相关产品推荐更多 >
万千商家帮你免费找货
0 人在求购买到急需产品
- 详细信息
- 文献和实验
- 技术资料
- 免疫原:
Peptide with sequence C-STNSDDVRDEKVK, from the internal region of the protein sequence according to NP_000393.4 ; NP_001035810.1.
- 亚型:
IgG
- 形态:
Liquid
- 保存条件:
Store as concentrated solution. Centrifuge briefly prior to opening vial. For short-term storage (1-2 weeks), store at 4ºC. For long-term storage, aliquot and store at -20ºC or below. Avoid multiple freeze-thaw cycles.
- 克隆性:
Polyclonal
- 标记物:
Unconjugated
- 适应物种:
Human
- 保质期:
12 months from the shipping date of the product.
- 抗原来源:
Human
- 目录编号:
GTX89057
- 级别:
Primary Antibodies
- 库存:
Available
- 供应商:
GeneTex
- 宿主:
Goat
- 应用范围:
WB, IHC-P, ELISA, Sandwich ELISA
- 浓度:
0.50 mg/ml (Please refer to the vial label for the specific concentration.)
- 靶点:
This antibody is expected to recognise both reported isoforms (NP_000393.4 and NP_001035810.1).
- 抗体英文名:
G6PD (aa 308 - 320) antibody, Internal
- 抗体名:
G6PD (aa 308 - 320) 抗体, Internal
- 规格:
100 μg
WB analysis of human testis lysate using GTX89057 G6PD (aa 308 - 320) antibody, Internal.
Dilution : 0.03μg/ml
Loading : 35μg protein in RIPA buffer
ELISA analysis of G6PD protein using GTX89057 G6PD (aa 308 - 320) antibody, Internal.
Capture : GTX113186 (5μg/ml)
Detection : GTX89057 (5μg/ml)
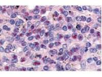
IHC-P analysis of human testis using GTX89057 G6PD (aa 308 - 320) antibody, Internal.
Antigen retrieval : citrate buffer pH 6
Dilution : 2.5μg/ml
风险提示:丁香通仅作为第三方平台,为商家信息发布提供平台空间。用户咨询产品时请注意保护个人信息及财产安全,合理判断,谨慎选购商品,商家和用户对交易行为负责。对于医疗器械类产品,请先查证核实企业经营资质和医疗器械产品注册证情况。
文献和实验人血小板衍化生长因子AA(PDGF-AA)ELISA试剂盒 说明书
上海西唐生物科技有限公司 021-55229872, 65333639 www.westang.com 人血小板衍化生长因子AA (PDGF-AA)ELISA 试剂盒 ( 用于血清、血浆、细胞培养上清液和其它生物体液内 ) 原理 本实验采用双抗体夹心 ABC-ELISA 法。用抗人 PDGF-AA 单抗包被于酶标板上,标准品和样品中的 PDGF-AA与单抗结合,加入生物
Preparation and Assay of Acetylcholinesterase Antibody
structures mimicking external antigen results from the fact that the conformation of some of the anti-idiotypic antibodies may be complementary to the three-dimensional structure of the binding site of the first antibody, and therefore, represents
上海西唐生物科技有限公司 021-55229872, 65333639 www.westang.com 人花生四烯酸 (AA)ELISA 试剂盒 ( 用于血清、血浆、细胞培养上清液和其它生物体液内 ) 原理 本实验采用双抗体夹心 ABC-ELISA 法。用抗人 AA 单抗包被于酶标板上,标准品和样品中的 AA 与单抗结合,加入生物素化的抗人 AA ,形成免疫复合物连接在板上,辣根
技术资料暂无技术资料 索取技术资料





![Nitrotyrosine antibody [39B6]](https://img1.dxycdn.com/2022/0328/119/4541572025904400453-14.jpg!wh200)


![Glycophorin A antibody [HIR2]](https://img1.dxycdn.com/2022/0329/000/1776983317644020453-14.jpg!wh200)

