相关产品推荐更多 >
万千商家帮你免费找货
0 人在求购买到急需产品
- 详细信息
- 文献和实验
- 技术资料
- 免疫原:
Recombinant fragment expressed in E.coli corresponding to amino acids 633-652 of human Stat4
- 亚型:
IgG1
- 形态:
Liquid
- 保存条件:
Store as concentrated solution. Centrifuge briefly prior to opening vial. For short-term storage (1-2 weeks), store at 4ºC. For long-term storage, aliquot and store at -20ºC or below. Avoid multiple freeze-thaw cycles.
- 克隆性:
Monoclonal
- 标记物:
Unconjugated
- 适应物种:
Human
- 保质期:
12 months from the shipping date of the product.
- 抗原来源:
Human
- 目录编号:
GTX83548
- 级别:
Primary Antibodies
- 库存:
Available
- 供应商:
GeneTex
- 宿主:
Mouse
- 应用范围:
WB, IHC-P
- 浓度:
1 mg/ml (Please refer to the vial label for the specific concentration.)
- 靶点:
STAT4
- 抗体英文名:
STAT4 antibody [2A2]
- 抗体名:
STAT4 抗体 [2A2]
- 规格:
100 μl
IHC-P analysis of lung carcinoma tissue using GTX83548 STAT4 antibody [2A2].
Antigen retrieval : Heat-induced epitope retrieval by 10mM citrate buffer, pH6.0, 100ºC for 10min.
WB analysis of HEK293T cells transfected with STAT4 plasmid (Right) or empty vector (Left) for 48 hrs using GTX83548 STAT4 antibody [2A2].
Loading : 5 ug per lane
WB analysis of HeLa cell lysate using GTX83548 STAT4 antibody [2A2].
Dilution : 1:100
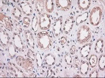
IHC-P analysis of kidney tissue using GTX83548 STAT4 antibody [2A2].
Antigen retrieval : Heat-induced epitope retrieval by 10mM citrate buffer, pH6.0, 100ºC for 10min.
风险提示:丁香通仅作为第三方平台,为商家信息发布提供平台空间。用户咨询产品时请注意保护个人信息及财产安全,合理判断,谨慎选购商品,商家和用户对交易行为负责。对于医疗器械类产品,请先查证核实企业经营资质和医疗器械产品注册证情况。
文献和实验Immunoprecipitation of PDE2 Phosphorylated and Inactivated by an Associated Protein Kinase
4 . I describe protocols for producing an antibody to an aminoterminal bacterial fusion protein encoding amino acids 1–251 of PDE2A2 as well as the use of this antibody in immunoprecipitating a PDE2:tyrosine protein-kinase complex from rat brain or PC12 cells.
技术资料暂无技术资料 索取技术资料









![NMDAR2A antibody [C1C2], Internal](https://img1.dxycdn.com/2022/0328/474/2011107899600300453-14.jpg!wh200)

