相关产品推荐更多 >
万千商家帮你免费找货
0 人在求购买到急需产品
- 详细信息
- 技术资料
- 免疫原:
KLH conjugated synthetic peptide between 1-30 amino acids from the N-terminal region of human EN1 (Engrailed 1).
- 亚型:
IgG
- 形态:
Liquid
- 保存条件:
Store as concentrated solution. Centrifuge briefly prior to opening vial. For short-term storage (1-2 weeks), store at 4ºC. For long-term storage, aliquot and store at -20ºC or below. Avoid multiple freeze-thaw cycles.
- 克隆性:
Polyclonal
- 标记物:
Unconjugated
- 适应物种:
Human
- 保质期:
12 months from the shipping date of the product.
- 抗原来源:
Human
- 目录编号:
GTX81554
- 级别:
Primary Antibodies
- 库存:
Available
- 供应商:
GeneTex
- 宿主:
Rabbit
- 应用范围:
WB, ICC/IF, IHC-P
- 浓度:
Batch dependent (Please refer to the vial label for the specific concentration.)
- 靶点:
EN1
- 抗体英文名:
EN1 antibody, N-term
- 抗体名:
EN1 抗体, N-term
- 规格:
200 μl
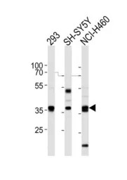
WB analysis of 293, SH-SY5Y, NCI-H460 cell using GTX81554 EN1 antibody, N-term.
Loading : 20ug per lane
Dilution : 1:1000
WB analysis of various samples using GTX81554 EN1 antibody, N-term.
Lane 1: human fetal brain lysate
Lane 2: SH-SY5Y whole cell lysate
Loading : 20 μg per lane
Dilution : 1:1000
WB analysis of various samples using GTX81554 EN1 antibody, N-term.
Lane 1: U-2OS whole cell lysate
Lane 2: HepG2 whole cell lysate
Loading : 20 μg per lane
Dilution : 1:1000
WB analysis of various samples using GTX81554 EN1 antibody, N-term.
Lane 1: U-2OS whole cell lysate
Lane 2: U87-MG whole cell lysate
Lane 3: SH-SY5Y whole cell lysate
Lane 4: 293T/17 whole cell lysate
Lane 5: PC-3 whole cell lysate
Loading : 20 μg per lane
Dilution : 1:2000
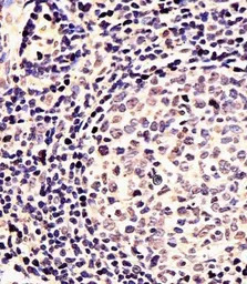
IHC-P analysis of human tonsil using GTX81554 EN1 antibody, N-term.
Antigen retrieval : heat-induced antigen retrieval with citrate buffer (pH6)
Dilution : 1:25
ICC/IF analysis of U-2 OS cells using GTX81554 EN1 antibody, N-term.
Green : EN1
Red : Actin filament
Fixation : 4% PFA (PFA)
Permeabilization : Triton X-100 (0.1%, 10 min)
Dilution : 1:25
WB analysis of various samples using GTX81554 EN1 antibody, N-term. Lane 1: NCI-H460 whole cell lysates Lane 2: SH-SY5Y whole cell lysates Lane 3: PC-3 whole cell lysates Lane 4: Jurkat whole cell lysates Lane 5: 293T whole cell lysates
Loading : 20 μg per lane
Dilution : 1:2000
风险提示:丁香通仅作为第三方平台,为商家信息发布提供平台空间。用户咨询产品时请注意保护个人信息及财产安全,合理判断,谨慎选购商品,商家和用户对交易行为负责。对于医疗器械类产品,请先查证核实企业经营资质和医疗器械产品注册证情况。
技术资料暂无技术资料 索取技术资料







![CD22 antibody [S-HCL-1] (PE)](https://img1.dxycdn.com/2022/0328/274/8841508741389700453-14.jpg!wh200)


