相关产品推荐更多 >
万千商家帮你免费找货
0 人在求购买到急需产品
- 详细信息
- 文献和实验
- 技术资料
- 免疫原:
Purified recombinant fragment of human CSF1 expressed in E. Coli.
- 亚型:
IgG1
- 形态:
Liquid
- 保存条件:
Store as concentrated solution. Centrifuge briefly prior to opening vial. For short-term storage (1-2 weeks), store at 4ºC. For long-term storage, aliquot and store at -20ºC or below. Avoid multiple freeze-thaw cycles.
- 克隆性:
Monoclonal
- 标记物:
Unconjugated
- 适应物种:
Human
- 保质期:
12 months from the shipping date of the product.
- 抗原来源:
Human
- 目录编号:
GTX83298
- 级别:
Primary Antibodies
- 库存:
Available
- 供应商:
GeneTex
- 宿主:
Mouse
- 应用范围:
WB, IHC-P, ELISA
- 靶点:
M-CSF
- 抗体英文名:
M-CSF antibody [2D10]
- 抗体名:
M-CSF 抗体 [2D10]
- 规格:
100 μl
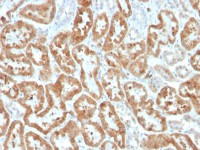
IHC-P analysis of human Placenta tissue using GTX83298 M-CSF antibody [2D10].
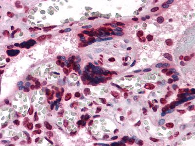
WB analysis of human recombinant CSF2(AA:18-144) (1) and CSF1/M-CSF (AA:33-496) (2) using GTX83298 M-CSF antibody [2D10].
风险提示:丁香通仅作为第三方平台,为商家信息发布提供平台空间。用户咨询产品时请注意保护个人信息及财产安全,合理判断,谨慎选购商品,商家和用户对交易行为负责。对于医疗器械类产品,请先查证核实企业经营资质和医疗器械产品注册证情况。
文献和实验人巨噬细胞集落刺激因子(M-CSF)ELISA试剂盒 说明书
上海西唐生物科技有限公司 021-55229872, 65333639 www.westang.com 人巨噬细胞集落刺激因子 (M-CSF)ELISA 试剂盒 ( 用于血清、血浆、细胞培养上清液和其它生物体液内 ) 原理 本实验采用双抗体夹心 ABC-ELISA 法。用抗人 M-CSF 单抗包被于酶标板上,标准品和样品中的 M-CSF与单抗结合,加入生物素化的抗人
小鼠巨噬细胞集落刺激因子(M-CSF)ELISA试剂盒 说明书
上海西唐生物科技有限公司 021-55229872, 65333639 www.westang.com 小鼠巨噬细胞集落刺激因子 (M-CSF)ELISA 试剂盒 ( 用于血清、血浆、细胞培养上清液和其它生物体液内 ) 原理 本实验采用双抗体夹心 ABC-ELISA 法。用抗小鼠 M-CSF 单抗包被于酶标板上,标准品和样品中的 M-CSF与单抗结合,加入生物
【申请上传】Current Protocols in Immunology
Surgical Procedures Unit 1.9 Removal of Lymphoid Organs Unit 1.10 Survival Surgery: Removal of the Spleen or Thymus Unit 1.11 Surgical Removal of Mouse Salivary Glands Chapter 2 Induction of Immune Responses Introduction Section I Assays for Antibody
技术资料暂无技术资料 索取技术资料







![TXNRD2 antibody [3F2-E12-F10]](https://img1.dxycdn.com/2022/0329/262/3033867098594020453-14.jpg!wh200)

![Chromogranin A antibody [MSVA-380R] HistoMAX](https://custom.dxycdn.com/trademd/upload/pic/2013/11/12/A1383891150.jpg!small.t.1)

