相关产品推荐更多 >
万千商家帮你免费找货
0 人在求购买到急需产品
- 详细信息
- 文献和实验
- 技术资料
- 免疫原:
Full length human recombinant protein of human SPR (NP_003115) produced in HEK293T cell.
- 亚型:
IgG1
- 形态:
Liquid
- 保存条件:
Store as concentrated solution. Centrifuge briefly prior to opening vial. For short-term storage (1-2 weeks), store at 4ºC. For long-term storage, aliquot and store at -20ºC or below. Avoid multiple freeze-thaw cycles.
- 克隆性:
Monoclonal
- 标记物:
Unconjugated
- 适应物种:
Human, Monkey
- 保质期:
12 months from the shipping date of the product.
- 抗原来源:
Human
- 目录编号:
GTX83575
- 级别:
Primary Antibodies
- 库存:
Available
- 供应商:
GeneTex
- 宿主:
Mouse
- 应用范围:
WB, ICC/IF, FACS
- 浓度:
0.5 mg/ml (Please refer to the vial label for the specific concentration.)
- 靶点:
SPR
- 抗体英文名:
SPR antibody [3D6]
- 抗体名:
SPR 抗体 [3D6]
- 规格:
100 μl
ICC/IF analysis of COS7 cells transiently transfected with SPR plasmid using GTX83575 SPR antibody [3D6].
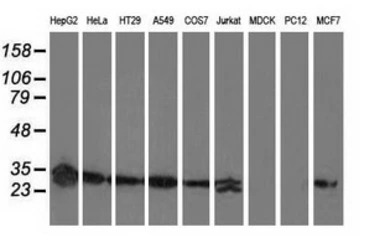
WB analysis of various cell lines using GTX83575 SPR antibody [3D6].
Loading : 35 ug per lane
FACS analysis of HeLa cells using GTX83575 SPR antibody [3D6].
Red : Primary antibody
Blue : Negative control antibody
FACS analysis of HEK293T cells transfected with either SPR plasmid(Red) or empty vector control plasmid(Blue) using GTX83575 SPR antibody [3D6].
WB analysis of HEK293T cells transfected with SPR plasmid (Right) or empty vector (Left) for 48 hrs using GTX83575 SPR antibody [3D6].
Loading : 5 ug per lane
WB analysis of wild type and SPR knock out HeLa cell lysate(10μg per lane) using GTX83575 SPR antibody [3D6].
Dilution : 1:500
风险提示:丁香通仅作为第三方平台,为商家信息发布提供平台空间。用户咨询产品时请注意保护个人信息及财产安全,合理判断,谨慎选购商品,商家和用户对交易行为负责。对于医疗器械类产品,请先查证核实企业经营资质和医疗器械产品注册证情况。
文献和实验Surface plasmon resonance (SPR) imaging technique is label free, real-time, and high-throughput analysis method for interaction studies with array format. The application of SPR imaging for the small molecule arrays, which were fabricated
Analysis of Antibody-Antigen Interactions Using Surface Plasmon Resonance
Accurate analyses of antibody specificities and affinities are critical to understanding their role in antibody-mediated neutralization of HIV-1 in vitro and their potential activity against HIV-1 in vivo. Multiple immunologic tools
Using Biacore to Measure the Binding Kinetics of an Antibody‐Antigen Interaction
phenomenon of surface plasmon resonance (SPR) used by Biacore systems enables the detection and measurement of protein?protein interactions in real time, without the use of labels. In this unit, the application of Biacore technology to measure a protein
技术资料暂无技术资料 索取技术资料





![NUF2 antibody [GT312]](https://img1.dxycdn.com/2022/0329/231/4718621853316020453-14.jpg!wh200)
![TOM1L1 antibody [C3], C-term](https://img1.dxycdn.com/2022/0328/302/3830874802046200453-14.jpg!wh200)



