相关产品推荐更多 >
万千商家帮你免费找货
0 人在求购买到急需产品
- 详细信息
- 文献和实验
- 技术资料
- 免疫原:
Recombinant protein encompassing a sequence within the center region of human Oct4. The exact sequence is proprietary.
- 亚型:
IgG2a
- 形态:
Liquid
- 保存条件:
Store as concentrated solution. Centrifuge briefly prior to opening vial. For short-term storage (1-2 weeks), store at 4ºC. For long-term storage, aliquot and store at -20ºC or below. Avoid multiple freeze-thaw cycles.
- 克隆性:
Monoclonal
- 标记物:
Unconjugated
- 适应物种:
Human, Mouse
- 保质期:
12 months from the shipping date of the product.
- 抗原来源:
Human
- 目录编号:
GTX627419
- 级别:
Primary Antibodies
- 库存:
Available
- 供应商:
GeneTex
- 宿主:
Mouse
- 应用范围:
WB, ICC/IF, IHC-P, FACS, IP
- 浓度:
1.66 mg/ml (Please refer to the vial label for the specific concentration.)
- 靶点:
OCT4
- 抗体英文名:
Oct4 antibody [GT486]
- 抗体名:
Oct4 抗体 [GT486]
- 规格:
100 μl/25 μl
| 规格: | 100 μl | 产品价格: | ¥4000.0 |
|---|---|---|---|
| 规格: | 25 μl | 产品价格: | ¥1700.0 |
Oct4 antibody immunoprecipitates Oct4 protein in IP experiments. IP Sample: cell lysate/extract of Oct4 gene transfected 293T cells A. Cell lysate/extract of transfected 293T cell B. Control with 2 μg of preimmune mouse IgG C. Immunoprecipitation of Oct4 by 2 μg of Oct4 antibody (GTX627419) 12% SDS-PAGE The immunoprecipitated Oct4 protein was detected by Oct4 antibody (GTX627419) diluted at 1:1000. EasyBlot anti-mouse IgG (GTX221667-01) was used as a secondary reagent.
Oct4 antibody [GT486] detects Oct4 protein at nucleus by immunofluorescent analysis.
Sample: NT2D1 cells were fixed in 4% PFA at RT for 15 min.
Green: Oct4 stained by Oct4 antibody [GT486] (GTX627419) diluted at 1:500.
Red: beta Tubulin, a cytoskeleton marker, stained by beta Tubulin antibody (GTX101279) diluted at 1:1000.
Sample (10 μg of whole cell lysate)
A: Non-transfected HeLa lysates
B: HeLa transfected recombinant Oct4 protein
10% SDS PAGE
GTX627419 diluted at 1:1000
The HRP-conjugated anti-mouse IgG antibody (GTX213111-01) was used to detect the primary antibody.
Oct4 antibody detects Oct4 protein by immunofluorescent analysis.
Sample: human embryonic stem cell were fixed in 4% PFA for 15 min.
Green: Oct4 protein stained by Oct4 antibody (GTX627419) diluted at 1:200.
Blue: Hoechst 33342 staining.
Scale bar = 10 μm.
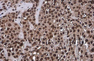
Immunohistochemical analysis of paraffin-embedded BT483 xenograft, using OCT3/4(GTX627419) antibody at 1:200 dilution.
Antigen Retrieval: Trilogy™ (EDTA based, pH 8.0) buffer, 15min
Mouse embryonic stem cell extract (50 μg) was separated by 10% SDS-PAGE, and the membrane was blotted with Oct4 antibody [GT486] (GTX627419) diluted at 1:1000. The HRP-conjugated anti-mouse IgG antibody (GTX213111-01) was used to detect the primary antibody.
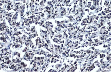
Oct4 antibody [GT486] detects Oct4 protein at nucleus by immunohistochemical analysis.
Sample: Paraffin-embedded human breast carcinoma.
Oct4 stained by Oct4 antibody [GT486] (GTX627419) diluted at 1:500.
