相关产品推荐更多 >
万千商家帮你免费找货
0 人在求购买到急需产品
- 详细信息
- 技术资料
- 免疫原:
Purified recombinant fragment of EphA7 (aa27-210) expressed in E. Coli.
- 亚型:
IgG2b
- 形态:
Liquid
- 保存条件:
Store as concentrated solution. Centrifuge briefly prior to opening vial. For short-term storage (1-2 weeks), store at 4ºC. For long-term storage, aliquot and store at -20ºC or below. Avoid multiple freeze-thaw cycles.
- 克隆性:
Monoclonal
- 标记物:
Unconjugated
- 适应物种:
Human
- 保质期:
12 months from the shipping date of the product.
- 抗原来源:
Human
- 目录编号:
GTX83143
- 级别:
Primary Antibodies
- 库存:
Available
- 供应商:
GeneTex
- 宿主:
Mouse
- 应用范围:
WB, IHC-P, ELISA
- 靶点:
EphA7
- 抗体英文名:
EphA7 antibody [6C8G7]
- 抗体名:
EphA7 抗体 [6C8G7]
- 规格:
100 μl
WB analysis of truncated GST-EphA7 recombinant protein (1) and truncated EphA7 (aa25-556)-hIgGFc transfected CHOK1 cell lysate (2) using GTX83143 EphA7 antibody [6C8G7].
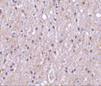
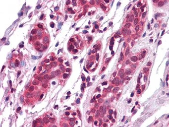
IHC-P analysis of human Breast tissue using GTX83143 EphA7 antibody [6C8G7].
风险提示:丁香通仅作为第三方平台,为商家信息发布提供平台空间。用户咨询产品时请注意保护个人信息及财产安全,合理判断,谨慎选购商品,商家和用户对交易行为负责。对于医疗器械类产品,请先查证核实企业经营资质和医疗器械产品注册证情况。
技术资料暂无技术资料 索取技术资料


![EphA7 antibody [6C8G7]](https://img1.dxycdn.com/2022/0328/068/1924292177257500453-14.jpg)


![DC-SIGN antibody [C209/1781]](https://img1.dxycdn.com/2022/0328/853/9018060383130700453-14.jpg!wh200)



![CD3 zeta antibody [C1C3]](https://img1.dxycdn.com/2022/0328/295/4238462862437200453-14.jpg!wh200)
