相关产品推荐更多 >
万千商家帮你免费找货
0 人在求购买到急需产品
- 详细信息
- 文献和实验
- 技术资料
- 免疫原:
Peptide with sequence SQRPSRCSNPTPGP, from the C Terminus of the protein sequence according to NP_054728.2; NP_001107849.1.
- 亚型:
IgG
- 形态:
Liquid
- 保存条件:
Store as concentrated solution. Centrifuge briefly prior to opening vial. For short-term storage (1-2 weeks), store at 4ºC. For long-term storage, aliquot and store at -20ºC or below. Avoid multiple freeze-thaw cycles.
- 克隆性:
Polyclonal
- 标记物:
Unconjugated
- 适应物种:
Human
- 保质期:
12 months from the shipping date of the product.
- 抗原来源:
Human
- 目录编号:
GTX89934
- 级别:
Primary Antibodies
- 库存:
Available
- 供应商:
GeneTex
- 宿主:
Goat
- 应用范围:
WB, ICC/IF, IHC-P, FACS
- 浓度:
0.50 mg/ml (Please refer to the vial label for the specific concentration.)
- 靶点:
This antibody is expected to recognize both reported isoforms (NP_054728.2 and NP_001107849.1)
- 抗体英文名:
FOXP3 antibody, C-term
- 抗体名:
FOXP3 抗体, C-term
- 规格:
100 μg
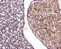
IHC-P analysis of human tonsil using GTX89934 FOXP3 antibody, C-term.
Antigen retrieval : Tris/EDTA buffer pH 9
Dilution : 1μg/ml
A) Nuclear staining of scattered cells in the interfollicular area. B) High magnification of positive cells.
ICC/IF analysis of PFA fixed U2OS cells using GTX89934 FOXP3 antibody, C-term.
Green : Primary antibody
Blue : DAPI
Negative control : Unimmunized goat IgG
Permeabilization : 0.15% Triton
Dilution : 10μg/ml
FACS analysis of PFA fixed Jurkat cells using GTX89934 FOXP3 antibody, C-term.
Blue : Primary antibody
Black : Isotype control
Permeabilization : 0.5% Triton
Dilution : 10μg/ml
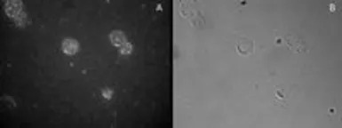
ICC/IF analysis of CD25-sorted (Treg) human blood cells using GTX89934 FOXP3 antibody, C-term.
A: Primary antibody and FITC conjigated secondary antibody, B: Phase contrast.
WB analysis of human muscle (A), Molt-4 (B) and negative control pancreas (C) lysate using GTX89934 FOXP3 antibody, C-term.
Dilution : 1μg/ml
Loading : 35μg protein in RIPA buffer
风险提示:丁香通仅作为第三方平台,为商家信息发布提供平台空间。用户咨询产品时请注意保护个人信息及财产安全,合理判断,谨慎选购商品,商家和用户对交易行为负责。对于医疗器械类产品,请先查证核实企业经营资质和医疗器械产品注册证情况。
文献和实验人Foxp3 ( Foxp3 )ELISA 试剂盒 原理 本实验采用双抗体夹心 ABC-ELISA 法。用抗人 Foxp3 单抗包被于酶标板上,标准品和样品中的 Foxp3与单抗结合,加入生物素化的抗人 Foxp3 ,形成免疫复合物连接在板上,辣根过氧化物酶标记的 Streptavidin 与生物素结合,加入底物工作液显蓝色,最后加终止液硫酸,在 450nm 处测 OD 值,Foxp3 浓度与 OD 值
于研究。 性能参数 LIST OF ANTBODY PRODUCTS AP8401a BDP1 N-term Antibody AP8408b MEG2 C-term Antibody AP8451b PPP3CA C-term Antibody AP8449b CTDSP1 C-term Antibody AP8408a MEG2 N-term Antibody AP8451a PPP3CA N-term Antibody AP8449
Intracellular Immunofluorescent Staining for Flow Cytometry
supernatant. [OPTIONAL] Block with 2% (2 µl) normal rat serum in 1X Permeabilization Buffer, in approximately 100 µl volume, at 4°C for 15 minutes. Without washing after blocking step, add 20 µl fluorochrome conjugated anti-human Foxp3 antibody
技术资料暂无技术资料 索取技术资料






![CD86 antibody [C86/2160R]](https://img1.dxycdn.com/2022/0328/705/0056404338969700453-14.jpg!wh200)


![PRMT5 antibody [N3C3]](https://img1.dxycdn.com/2022/0328/254/3664736785411300453-14.jpg!wh200)
