相关产品推荐更多 >
万千商家帮你免费找货
0 人在求购买到急需产品
- 详细信息
- 文献和实验
- 技术资料
- 免疫原:
Peptide with sequence C-DLFLNYSMNMQPED, from the C Terminus of the protein sequence according to NP_079141.2.
- 亚型:
IgG
- 形态:
Liquid
- 保存条件:
Store as concentrated solution. Centrifuge briefly prior to opening vial. For short-term storage (1-2 weeks), store at 4ºC. For long-term storage, aliquot and store at -20ºC or below. Avoid multiple freeze-thaw cycles.
- 克隆性:
Polyclonal
- 标记物:
Unconjugated
- 适应物种:
Human
- 保质期:
12 months from the shipping date of the product.
- 抗原来源:
Human
- 目录编号:
GTX89079
- 级别:
Primary Antibodies
- 库存:
Available
- 供应商:
GeneTex
- 宿主:
Goat
- 应用范围:
WB, IHC-P, ELISA, Sandwich ELISA
- 浓度:
0.50 mg/ml (Please refer to the vial label for the specific concentration.)
- 靶点:
Nanog
- 抗体英文名:
Nanog antibody, C-term
- 抗体名:
Nanog 抗体, C-term
- 规格:
100 μg
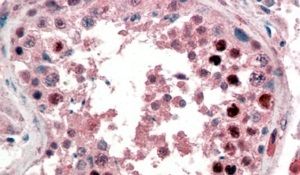
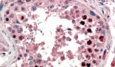
IHC-P analysis of human testis using GTX89079 Nanog antibody, C-term.
Antigen retrieval : citrate buffer pH 6
Dilution : 2μg/ml
ELISA analysis of Nanog protein using GTX89079 Nanog antibody, C-term.
Capture : GTX100863 (5μg/ml)
Detection : GTX89079 (5μg/ml)
WB analysis of HeLa nuclear lysate using GTX89079 Nanog antibody, C-term.
Dilution : 0.05μg/ml
Loading : 35μg protein in RIPA buffer
风险提示:丁香通仅作为第三方平台,为商家信息发布提供平台空间。用户咨询产品时请注意保护个人信息及财产安全,合理判断,谨慎选购商品,商家和用户对交易行为负责。对于医疗器械类产品,请先查证核实企业经营资质和医疗器械产品注册证情况。
文献和实验于研究。 性能参数 LIST OF ANTBODY PRODUCTS AP8401a BDP1 N-term Antibody AP8408b MEG2 C-term Antibody AP8451b PPP3CA C-term Antibody AP8449b CTDSP1 C-term Antibody AP8408a MEG2 N-term Antibody AP8451a PPP3CA N-term Antibody AP8449
Preparation of Defined Human Embryonic Stem Cell Populations for Transcriptional Profiling
9 (TG30) monoclonal antibody (Millipore, cat. no. MAB4427) Mouse anti‐GCTM2 monoclonal antibody (0.4 mg/ml; kind gift from Martin Pera)—a commercially available alternative, which detects
Array‐Based High‐Throughput Screening in Mouse Embryonic Stem Cells with shRNAs
0.1% (v/v) Triton X‐100 in PBS Primary antibody Bovine serum albumin or serum corresponding to the species
技术资料暂无技术资料 索取技术资料











