相关产品推荐更多 >
万千商家帮你免费找货
0 人在求购买到急需产品
- 详细信息
- 文献和实验
- 技术资料
- 免疫原:
Purified recombinant fragment of Lysyl-tRNA synthetase(aa90-174) expressed in E. Coli.
- 亚型:
IgG1
- 形态:
Liquid
- 保存条件:
Store as concentrated solution. Centrifuge briefly prior to opening vial. For short-term storage (1-2 weeks), store at 4ºC. For long-term storage, aliquot and store at -20ºC or below. Avoid multiple freeze-thaw cycles.
- 克隆性:
Monoclonal
- 标记物:
Unconjugated
- 适应物种:
Human
- 保质期:
12 months from the shipping date of the product.
- 抗原来源:
Human
- 目录编号:
GTX83186
- 级别:
Primary Antibodies
- 库存:
Available
- 供应商:
GeneTex
- 宿主:
Mouse
- 应用范围:
WB, IHC-P, ELISA
- 靶点:
Lysyl-tRNA synthetase
- 抗体英文名:
Lysyl-tRNA synthetase antibody [8G12C1]
- 抗体名:
Lysyl-tRNA synthetase 抗体 [8G12C1]
- 规格:
100 μl
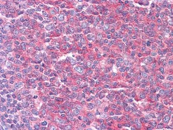
IHC-P analysis of human Tonsil tissue using GTX83186 Lysyl-tRNA synthetase antibody [8G12C1].
WB analysis of truncated Lysyl-tRNA synthetase recombinant protein (1),truncated MBPLysyl-tRNA synthetase (aa90-174) and Lysyl-tRNA synthetase (aa1-188) transfected CHO-K1 cell lysate (3) using GTX83186 Lysyl-tRNA synthetase antibody [8G12C1].
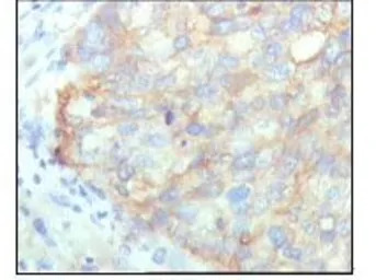
IHC-P analysis of human cervical carcinoma using GTX83186 Lysyl-tRNA synthetase antibody [8G12C1].
风险提示:丁香通仅作为第三方平台,为商家信息发布提供平台空间。用户咨询产品时请注意保护个人信息及财产安全,合理判断,谨慎选购商品,商家和用户对交易行为负责。对于医疗器械类产品,请先查证核实企业经营资质和医疗器械产品注册证情况。
文献和实验Methods to Assay Inhibitors of tRNA Synthetase Activity
could be a potential antibacterial agent. Only one aa-RS inhibitor, the Ile-RS inhibitor mupirocin, is currently marketed as an antibacterial agent. We focused on phenylalanyl (Phe)-tRNA synthetase (Phe-RS), but the described methods are not restricted to Phe-RS
酶分类的主要类别之一。为催化与 ATP等三磷酸核苷的分解伴有形成新化学键可逆反应的酶之总称。催化具有有机化学意义的合成反应,分为两个分子相加的裂解酶和移换反应的移换酶两类。所以还是将不伴随腺苷三磷酸的分解而催化合成反应的酶称为合成酶( Synthase)较为适宜。合成酶催化的反应含 ATP等基质,反应复杂, ATP分解为 ADP与正磷酸或 AMP与焦磷酸。根据生成键的种类而更分为:( 1) C-O键,例如氨酰 tRNA合成酶;( 2) C-S键,例如乙酰 CoA合成
A variety of in vivo selection and screening methods have been developed for the directed evolution of protein function. Typically, in vivo selection strategies involve the identification of new binding or catalytic functions based
技术资料暂无技术资料 索取技术资料





![Factor IX antibody [13F42-F6]](https://img1.dxycdn.com/2022/0328/639/4716475945385500453-14.jpg!wh200)




