相关产品推荐更多 >
万千商家帮你免费找货
0 人在求购买到急需产品
- 详细信息
- 询价记录
- 技术资料
- 免疫原:
Synthetic peptide, CSRPSTSSRRRAISE, corresponding to amino acids 154-167 of human MDM2
- 亚型:
IgG1
- 形态:
Liquid
- 保存条件:
Store as concentrated solution. Centrifuge briefly prior to opening vial. For short-term storage (1-2 weeks), store at 4ºC. For long-term storage, aliquot and store at -20ºC or below. Avoid multiple freeze-thaw cycles.
- 克隆性:
Monoclonal
- 标记物:
Unconjugated
- 适应物种:
Human, Mouse
- 保质期:
12 months from the shipping date of the product.
- 抗原来源:
Human
- 目录编号:
GTX70278
- 级别:
Primary Antibodies
- 库存:
Available
- 供应商:
GeneTex
- 宿主:
Mouse
- 应用范围:
WB, IHC-P, IHC-Fr, IP, IHC (Resin sections)
- 浓度:
1.0 mg/ml (Please refer to the vial label for the specific concentration.)
- 靶点:
MDM2
- 抗体英文名:
MDM2 antibody [SMP14]
- 抗体名:
MDM2 抗体 [SMP14]
- 规格:
50 μg
Untreated (–) and treated (+) HepG2 whole cell extracts (30 μg) were separated by 7.5% SDS-PAGE, and the membrane was blotted with MDM2 antibody (GTX70278) diluted at 1:1000. The HRP-conjugated anti-mouse IgG antibody (GTX213111-01) was used to detect the primary antibody, and the signal was developed with Trident ECL plus-Enhanced.
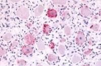
IHC-P analysis of human breast carcinoma tissue using GTX70278 MDM2 antibody [SMP14].
风险提示:丁香通仅作为第三方平台,为商家信息发布提供平台空间。用户咨询产品时请注意保护个人信息及财产安全,合理判断,谨慎选购商品,商家和用户对交易行为负责。对于医疗器械类产品,请先查证核实企业经营资质和医疗器械产品注册证情况。
- 作者
- 内容
- 询问日期
技术资料暂无技术资料 索取技术资料


![MDM2 antibody [SMP14]](https://img1.dxycdn.com/2022/0328/311/2735044403073500453-14.jpg)




![CD44 antibody [F10-44-2]](https://img1.dxycdn.com/2022/0328/417/5700081221290400453-14.jpg!wh200)
![Pet1 antibody [HL2045]](https://img1.dxycdn.com/2023/0605/846/0829041260151755661-14.jpg!wh200)

