相关产品推荐更多 >
万千商家帮你免费找货
0 人在求购买到急需产品
- 详细信息
- 文献和实验
- 技术资料
- 免疫原:
The antiserum was produced against synthesized peptide derived from human Histone H2BK12ac (8-59).
- 亚型:
IgG
- 形态:
Liquid
- 保存条件:
Store as concentrated solution. Centrifuge briefly prior to opening vial. For short-term storage (1-2 weeks), store at 4ºC. For long-term storage, aliquot and store at -20ºC or below. Avoid multiple freeze-thaw cycles.
- 克隆性:
Polyclonal
- 标记物:
Unconjugated
- 适应物种:
Human, Monkey
- 保质期:
12 months from the shipping date of the product.
- 抗原来源:
Human
- 目录编号:
GTX88011
- 级别:
Primary Antibodies
- 库存:
Available
- 供应商:
GeneTex
- 宿主:
Rabbit
- 应用范围:
WB, ICC/IF, IHC-P
- 浓度:
Batch dependent (Please refer to the vial label for the specific concentration.)
- 靶点:
Histone H2BK12ac (acetyl Lys12)
- 抗体英文名:
Histone H2BK12ac (acetyl Lys12) antibody
- 抗体名:
Histone H2BK12ac (acetyl Lys12) 抗体
- 规格:
100 μg
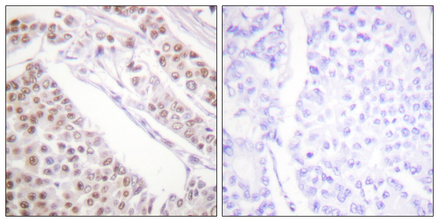
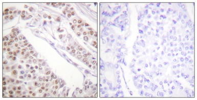
IHC-P analysis of human lung carcinoma tissue using GTX88011 Histone H2BK12ac (acetyl Lys12) antibody. The picture on the right is blocked with the synthesized peptide.
WB analysis of COS7 cells treated with TSA 400nM (24h) lysate using GTX88011 Histone H2BK12ac (acetyl Lys12) antibody. The lane on the right is blocked with the synthesized peptide.
ICC/IF analysis of HeLa cells using GTX88011 Histone H2BK12ac (acetyl Lys12) antibody. The picture on the right is blocked with the synthesized peptide.
风险提示:丁香通仅作为第三方平台,为商家信息发布提供平台空间。用户咨询产品时请注意保护个人信息及财产安全,合理判断,谨慎选购商品,商家和用户对交易行为负责。对于医疗器械类产品,请先查证核实企业经营资质和医疗器械产品注册证情况。
文献和实验15389094922 15129202416 029-85264243 DZJ-221 AC12V 1A A11K 中间继电器 15389094922 15129202416 029-85264243 通过国家质量监督检验合格。 名牌产品电话:029-85239494 我公司是全国大型电器集团之一对外设计加工。 全球市场合作:029-85230751-806 国内传真
:https://www.ebi.ac.uk/ 12、Figshare、Zenodo 数据平台 图片来源:网页截图 图片来源:网页截图 它们是类似 Dryad 的开放数据存储网站,目前相对来说用的不是很多,不需要注册申请,直接在平台上查询下载使用即可。 网址:https://figshare.com/、https://zenodo.org/ 丁香科研精品技能课 1 分钱学 内含外泌体、SCI 写作、文献检索 综述指导教学等海量科研课👇👇👇
Histone Deacetylase Activity Assay
Histone deacetylases (HDACs) are enzymes that catalyze the removal of acetyl groups from the ɛ-amino groups of conserved lysine residues in the amino terminal tail of histones. In humans, there are 18 potential deacetylase enzymes
技术资料暂无技术资料 索取技术资料






![SLC1A5 antibody [HL1617]](https://img1.dxycdn.com/2023/0605/696/8809004931321755661-14.jpg!wh200)
![Prostaglandin E Receptor EP2 antibody [GT1308]](https://img1.dxycdn.com/2022/0328/915/6535858889140800453-14.jpg!wh200)

![eNOS (phospho Ser1177) antibody [BDI250]](https://img1.dxycdn.com/2022/0328/073/2576206382234400453-14.jpg!wh200)

