相关产品推荐更多 >
万千商家帮你免费找货
0 人在求购买到急需产品
- 详细信息
- 文献和实验
- 技术资料
- 免疫原:
Purified recombinant fragment of human CRTC2 expressed in E. Coli.
- 亚型:
IgG1
- 形态:
Liquid
- 保存条件:
Store as concentrated solution. Centrifuge briefly prior to opening vial. For short-term storage (1-2 weeks), store at 4ºC. For long-term storage, aliquot and store at -20ºC or below. Avoid multiple freeze-thaw cycles.
- 克隆性:
Monoclonal
- 标记物:
Unconjugated
- 适应物种:
Human, Monkey
- 保质期:
12 months from the shipping date of the product.
- 抗原来源:
Human
- 目录编号:
GTX82754
- 级别:
Primary Antibodies
- 库存:
Available
- 供应商:
GeneTex
- 宿主:
Mouse
- 应用范围:
WB, ICC/IF, IHC-P, FACS, ELISA
- 靶点:
TORC2
- 抗体英文名:
TORC2 antibody [5B10]
- 抗体名:
TORC2 抗体 [5B10]
- 规格:
100 μl
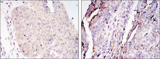
IHC-P analysis of ovary tumour tissue (left) and lung cancer (right) using GTX82754 TORC2 antibody [5B10].
WB analysis of HeLa (1) and HEK293 (2) cell lysate using GTX82754 TORC2 antibody [5B10].
FACS analysis of HeLa cells using GTX82754 TORC2 antibody [5B10].
Green : TORC2
Purple : negative control
ICC/IF analysis of HeLa cells using GTX82754 TORC2 antibody [5B10].
Green : TORC2
Blue: DRAQ5 fluorescent DNA dye
Red: Actin filaments
风险提示:丁香通仅作为第三方平台,为商家信息发布提供平台空间。用户咨询产品时请注意保护个人信息及财产安全,合理判断,谨慎选购商品,商家和用户对交易行为负责。对于医疗器械类产品,请先查证核实企业经营资质和医疗器械产品注册证情况。
文献和实验secondary antibody review -- data from 99 publications
cytometry used as a control to detect cell responses targeted antigen 7 Alexa Fluor 488 7 Cy3 8 goat IgG Alexa Fluor 488 1:2000 detect antibody binding in human embryonic kidney 293T cells Invitrogen 9 donkey
(1 ). In our laboratory, we have developed methods to immortalize specific antibody-producing cells by fusing secreting EBV-activated lymphocytes to mouse-human heteromyeloma cell lines with electrofusion, followed by cloning (2 ). This methodology has allowed
技术资料暂无技术资料 索取技术资料






![CD19 antibody [LT19] (PE)](https://img1.dxycdn.com/2022/0328/338/2857117545428300453-14.jpg!wh200)
![CD160 antibody [BY55] (Azide free)](https://img1.dxycdn.com/2022/0328/621/4762166255424400453-14.jpg!wh200)
![AKT (phospho Ser473) antibody [104A282]](https://img1.dxycdn.com/2022/0328/866/1902040871982300453-14.jpg!wh200)
![BNP antibody [24C5]](https://custom.dxycdn.com/trademd/upload/pic/2013/11/12/A1383891150.jpg!small.t.1)
