相关产品推荐更多 >
万千商家帮你免费找货
0 人在求购买到急需产品
- 详细信息
- 文献和实验
- 技术资料
- 免疫原:
Rheumatoid synovial cells and human monocytes.
- 亚型:
IgG1
- 形态:
Liquid
- 保存条件:
Store as concentrated solution. Centrifuge briefly prior to opening vial. For short-term storage (1-2 weeks), store at 4ºC. For long-term storage, aliquot and store at -20ºC or below. Avoid multiple freeze-thaw cycles.
- 克隆性:
Monoclonal
- 标记物:
Unconjugated
- 适应物种:
Human, Baboon, Cynomolgus monkey, Rhesus Monkey
- 保质期:
12 months from the shipping date of the product.
- 抗原来源:
Human
- 目录编号:
GTX76296
- 级别:
Primary Antibodies
- 库存:
Available
- 供应商:
GeneTex
- 宿主:
Mouse
- 应用范围:
IHC-Fr, FACS, IP, Functional Assay
- 浓度:
1 mg/ml (Please refer to the vial label for the specific concentration.)
- 靶点:
CD11b
- 抗体英文名:
CD11b antibody [ICRF44] (Azide free)
- 抗体名:
CD11b 抗体 [ICRF44] (Azide free)
- 规格:
200 μg
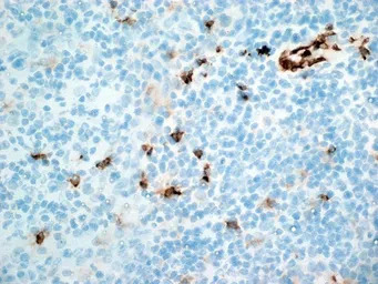
IHC-Fr analysis of human spleen tissue using GTX76296 CD11b antibody [ICRF44] (Azide free).
IHC-Fr analysis of human spleen tissue using GTX76296 CD11b antibody [ICRF44] (Azide free).
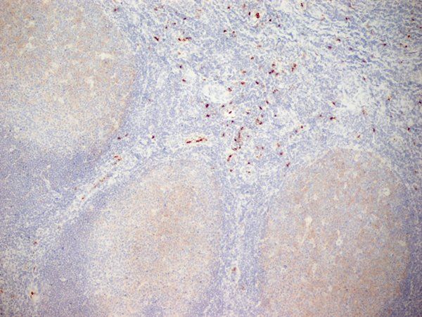
IHC-Fr analysis of human tonsil tissue using GTX76296 CD11b antibody [ICRF44] (Azide free).
IHC-Fr analysis of mouse lymph node using CD11b antibody [ICRF44] (Red), CD21 antibody [YTS105.18] (Green, GTX74728) and DAPI (blue).
IHC-Fr analysis of mouse lymph node using CD11b antibody [ICRF44] (Red), CD21 antibody [YTS105.18] (Green, GTX74728) and DAPI (blue).
IHC-Fr analysis of mouse lymph node using CD11b antibody [ICRF44] (Red), CD21 antibody [YTS105.18] (Green, GTX74728) and DAPI (blue).
IHC-Fr analysis of human tonsil tissue using GTX76296 CD11b antibody [ICRF44] (Azide free).
IHC-Fr analysis of human spleen tissue using GTX76296 CD11b antibody [ICRF44] (Azide free).
风险提示:丁香通仅作为第三方平台,为商家信息发布提供平台空间。用户咨询产品时请注意保护个人信息及财产安全,合理判断,谨慎选购商品,商家和用户对交易行为负责。对于医疗器械类产品,请先查证核实企业经营资质和医疗器械产品注册证情况。
文献和实验Purification of Endotoxin Free mAbs
pressure of circulation to force water out through the membrane, and rapidly concentrating the antibody/proteins up to 100 fold. The advantage of this method is very large volumes can be processed using sterile and endotoxin free components. Ammonium
Monoclonal Antibody Production Protocol
- PBS + 0.1% Tween 20 or TBS + 0.1% Tween 20. - Blocking solution = 2% BSA (type V ) in PBS. (Add 0.02% azide for longer storage.) - Elisa buffer = 2% BSA + 0.1% Tween 20 in PBS ( azide optional ). - Enzyme linked antibody = Horseradish peroxidase
祝贺〖雅裕睿安〗成为Signalway Antibody(SAB)独家
祝贺〖上海雅裕 〗成为 Signalway Antibody 品牌 (SAB) 的独家总代理。 促销【 ABCD 】细则如下: 【 A 】 买两支 SAB 抗体免费获得 8G 优盘 活动时间:即日起,至 2011 年
技术资料暂无技术资料 索取技术资料






![Transgelin antibody [TAGLN/247]](https://img1.dxycdn.com/2022/0328/934/2096538427321700453-14.jpg!wh200)


![ATG12 antibody [GT9411]](https://img1.dxycdn.com/2022/0329/487/5891648185485020453-14.jpg!wh200)

