相关产品推荐更多 >
万千商家帮你免费找货
0 人在求购买到急需产品
- 详细信息
- 文献和实验
- 技术资料
- 免疫原:
The antiserum was produced against synthesized peptide derived from human hnRNP L (61-110).
- 亚型:
IgG
- 形态:
Liquid
- 保存条件:
Store as concentrated solution. Centrifuge briefly prior to opening vial. For short-term storage (1-2 weeks), store at 4ºC. For long-term storage, aliquot and store at -20ºC or below. Avoid multiple freeze-thaw cycles.
- 克隆性:
Polyclonal
- 标记物:
Unconjugated
- 适应物种:
Human
- 保质期:
12 months from the shipping date of the product.
- 抗原来源:
Human
- 目录编号:
GTX87723
- 级别:
Primary Antibodies
- 库存:
Available
- 供应商:
GeneTex
- 宿主:
Rabbit
- 应用范围:
WB, ICC/IF, IHC-P
- 浓度:
Batch dependent (Please refer to the vial label for the specific concentration.)
- 靶点:
hnRNP L
- 抗体英文名:
hnRNP L antibody
- 抗体名:
hnRNP L 抗体
- 规格:
100 μg
ICC/IF analysis of HeLa cells using GTX87723 hnRNP L antibody. The picture on the right is blocked with the synthesized peptide.
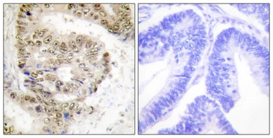
IHC-P analysis of human colon carcinoma tissue using GTX87723 hnRNP L antibody. The picture on the right is blocked with the synthesized peptide.
WB analysis of HeLa, Jurkat, and HUVEC cell lysates using GTX87723 hnRNP L antibody. The lane on the right is blocked with the synthesized peptide.
风险提示:丁香通仅作为第三方平台,为商家信息发布提供平台空间。用户咨询产品时请注意保护个人信息及财产安全,合理判断,谨慎选购商品,商家和用户对交易行为负责。对于医疗器械类产品,请先查证核实企业经营资质和医疗器械产品注册证情况。
文献和实验Purification of Antibody Light Chains by Metal Affinity and Protein L Chromatography
Immobilized metal affinity chromatography (IMAC), introduced in 1975 (1 ), relies on the formation of coordinate bonds between metal ions immobilized on a suitable support and electron donor groups in proteins. A polyhistidine tag
Analysis and Purification of Antibody Fragments Using Protein A, Protein G, and Protein L
Today, monoclonal antibodies (mAbs) form the largest category of biopharmaceuticals in clinical trials and their number is expanding rapidly (DataMonitor 2007). The antibodies or functional antibody fragments are being produced in artificial
E L I S A w i t h p l a t e l e t s
for 1 hour with a 1 :1000 dilution of rat IgG2 a anti-mouse kappa chain monoclonal antibody conjugated to horse-radish peroxidase (LO-MK1 , LO/IMEX) reveal with o-phenylenediamine dihydrochloride (OPD) in revelation solution. SOLUTIONS
技术资料暂无技术资料 索取技术资料






![PTEN antibody [1B8]](https://img1.dxycdn.com/2022/0328/526/9220117805367500453-14.jpg!wh200)

![NF-H + NF-L antibody [2F11]](https://img1.dxycdn.com/2022/0328/887/3916463953408300453-14.jpg!wh200)


