相关产品推荐更多 >
万千商家帮你免费找货
0 人在求购买到急需产品
- 详细信息
- 文献和实验
- 技术资料
- 免疫原:
Purified recombinant fragment of human CD276 expressed in E. Coli.
- 亚型:
IgG1
- 形态:
Liquid
- 保存条件:
Store as concentrated solution. Centrifuge briefly prior to opening vial. For short-term storage (1-2 weeks), store at 4ºC. For long-term storage, aliquot and store at -20ºC or below. Avoid multiple freeze-thaw cycles.
- 克隆性:
Monoclonal
- 标记物:
Unconjugated
- 适应物种:
Human
- 保质期:
12 months from the shipping date of the product.
- 抗原来源:
Human
- 目录编号:
GTX82773
- 级别:
Primary Antibodies
- 库存:
Available
- 供应商:
GeneTex
- 宿主:
Mouse
- 应用范围:
WB, IHC-P, FACS, ELISA
- 靶点:
CD276
- 抗体英文名:
CD276 antibody [6A1]
- 抗体名:
CD276 抗体 [6A1]
- 规格:
100 μl
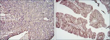
IHC-P analysis of cervical cancer tissue (left) and ovarian cancer tissue (right) using GTX82773 CD276 antibody [6A1].
WB analysis of HEK293 (1) and CD276(AA: 30-130)-hIgGFc transfected HEK293 (2) cell lysate using GTX82773 CD276 antibody [6A1].
FACS analysis of PC-3 cells using GTX82773 CD276 antibody [6A1].
Green : CD276
Purple : negative control
风险提示:丁香通仅作为第三方平台,为商家信息发布提供平台空间。用户咨询产品时请注意保护个人信息及财产安全,合理判断,谨慎选购商品,商家和用户对交易行为负责。对于医疗器械类产品,请先查证核实企业经营资质和医疗器械产品注册证情况。
文献和实验[资源] 所有的看家基因(housekeeping genes)列表+引物设计服务
1, mRNA 8138 NM_004689 Homo sapiens metastasis associated 1 (MTA1), mRNA 506 NM_001848 Homo sapiens collagen, type VI, alpha 1 (COL6A1), mRNA 757 NM_004068 Homo sapiens adaptor-related protein complex 2, mu 1 subunit (AP2M1), mRNA 2188 NM
技术资料暂无技术资料 索取技术资料










