相关产品推荐更多 >
万千商家帮你免费找货
0 人在求购买到急需产品
- 详细信息
- 文献和实验
- 技术资料
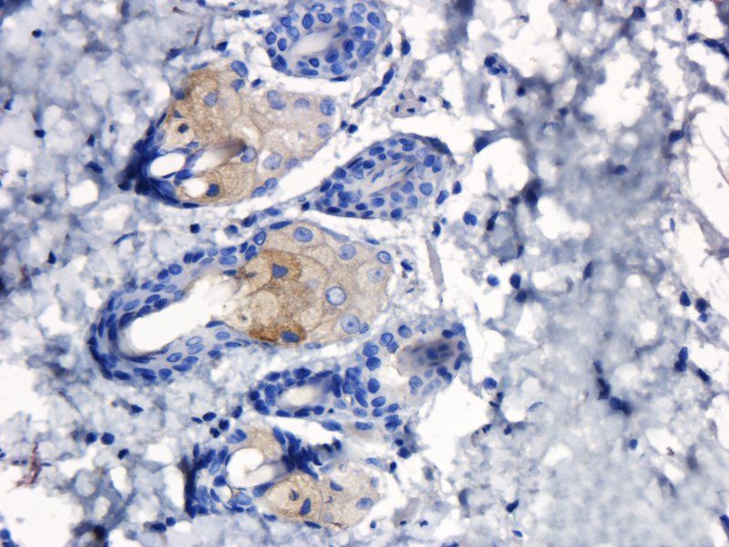
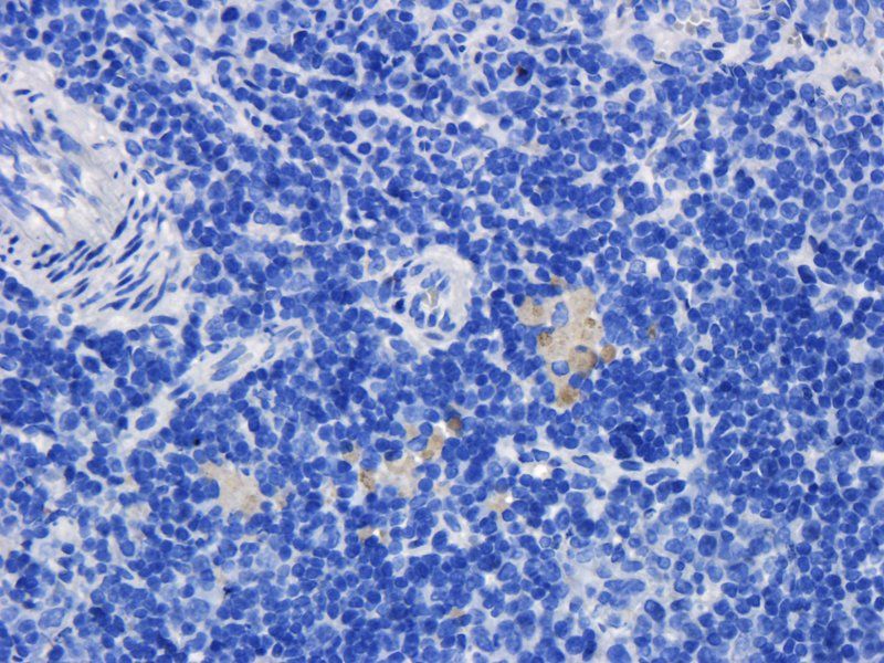
- 抗体名:
TLR2 antibody抗体
- 抗体英文名:
TLR2 antibody
- 靶点:
TLR2
- 浓度:
- 100 μg (in 200 μl): 0.5 mg/ml- 200 μg (in 400 μl): 0.5 mg/ml
- 应用范围:
ELISA, ICC, IF, IHC-P, WB
- 宿主:
Rabbit
- 保质期:
6-12个月
- 抗原来源:
详询
- 目录编号:
orb191498
- 级别:
科研级
- 库存:
88
- 供应商:
biorbyt
- 标记物:
Unconjugated
- 克隆性:
Polyclonal
- 形态:
10 mM PBS, 0.02% sodium azide
- 亚型:
IgG
- 免疫原:
KLH conjugated synthetic peptide derived from human TLR2. Please contact us for the exact immunogen sequence. The peptide is available as orb374826.
- 规格:
100 ug
别名:anti-CD282 antibody, anti-CD282 antigen antibody, anti-TIL4 antibody, anti-TLR2 antibody, anti-Toll like receptor 2 antibody, anti-Toll like receptor 2 precursor antibody, anti-Toll/interleukin 1 receptor like 4 antibody, anti-Toll/interleukin 1 receptor like protein 4 antibody, anti-Toll/interleukin receptor like protein 4 antibody
免疫原:KLH conjugated synthetic peptide derived from human TLR2. Please contact us for the exact 免疫原 sequence. The peptide is available as orb374826.
分子量:90 kDa
应用稀释比例:IHC-P: 1:100, WB: 1:500, IF/ICC: 1:100
纯度:Polyclonal antibodies are purified by peptide affinity chromatography
保存说明:Maintain refrigerated at 2-8°C for up to 2 weeks. For long term storage store at -20°C in small aliquots to prevent freeze-thaw cycles.
Pubmed:29274459, 31501473, 37217531
NCBI:003264, 003255, 21, 31
Entrez:7097
UniProt ID:O60603, E9PTD9, Q9QUN7
Note:For research use only.










风险提示:丁香通仅作为第三方平台,为商家信息发布提供平台空间。用户咨询产品时请注意保护个人信息及财产安全,合理判断,谨慎选购商品,商家和用户对交易行为负责。对于医疗器械类产品,请先查证核实企业经营资质和医疗器械产品注册证情况。
文献和实验人toll 样受体 2(TLR2) 酶联免疫 分析 试剂 盒使用说明书 本试剂仅供研究使用 目的:本试剂盒用于测定人血清,细胞上清及相关液体样本中 toll样受体2(TLR2) 的含量。 实验原理 : 本试剂盒应用双抗体夹心法测定 标本 中 人 toll样受体2(TLR2) 水平。用纯化的 人 toll样受体2(TLR2) 抗体包被微孔板,制成固相抗体,往包被单抗的微孔中依次加入 toll样受体2(TLR2) ,再与HRP
小鼠toll 样受体 2(TLR2) 酶联免疫 分析 试剂 盒使用说明书 本试剂仅供研究使用 目的:本试剂盒用于测定小鼠血清,细胞上清及相关液体样本中 toll样受体2(TLR2) 的含量。 实验原理 : 本试剂盒应用双抗体夹心法测定 标本 中 小鼠 toll样受体2(TLR2) 水平。用纯化的 小鼠 toll样受体2(TLR2) 抗体包被微孔板,制成固相抗体,往包被单抗的微孔中依次加入 toll样受体2(TLR2) ,再与HRP 标记
【进展|热点】TLR1/TLR2 Agonist Induces Tumor Regression by Reciprocal Modulation of Effector and Regulator
肿瘤效应,不是通过直接作用于固有免疫系统或抗原提呈细胞,而是通过抑制调节性T淋巴细胞功能,进而促进杀伤性T淋巴细胞的活性。该研究成果为转化医学及免疫‘生物治疗’奠定了坚实的基础。 The Journal of Immunology doi: 10.4049/jimmunol.1002320 TLR1/TLR2 Agonist Induces Tumor Regression by Reciprocal Modulation of Effector and Regulatory T
技术资料暂无技术资料 索取技术资料










