相关产品推荐更多 >
万千商家帮你免费找货
0 人在求购买到急需产品
- 详细信息
- 技术资料
- 免疫原:
Recombinant fusion protein GST-VRK1.
- 亚型:
IgG1
- 形态:
Liquid
- 保存条件:
Store as concentrated solution. Centrifuge briefly prior to opening vial. Store at 4ºC.
- 克隆性:
Monoclonal
- 标记物:
Unconjugated
- 适应物种:
Human, Mouse
- 保质期:
12 months from the shipping date of the product.
- 抗原来源:
Human
- 目录编号:
GTX79470
- 级别:
Primary Antibodies
- 库存:
Available
- 供应商:
GeneTex
- 宿主:
Mouse
- 应用范围:
WB, ICC/IF, IHC-P, IHC
- 浓度:
Batch dependent (Please refer to the vial label for the specific concentration.)
- 靶点:
VRK1
- 抗体英文名:
VRK1 antibody [1F6]
- 抗体名:
VRK1 抗体 [1F6]
- 规格:
100 μg
ICC/IF analysis of HeLa cells using GTX79470 VRK1 antibody [1F6]. Panel e is a no primary antibody control.
Green : Primary antibody
Blue : Nuclei
Red : Actin
Fixation : 4% PFA
Permeabilization : 0.1% Triton X-100 for 10 minute
Dilution : 1:100 dilution in 0.1% BSA and incubated for 3 hours at room temperature
ICC/IF analysis of U251 cells using GTX79470 VRK1 antibody [1F6]. Cells were probed without (left) or with(right) an antibody.
Green : Primary antibody
Blue : Nuclei
Red : Actin
Fixation : formaldehyde
Dilution : 1:200 overnight at 4ºC
ICC/IF analysis of murine cells using GTX79470 VRK1 antibody [1F6].
Green : Primary antibody
Blue : Nuclei
Red : Actin
Fixation : formaldehyde
Dilution : 1:200 overnight at 4ºC
ICC/IF analysis of HeLa cells using GTX79470 VRK1 antibody [1F6]. Cells were probed without (left) or with(right) an antibody.
Green : Primary antibody
Blue : Nuclei
Red : Actin
Fixation : formaldehyde
Dilution : 1:200 overnight at 4ºC
ICC/IF analysis of HeLa cells using GTX79470 VRK1 antibody [1F6].
Fixation : Formalin
Permeabilization : 0.1% Triton X-100 in TBS for 10 minutes
Dilution : 1:100 for at least 1 hour at room temperature
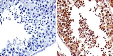
IHC-P analysis of human testis tissue using GTX79470 VRK1 antibody [1F6].
Right : Primary antibody
Left : Negative control without primary antibody
Antigen retrieval : heat induced antigen retrieval was performed using 10mM sodium citrate (pH 6.0) buffer microwaved for 8-15 minutes
Dilution : 1:200
IHC-P analysis of human liver tissue using GTX79470 VRK1 antibody [1F6].
Right : Primary antibody
Left : Negative control without primary antibody
Antigen retrieval : heat induced antigen retrieval was performed using 10mM sodium citrate (pH 6.0) buffer microwaved for 8-15 minutes
Dilution : 1:200
IHC-P analysis of human tonsil tissue using GTX79470 VRK1 antibody [1F6].
Right : Primary antibody
Left : Negative control without primary antibody
Antigen retrieval : heat induced antigen retrieval was performed using 10mM sodium citrate (pH 6.0) buffer microwaved for 8-15 minutes
Dilution : 1:200
WB analysis of 25 μg of the indicated whole cell lysates using GTX79470 VRK1 antibody [1F6].
Dilution : 1:750
WB analysis of whole cell extracts (30 ug lysate) of HeLa (Lane 1), HEK 293 (Lane 2), MCF7 (Lane 3), and Jurkat (Lane 4) using GTX79470 VRK1 antibody [1F6].
Dilution : 1:500
风险提示:丁香通仅作为第三方平台,为商家信息发布提供平台空间。用户咨询产品时请注意保护个人信息及财产安全,合理判断,谨慎选购商品,商家和用户对交易行为负责。对于医疗器械类产品,请先查证核实企业经营资质和医疗器械产品注册证情况。
技术资料暂无技术资料 索取技术资料











