相关产品推荐更多 >
万千商家帮你免费找货
0 人在求购买到急需产品
- 详细信息
- 文献和实验
- 技术资料
- 免疫原:
Purified recombinant fragment of human KLF4 expressed in E. Coli.
- 亚型:
IgG1
- 形态:
Liquid
- 保存条件:
Store as concentrated solution. Centrifuge briefly prior to opening vial. For short-term storage (1-2 weeks), store at 4ºC. For long-term storage, aliquot and store at -20ºC or below. Avoid multiple freeze-thaw cycles.
- 克隆性:
Monoclonal
- 标记物:
Unconjugated
- 适应物种:
Human
- 保质期:
12 months from the shipping date of the product.
- 抗原来源:
Human
- 目录编号:
GTX82771
- 级别:
Primary Antibodies
- 库存:
Available
- 供应商:
GeneTex
- 宿主:
Mouse
- 应用范围:
WB, ICC/IF, IHC-P, ELISA
- 靶点:
KLF4
- 抗体英文名:
KLF4 antibody [1E6]
- 抗体名:
KLF4 抗体 [1E6]
- 规格:
100 μl
WB analysis of HEK293 (1) and KLF4(AA: 2-180)-hIgGFc transfected HEK293 (2) cell lysate using GTX82771 KLF4 antibody [1E6].
ICC/IF analysis of ECA109 cells using GTX82771 KLF4 antibody [1E6].
Green : KLF4
Red: Actin filaments
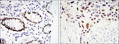
IHC-P analysis of colon cancer tissue (left) and lung cancer tissue (right) using GTX82771 KLF4 antibody [1E6].
风险提示:丁香通仅作为第三方平台,为商家信息发布提供平台空间。用户咨询产品时请注意保护个人信息及财产安全,合理判断,谨慎选购商品,商家和用户对交易行为负责。对于医疗器械类产品,请先查证核实企业经营资质和医疗器械产品注册证情况。
文献和实验secondary antibody review -- data from 99 publications
cytometry used as a control to detect cell responses targeted antigen 7 Alexa Fluor 488 7 Cy3 8 goat IgG Alexa Fluor 488 1:2000 detect antibody binding in human embryonic kidney 293T cells Invitrogen 9 donkey
medium. When cells reach confluency, freeze them ( about E6 cells per full well). Scrape them using a blue tip. Add 1 ml of IMDM-m to cells left in the well, let them grow and repeat the freezing. While the cells are growing
Expanding Hybridoma(杂交瘤细胞) Clones
the IMDM-m medium. When cells reach confluency, freeze them ( about E6 cells per full well). Scrape them using a blue tip. Add 1 ml of IMDM-m to cells left in the well, let them grow and repeat the freezing. While the cells are growing
技术资料暂无技术资料 索取技术资料










