相关产品推荐更多 >
万千商家帮你免费找货
0 人在求购买到急需产品
- 详细信息
- 文献和实验
- 技术资料
- 免疫原:
Full-length protein expressed in 293T cell transfected with human PROM2 expression vector
- 亚型:
IgG1
- 形态:
Liquid
- 保存条件:
Store as concentrated solution. Centrifuge briefly prior to opening vial. For short-term storage (1-2 weeks), store at 4ºC. For long-term storage, aliquot and store at -20ºC or below. Avoid multiple freeze-thaw cycles.
- 克隆性:
Monoclonal
- 标记物:
Unconjugated
- 适应物种:
Human, Mouse, Monkey
- 保质期:
12 months from the shipping date of the product.
- 抗原来源:
Human
- 目录编号:
GTX83792
- 级别:
Primary Antibodies
- 库存:
Available
- 供应商:
GeneTex
- 宿主:
Mouse
- 应用范围:
WB, ICC/IF, IHC-P
- 浓度:
0.8 mg/ml (Please refer to the vial label for the specific concentration.)
- 靶点:
PROM2
- 抗体英文名:
PROM2 antibody [14D1]
- 抗体名:
PROM2 抗体 [14D1]
- 规格:
100 μl
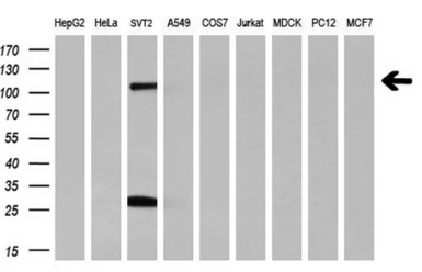
WB analysis of various cell lines using GTX83792 PROM2 antibody [14D1].
Loading : 35 ug per lane
Dilution : 1:200
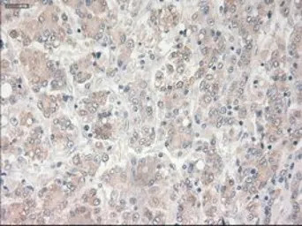
IHC-P analysis of liver carcinoma tissue using GTX83792 PROM2 antibody [14D1].
Antigen retrieval : Heat-induced epitope retrieval by 10mM citrate buffer, pH6.0, 100ºC for 10min.
Dilution : 1:50
ICC/IF analysis of COS7 cells using GTX83792 PROM2 antibody [14D1].
ICC/IF analysis of COS7 cells transiently transfected with PROM2 plasmid using GTX83792 PROM2 antibody [14D1].
WB analysis of HEK293T cells transfected with PROM2 plasmid (Right) or empty vector (Left) for 48 hrs using GTX83792 PROM2 antibody [14D1].
Loading : 5 ug per lane
风险提示:丁香通仅作为第三方平台,为商家信息发布提供平台空间。用户咨询产品时请注意保护个人信息及财产安全,合理判断,谨慎选购商品,商家和用户对交易行为负责。对于医疗器械类产品,请先查证核实企业经营资质和医疗器械产品注册证情况。
文献和实验Ziller N et al., Cells 2020 (PMID:33023010)
Intracellular Immunofluorescent Staining for Flow Cytometry
Guide Mouse Cytokines: Intracellular Staining Quick Guide Mouse Cytokine Cell Source Activation Incubation Time Restimulation Intracellular Block Antibody
此液,后每2周换一次,每次换1/2。其成分为MEM中含5%马血清,1%谷氨酰胺,及适量的支持性营养物质。 二.培养基质 常用鼠尾胶、小牛皮胶,多聚赖氨酸,再涂胶 三.消毒培养皿的备用。所有培养器皿均需清水冲洗2-3d,达两次ddH2O,每遍洗刷3-4次,加塞包装,置于烤箱中干燥消毒,于培养前1天进行。 神经细胞分散培养 (一)选材 常用胚胎动物或新生鼠神经组织。鸡胚常用胚龄6-8d,新生鼠或胎鼠(12-14d)或人胚胎。不过也有认为与组织相关。如大白鼠胚胎以19d为宜,小鼠以18
技术资料暂无技术资料 索取技术资料






![Caspase 8 antibody [EPR162]](https://img1.dxycdn.com/2022/0329/638/7307230759295020453-14.jpg!wh200)

![Mesothelioma antibody [HBME-1]](https://img1.dxycdn.com/2022/0328/902/2815419650698300453-14.jpg!wh200)
![TNFAIP3 antibody [59A426]](https://img1.dxycdn.com/2022/0328/515/7808430730092300453-14.jpg!wh200)
