依赖
Historically, the G protein-coupled receptor (GPCR) protein family has proven to be an extremely tractable target class (1 ). It is estimated that approximately one-half of all drugs currently marketed exert their actions, either directly
:BioRxiv根据论文,研究人员开发了一种半自动筛选工具 Seek & Blastn 来对论文中所用核苷酸试剂的序列进行检查,共计检查了 11799 篇出版物,在 78 种期刊中确定了 712 篇论文,这些论文描述了至少一个被识别出存在错误的核苷酸序列。在这项研究中,研究者将论文分为5个语料库(SGK、miR-145、Cisplatin + Gemcitabine、Gene 和 Oncology Reports),针对 17 个人类基因(ADAM8、ANXA1、EAG1、GPR137、ICT1、KLF
技术资料暂无技术资料 索取技术资料










