相关产品推荐更多 >
万千商家帮你免费找货
0 人在求购买到急需产品
- 详细信息
- 文献和实验
- 技术资料
- 免疫原:
Full length human recombinant protein of human LDHA (NP_005557) produced in HEK293T cell.
- 亚型:
IgG1
- 形态:
Liquid
- 保存条件:
Store as concentrated solution. Centrifuge briefly prior to opening vial. For short-term storage (1-2 weeks), store at 4ºC. For long-term storage, aliquot and store at -20ºC or below. Avoid multiple freeze-thaw cycles.
- 克隆性:
Monoclonal
- 标记物:
Unconjugated
- 适应物种:
Human, Mouse, Rat, Dog, Monkey
- 保质期:
12 months from the shipping date of the product.
- 抗原来源:
Human
- 目录编号:
GTX84227
- 级别:
Primary Antibodies
- 库存:
Available
- 供应商:
GeneTex
- 宿主:
Mouse
- 应用范围:
WB, IHC-P, IP
- 浓度:
1 mg/ml (Please refer to the vial label for the specific concentration.)
- 靶点:
LDHA
- 抗体英文名:
LDHA antibody [2D11]
- 抗体名:
LDHA 抗体 [2D11]
- 规格:
100 μl
WB analysis of HEK293T cells transfected with LDHA plasmid (Right) or empty vector (Left) for 48 hrs using GTX84227 LDHA antibody [2D11].
Loading : 5 ug per lane
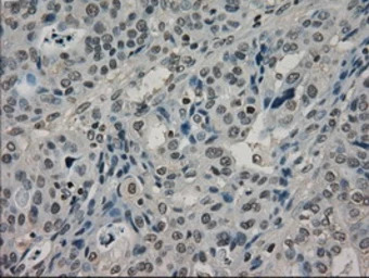
IHC-P analysis of human thyroid carcinoma tissue using GTX84227 LDHA antibody [2D11].
Antigen retrieval : Heat-induced epitope retrieval by 10mM citrate buffer, pH6.0, 100ºC for 10min.
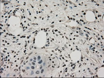
IHC-P analysis of human bladder carcinoma tissue using GTX84227 LDHA antibody [2D11].
Antigen retrieval : Heat-induced epitope retrieval by 10mM citrate buffer, pH6.0, 100ºC for 10min.
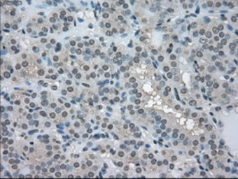
IHC-P analysis of human pancreas carcinoma tissue using GTX84227 LDHA antibody [2D11].
Antigen retrieval : Heat-induced epitope retrieval by 10mM citrate buffer, pH6.0, 100ºC for 10min.
IHC-P analysis of human endometrium adenocarcinoma tissue using GTX84227 LDHA antibody [2D11].
Antigen retrieval : Heat-induced epitope retrieval by 10mM citrate buffer, pH6.0, 100ºC for 10min.
IP analysis of DDDDK tagged LDHA overexpressed HEK293T lysate using GTX84227 LDHA antibody [2D11].After extensive wash to remove any non-specific binding, the immuno-precipitated products were analyzed with rabbit anti-DDDDK polyclonal antibody.
IP reaction : 2μg antibody / 500μl cell lysate
IHC-P analysis of human ovary adenocarcinoma tissue using GTX84227 LDHA antibody [2D11].
Antigen retrieval : Heat-induced epitope retrieval by 10mM citrate buffer, pH6.0, 100ºC for 10min.
IHC-P analysis of human breast adenocarcinoma tissue using GTX84227 LDHA antibody [2D11].
Antigen retrieval : Heat-induced epitope retrieval by 10mM citrate buffer, pH6.0, 100ºC for 10min.
WB analysis of various cell lines using GTX84227 LDHA antibody [2D11].
Loading : 35 ug per lane
Dilution : 1:200
风险提示:丁香通仅作为第三方平台,为商家信息发布提供平台空间。用户咨询产品时请注意保护个人信息及财产安全,合理判断,谨慎选购商品,商家和用户对交易行为负责。对于医疗器械类产品,请先查证核实企业经营资质和医疗器械产品注册证情况。
文献和实验[资源] 所有的看家基因(housekeeping genes)列表+引物设计服务
(GAPD), mRNA 828 *NM_000291 Homo sapiens phosphoglycerate kinase 1 (PGK1), mRNA 2727 *NM_005566 Homo sapiens lactate dehydrogenase A (LDHA), mRNA 2105 *NM_002954 Homo sapiens ribosomal protein S27a (RPS27A), mRNA 4156 *NM_000981 Homo sapiens
技术资料暂无技术资料 索取技术资料








![NKX2.1 antibody [NX2.1/690]](https://img1.dxycdn.com/2022/0328/113/5570945759560700453-14.jpg!wh200)


