相关产品推荐更多 >
万千商家帮你免费找货
0 人在求购买到急需产品
- 详细信息
- 文献和实验
- 技术资料
- 免疫原:
Purified recombinant extracellular fragment of human TrkC (aa32-429) fused with hIgGFc tag expressed in HEK293 cells.
- 亚型:
IgG1
- 形态:
Liquid
- 保存条件:
Store as concentrated solution. Centrifuge briefly prior to opening vial. For short-term storage (1-2 weeks), store at 4ºC. For long-term storage, aliquot and store at -20ºC or below. Avoid multiple freeze-thaw cycles.
- 克隆性:
Monoclonal
- 标记物:
Unconjugated
- 适应物种:
Human
- 保质期:
12 months from the shipping date of the product.
- 抗原来源:
Human
- 目录编号:
GTX83321
- 级别:
Primary Antibodies
- 库存:
Available
- 供应商:
GeneTex
- 宿主:
Mouse
- 应用范围:
WB, IHC-P, ELISA
- 靶点:
TrkC
- 抗体英文名:
TrkC antibody [7H6]
- 抗体名:
TrkC 抗体 [7H6]
- 规格:
100 μl
WB analysis of extracellular domain of human NTRK3 (aa32-429) using GTX83321 TrkC antibody [7H6].
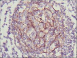
IHC-P analysis of human lymph node using GTX83321 TrkC antibody [7H6].
风险提示:丁香通仅作为第三方平台,为商家信息发布提供平台空间。用户咨询产品时请注意保护个人信息及财产安全,合理判断,谨慎选购商品,商家和用户对交易行为负责。对于医疗器械类产品,请先查证核实企业经营资质和医疗器械产品注册证情况。
文献和实验Size‐Exclusion Chromatography with On‐Line Light Scattering
., Antonsen, K.P., Hoffman, A.S., and Raff, H.V. 1994. The stabilization of a human IgM monoclonal antibody with poly(vinylpyrrolidone). Pharm. Res. 11:624‐632. Horan, T., Wen, J
技术资料暂无技术资料 索取技术资料








![Mast cell tryptase antibody [AA1]](https://img1.dxycdn.com/2022/0328/978/9534779875464500453-14.jpg!wh200)


