相关产品推荐更多 >
万千商家帮你免费找货
0 人在求购买到急需产品
- 详细信息
- 文献和实验
- 技术资料
- 免疫原:
KLH conjugated synthetic peptide between 135-163 amino acids from the Central region of human ATP5B.
- 亚型:
IgG
- 形态:
Liquid
- 保存条件:
Store as concentrated solution. Centrifuge briefly prior to opening vial. For short-term storage (1-2 weeks), store at 4ºC. For long-term storage, aliquot and store at -20ºC or below. Avoid multiple freeze-thaw cycles.
- 克隆性:
Polyclonal
- 标记物:
Unconjugated
- 适应物种:
Human
- 保质期:
12 months from the shipping date of the product.
- 抗原来源:
Human
- 目录编号:
GTX81939
- 级别:
Primary Antibodies
- 库存:
Available
- 供应商:
GeneTex
- 宿主:
Rabbit
- 应用范围:
WB, ICC/IF, IHC-P, FACS
- 浓度:
Batch dependent (Please refer to the vial label for the specific concentration.)
- 靶点:
ATP5B
- 抗体英文名:
ATP5B antibody, Internal
- 抗体名:
ATP5B 抗体, Internal
- 规格:
400 μl
IHC-P analysis of human brain tissue using GTX81939 ATP5B antibody, Internal.
FACS analysis of WiDr cells using GTX81939 ATP5B antibody, Internal.
Green : primary antibody
Blue : negative control
IHC-P analysis of human liver tissue using GTX81939 ATP5B antibody, Internal.
Dilution : 1:25
WB analysis of WiDr cell lysate using GTX81939 ATP5B antibody, Internal.
Lane 1 : pre-incubated without blocking peptide
Lane 2 : pre-incubate with blocking peptide
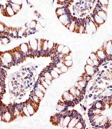
IHC-P analysis of human small intestine using GTX81939 ATP5B antibody, Internal.
Dilution : 1:25
WB analysis of 293 cell lysate (2 ug/lane) either nontransfected (Lane 1) or transiently transfected with the ATP5B (Lane 2) using GTX81939 ATP5B antibody, Internal.
ICC/IF analysis of SK-Br-3 cells using GTX81939 ATP5B antibody, Internal.
Green : ATP5B
Blue : DAPI
Dilution : 1:25
风险提示:丁香通仅作为第三方平台,为商家信息发布提供平台空间。用户咨询产品时请注意保护个人信息及财产安全,合理判断,谨慎选购商品,商家和用户对交易行为负责。对于医疗器械类产品,请先查证核实企业经营资质和医疗器械产品注册证情况。
文献和实验Preparation and Assay of Acetylcholinesterase Antibody
structures mimicking external antigen results from the fact that the conformation of some of the anti-idiotypic antibodies may be complementary to the three-dimensional structure of the binding site of the first antibody, and therefore, represents
Protocol for anti-HA antibody Western Blotting
film for ~2 mins. Notes on the primary antibody: Source : Covance/Babco Description: Crude ascites fluid monoclonal anti-HA antibody (CATLN#135032002, 11mms-101R, 0.5 ml) Handling: Aliquoted into 10ul portions in -20℃ Internal notes: labelled anti
Analysis of Antibody-Antigen Interactions Using Surface Plasmon Resonance
Accurate analyses of antibody specificities and affinities are critical to understanding their role in antibody-mediated neutralization of HIV-1 in vitro and their potential activity against HIV-1 in vivo. Multiple immunologic tools
技术资料暂无技术资料 索取技术资料