Antigen Retrieval: Citrate buffer, pH 6.0, 15 min
Whole cell extract (30 μg) was separated by 10% SDS-PAGE, and the membrane was blotted with Oct4 antibody [GT486] (GTX627419) diluted at 1:1000. The HRP-conjugated anti-mouse IgG antibody (GTX213111-01) was used to detect the primary antibody.
Oct4 antibody [GT486] detects Oct4 protein at nucleus by immunohistochemical analysis.
Sample: Paraffin-embedded human cervical carcinoma.
Oct4 stained by Oct4 antibody [GT486] (GTX627419) diluted at 1:200.
Antigen Retrieval: Citrate buffer, pH 6.0, 15 min
Oct4 antibody [GT486] detects Oct4 protein by western blot analysis.
A. 30 μg human ESC whole cell lysate/extract
10% SDS-PAGE
(GTX627419) dilution: 1:1000
The HRP-conjugated anti-mouse IgG antibody (GTX213111-01) was used to detect the primary antibody.
Oct4 antibody [GT486] detects POU5F protein by flow cytomertry analysis. Sample: Human embryonic stem cells Black: Isotype control dilution: 1:50 Green: Oct4 antibody [GT486] dilution: 1:50
风险提示:丁香通仅作为第三方平台,为商家信息发布提供平台空间。用户咨询产品时请注意保护个人信息及财产安全,合理判断,谨慎选购商品,商家和用户对交易行为负责。对于医疗器械类产品,请先查证核实企业经营资质和医疗器械产品注册证情况。
文献和实验Masola V et al., Front Oncol 2022 (PMID:35965510)
Mashiko T et al., Cells 2021 (PMID:33806638)
Ram?rez-Renter?a C et al., Case Rep Endocrinol 2020 (PMID:32426170)
Lee KY et al., Cells 2020 (PMID:33375719)
Chen YL et al., Cancers (Basel) 2019 (PMID:31878324)
Andreucci E et al., J Mol Med (Berl) 2020 (PMID:32803272)
Aminuddin A et al., Sci Rep 2020 (PMID:32398775)
Wang X et al., Stem Cell Res 2020 (PMID:32006804)
Chien CH et al., J Biomed Sci 2019 (PMID:31629402)
Huang TH et al., J Cell Mol Med 2019 (PMID:31638335)
Chen YH et al., Sci Rep 2019 (PMID:31289326)
Yang CE et al., Chem Biol Interact 2019 (PMID:30703373)
Wang AM et al., Oncotarget 2014 (PMID:24970812)
Huang TT et al., Oncotarget 2015 (PMID:26041881)
Gupta N et al., Proc Natl Acad Sci U S A 2017 (PMID:28096337)
Qin H et al., Cell 2014 (PMID:25036638)
IMMUNOSCREENING OF LAMBDA-GT11 BACTERIOPHAGE LIBRARIES WITH ANTIBODY PROBES
dishes of lysed E. coli to reduce anti-E. coli antibody background. These antibodies are present in all human sera, rabbit sera, and rodent sera. For each Petri dish containing solidified LB agar, mix 0.6ml of the Y1090 overnight-saturated culture with 30
Antibody Screening of Bacteriophage gt11 DNA Expression Libraries
Much of our current understanding of the molecular details of the activity and interactions of proteins has stemmed from the ability to isolate cDNA encoding these proteins. Computer-based analysis of deduced amino acid sequence allows
Antibody Screening of Bacteriophage gt-11 DNA Expression Libraries
Much of our current understanding of the molecular details of the activity and interactions of proteins has stemmed from the ability to isolate cDNA encoding these proteins. Computer-based analysis of deduced amino acid sequence allows
技术资料暂无技术资料 索取技术资料







![IKK epsilon antibody [6B4B5]](https://img1.dxycdn.com/2022/0328/381/4635558016447500453-14.jpg!wh200)



